今年43岁的王女士(化名)自1年前起反复出现头晕、乏力,严重时需扶物或家人搀扶行走,还伴有间断头痛、恶心、呕吐,在外院住院治疗,一查血钠低至95 mmol/L左右(参考范围136-146mmol/L),经积极补钠后血钠恢复正常水平,上述症状也完全缓解了。但出院没多久,头晕、乏力又来了,赶紧去医院检查,还是低钠血症。这1年来王女士因低钠血症反复在外院住院治疗,今年7月上旬,因头晕乏力、恶心呕吐再发来到了罗城仫佬族自治县人民医院内一科。“每次一查就说是低钠血症,补补钠就好了,一出院没几天又犯了,现在连家务活都干不了,我这一年不知道住了多少次院了,全身也查了个遍,也没搞清楚是什么问题,就知道是低钠”,王女士无奈地对主管医生银彩慧副主任医师说道。
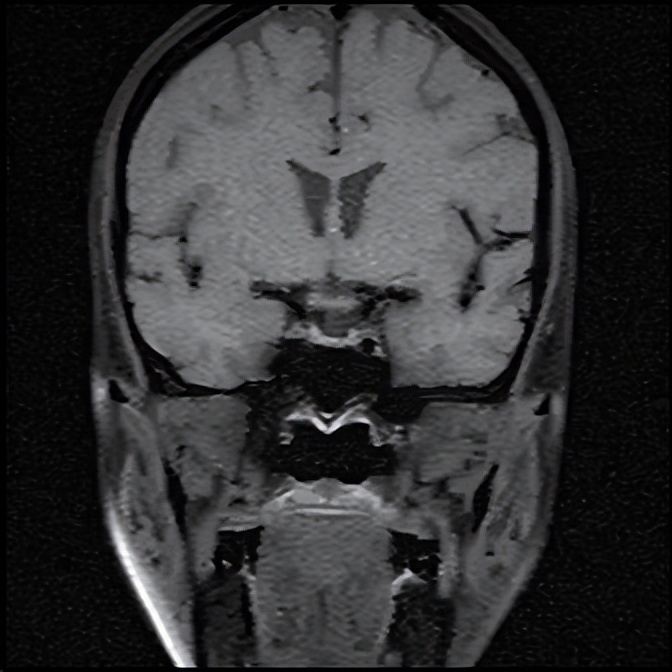
住院期间,银主任经过详细的询问病史和查体,为王女士有针对性地完善了相关检验、检查,入院急查血钠107.0mmol/L,血氯76.0mmol/L(参考范围96-108mmol/L),经积极补钠、护胃及对症支持治疗后王女士的血钠稳步上升,症状逐渐减轻,相关结果回报上午皮质醇、促肾上腺皮质激素(ACTH)水平降低,垂体磁共振未见明显异常。会不会是内分泌方面的因素导致低钠血症呢?深圳大学总医院内分泌代谢病科派驻罗城县人民医院内四科的丘雅维主治医师应邀会诊。丘医生分析患者体型消瘦,皮肤黏膜无明显色素沉着,低血压,轻度贫血,白细胞及中性粒细胞、血糖和糖化血红蛋白均偏低、低钠低氯、上午皮质醇和ACTH水平降低,初步考虑继发性肾上腺皮质功能减退可能性大,并对患者垂体磁共振再次阅片,发现垂体组织受压变扁,表现为部分性空泡蝶鞍。请深圳大学总医院影像科派驻罗城县人民医院影像科的杨智钧主治医师阅片后也支持部分性空泡蝶鞍的影像学诊断。




注:箭头所指为受压变扁的垂体。
那么什么叫空泡蝶鞍呢?所谓空泡蝶鞍综合征,是因鞍膈缺损或垂体萎缩,蛛网膜下腔在脑脊液压力下疝入鞍内,其中脑脊液填充,致蝶鞍扩大变形,垂体受压变平而产生的一系列临床变现,患者可出现头痛、视野缺损、垂体功能异常等表现。而垂体功能异常可显现为一种或多种垂体相关激素水平异常,如影响到肾上腺皮质轴导致肾上腺皮质功能减退,患者可出现头晕、血压降低、食欲减退、恶心呕吐、疲乏无力、消瘦、低血糖、低血钠等表现。
接下来丘医生建议为患者全面评估垂体-肾上腺轴、甲状腺轴、性腺轴、生长激素轴及肾上腺盐皮质激素的分泌水平,并完善肾上腺CT检查,后续结果回报8-16-24点的血皮质醇和ACTH水平均明显下降,24小时尿游离皮质醇低于检测下限,肾上腺CT无明显异常,明确诊断空泡蝶鞍综合征、继发性肾上腺皮质功能减退,至此,低钠血症“真凶”锁定。同时丘医生也向深圳大学总医院内分泌代谢病科科室主任李强教授详细汇报了患者的病史、相关结果及诊断思路,治疗上拟予泼尼松每天上午2/3片、下午1/3片口服,李强教授同意上述诊断并敲定了最终治疗方案。
在排除激素使用禁忌症后,王女士在血钠恢复正常、头晕乏力缓解后按上述方案带药出院口服。出院半月后王女士在门诊复诊,复查除白细胞稍低于正常下限外,血钠、血氯等电解质水平及血糖、中性粒细胞均恢复正常,贫血完全纠正。丘医生电话随访,患者家属高兴地表示,王女士出院后再也没有头晕乏力、恶心呕吐了,能干一般的家务活,气色好多了。住了这么多次院,这次终于找到病因了。
本病例的成功诊治,体现了粤桂两地医生的通力协作,也从侧面体现了深圳大学总医院医疗帮扶的成效。深圳大学总医院内分泌代谢病科丘雅维医生和影像科杨智钧医生自今年第二季度接受派遣来到罗城仫佬族自治县人民医院对口帮扶支援,丘医生迄今已在临床内分泌代谢病方面参与救治了不少疑难和危重病例,杨医生也在影像学方面诊断了众多疑难片子,为临床医生的正确诊断提供了很大帮助。今后,深大总院帮扶支援的医生将继续借着粤桂协作的平台,努力为当地的老百姓提供优质的医疗服务。

丘雅维简介:
中山大学内分泌代谢病学硕士研究生毕业,主治医师。从事内分泌代谢病科临床、教学与科研工作10余年。擅长糖尿病、甲状腺疾病、垂体及肾上腺疾病、代谢综合征、骨质疏松症等疾病的诊治。学术任职:中华医学会内分泌学分会第十一届委员会中西医结合学组委员、广东省中西医结合学会肥胖与体重管理专业委员会第二届委员会委员、深圳市医师协会骨质疏松症和骨矿盐疾病工作委员会第一届委员会委员、深圳市医师协会糖尿病专业委员会第一届委员会理事、深圳市医师协会内分泌与代谢医师分会第一届垂体学组组员。

杨智钧简介:
深圳大学总医院放射诊断主治医师,毕业于哈尔滨医科大学,研究生学历,硕士学位。从事放射诊断工作多年,对影像诊断有丰富的临床经验,擅长各种常见病、多发病及部分疑难病的放射诊断,曾于《临床放射学杂志》、《影像诊断与介入放射学》等核心期刊发表文章。