乳腺癌虽然是女性的第一杀手,但是不同于肺癌、肠癌这些常见的癌症,乳腺癌患者的生存率非常高,早期乳腺癌患者经过规范化治疗,五年生存率可高达99%,因此,如果获得正确的诊疗方案,手术后如何预防复发,是每个患者获得长期生存的重中之重。
在3月8日国际妇女节来临之际,全球肿瘤医生网发布第一版乳腺癌患者规范化治疗指南,帮助确诊后的病友们通过正规的治疗获得更好的预后。
目录:
一,乳腺癌简介 什么是乳腺癌?
乳腺癌的类型有哪些?
各类乳腺癌的五年生存率分别是多少?
二,乳腺癌的治疗
乳腺癌的治疗方式(手术、放疗、化疗、内分泌治疗、免疫治疗、生物免疫治疗)
乳腺癌治疗权威专家
三,乳腺癌新药和临床试验
乳腺癌靶向新药
乳腺癌免疫治疗(pd1)
最新临床试验招募
四,如何提高乳腺癌患者免疫力,预防复发
1、乳腺癌患者免疫系统介绍
2、多种手段提高免疫系统,预防复发
乳腺癌简介
01什么是乳腺癌?
当乳房中的健康细胞发生突变并不受控制地生长,形成乳腺癌。乳腺癌可以通过血管和淋巴管转移到身体的其他部位,最常见的转移部位时周围的淋巴结,当进一步扩散到骨骼,肺,肝和脑等部位时,称为转移性或IV期乳腺癌。
部分乳腺癌在初次治疗后会复发,可在局部复发,也可以在身体其他部位复发,称为远处复发或转移性复发。
02乳腺癌的类型有哪些?
乳腺癌可以是浸润性或非浸润性的。浸润性乳腺癌是扩散到周围组织的癌症。非浸润性乳腺癌不会超出乳腺的乳腺导管或小叶。大多数乳腺癌始于导管或小叶,被称为导管癌或小叶癌:
- 导管癌始于乳腺导管内壁的细胞,分为导管原位癌(DCIS)和浸润性或浸润性导管癌。
- 浸润性小叶癌,始于小叶的癌症。
其他不常见的乳腺癌类型包括:粘液,乳头状,炎性乳腺癌等。
乳腺癌亚型:
乳腺癌的个体化治疗基于分子分型,目前最常用的是通过癌细胞是否表达ER(雌激素受体),PR(孕酮受体)和HER2三种蛋白来分类。根据它们的阳性和阴性,形成了不同的组合,也带来了不同的乳腺癌亚型。这些不同类型的乳腺癌,无论从治疗方法,还是预后都是非常不同的。
激素受体阳性乳腺癌(HR+):如果一个乳腺癌是ER阳性或PR阳性,只要表达其中一个,HER2阴性(ER+/PR+HER2-),就称之为激素受体阳性(HR+),约60%至75%的乳腺癌具有雌激素和/或孕激素受体,没有这些受体的癌症称为“激素受体阴性”;
HER2阳性乳腺癌:如果一个乳腺癌是ER阴性,PR阴性,但HER2阳性(ER-PR-HER2+),那么我们称它为HER2阳性乳腺癌,大约10%至20%的乳腺癌依赖于称为人表皮生长因子受体2(HER2)的基因来生长;
三阴性乳腺癌:如果一个乳腺癌是ER阴性,PR阴性,HER2阴性(ER-PR-HER2-),那么我们称它为三阴性乳腺癌。三阴性乳腺癌在BRCA1或BRCA2基因突变的女性中更常见。专家建议对所有年龄在60岁以下的三阴性乳腺癌患者进行BRCA基因突变测试。
03各类乳腺癌的五年生存率是多少?
确诊时的癌症阶段,决定了治疗选择和预后。乳腺癌患者整体5年生存率可高达89%。美国癌症协会报告不同分期5年生存率如下所示:

0-1期:五年接近100%的存活率(98.8%)。大约62%的乳腺癌患者是这个分期。2期:五年相对生存率是91%,平均10年生存率为84%;3期:五年相对生存率是86%。许多妇女与此阶段的乳腺癌治疗是成功的。4期:五年相对生存率是27%。
乳腺癌的治疗
乳腺癌的治疗方案和建议非常个性化,所有的患者都需要根据自己的病情由权威专家制定治疗方案,治疗方案主要取决于以下几个因素,包括:
- 肿瘤的亚型,包括激素受体状态(ER,PR)和HER2状态;
- 肿瘤的阶段;
- 基因检测结果,例如全基因检测和乳腺癌21基因检测(Oncotype DX™);
- 患者的年龄,总体健康状况,更年期状况和饮食作息习惯;
- 遗传基因信息(例如BRCA1或BRCA2);
01乳腺癌的治疗方式
目前治疗乳腺癌的常规方式主要有手术,放疗,化疗,激素治疗,靶向治疗,免疫治疗等。
手术:对于导管原位癌和早期浸润性乳腺癌,医生通常建议手术切除肿瘤。大多数浸润性乳腺癌患者会进行前哨淋巴结活检或腋窝淋巴结清扫术。
对于较大的癌症,可在手术前采用新辅助疗法,缩小肿瘤。
手术后,治疗早期乳腺癌的最重要的下一步是降低复发风险,并清除所有残留的癌细胞。这些癌细胞是无法检测到的,但会导致癌症复发,因为它们会随着时间的推移而生长。可进行放射疗法,化学疗法,靶向疗法和/或激素疗法来辅助治疗。
放射治疗:放射疗法是使用高能X射线或质子线破坏癌细胞。放射疗法有助于降低乳房复发的风险。通过手术和放疗,在治疗后的10年内,乳腺癌的复发率现在不到5%。
过去,使用传统放疗会对左侧乳腺癌妇女长期患心脏病的风险增加。现在,质子治疗能够使心脏免受放射线损伤。因此,更多的乳腺癌患者能够合理通过现代医学手段获得更长的生存期和更好的生活质量。
药物治疗:
全身疗法可以使用药物破坏癌细胞。用于乳腺癌的全身疗法的类型包括:化学疗法,激素疗法,靶向治疗,免疫疗法。
1化学疗法
化学疗法是使用药物来破坏癌细胞,通常是通过阻止癌细胞生长,分裂和制造更多细胞来进行的。可以在手术前给予缩小大的肿瘤,使手术更容易并降低复发的风险,这被称为新辅助化疗。也可以在手术后给予以降低复发风险,称为辅助化疗。目前临床中常用的化疗药物有:卡培他滨(希罗达),卡铂,顺铂,环磷酰胺,多西紫杉醇(Taxotere),阿霉素,聚乙二醇脂质体阿霉素(Doxil),表柔比星(Ellence),依立布林(Halaven),氟尿嘧啶(5-FU),吉西他滨(Gemzar),伊沙贝比隆(Ixempra),甲氨蝶呤(Rheumatrex,Trexall),紫杉醇(紫杉醇),结合蛋白紫杉醇,长春瑞滨(Navelbine)。
早期和局部晚期乳腺癌的辅助治疗方案主要有:
- AC(阿霉素和环磷酰胺)
- EC(厄比霉素,环磷酰胺)
- AC或EC(厄比霉素和环磷酰胺),接着T(阿霉素和环磷酰胺,然后是紫杉醇或多西他赛,或相反)
- CAF(环磷酰胺,阿霉素和5-FU)
- CEF(环磷酰胺,表柔比星和5-FU)
- CMF(环磷酰胺,氨甲蝶呤和5-FU)
- TAC(多西他赛,阿霉素和环磷酰胺)
- TC(多西他赛和环磷酰胺)
早期HER2阳性乳腺癌的联合治疗方案主要有:
- AC-TH(阿霉素,环磷酰胺,紫杉醇或多西他赛,曲妥珠单抗)
- AC-THP(阿霉素,环磷酰胺,紫杉醇或多西他赛,曲妥珠单抗,帕妥珠单抗)
- TCHP(紫杉醇或多西紫杉醇,卡铂,曲妥珠单抗,帕妥珠单抗)
- TCH(紫杉醇或多西紫杉醇,卡铂,曲妥珠单抗)
- TH(紫杉醇,曲妥珠单抗)
2激素疗法
激素疗法,也称为内分泌疗法。大多数雌激素或孕激素受体呈阳性反应患者是由于激素来促进肿瘤生长,因此阻断激素可以帮助预防癌症复发和促进乳腺癌细胞死亡。对于晚期患者,内分泌治疗一般需要持续5到10年,以保证完全杀灭肿瘤细胞。由于这类是乳腺癌患者中的大多数,而且治疗效果不错,因此乳腺癌整体存活率比较高。
目前FDA批准的内分泌治疗药物:

通过上面的表格我们可以看出,绝经前和绝经后的患者使用的治疗方案是不同的。
绝经前
- 他莫昔芬联合或不联合治疗。
- 由于卵巢也会产生雌激素,所以有些情况下医生会建议摘除卵巢。
- 芳香酶*制剂抑**治疗以阻止或减少卵巢产生多少雌激素,或对卵巢采取放射治疗。
绝经后
- 芳香化酶*制剂抑**联合或不联合化疗。
- 芳香酶*制剂抑**治疗后使用他莫昔芬联合或不联合h化疗。
3靶向治疗
靶向疗法是针对癌症的特定基因或蛋白质的治疗方法,与化疗不同,靶向治疗可阻止癌细胞的生长和扩散,同时限制对健康细胞的损害。
靶向治疗前需要进行基因检测找到特定分子靶标,首个被批准的乳腺癌靶向治疗是抗HER2的靶向药曲妥珠单抗。目前已获得FDA批准的靶向药如下:

4免疫治疗
免疫疗法,也称为生物疗法,旨在增强人体对抗癌症的天然防御能力。目前FDA批准了两款用于乳腺癌的免疫疗法:
Atezolizumab(Tecentriq)。在2019年,美国食品药品监督管理局(FDA)批准了atezolizumab联合蛋白结合的紫杉醇(见上文化学疗法)用于局部晚期三阴性乳腺癌,不能通过手术和转移性三阴性乳腺癌切除。此外,仅批准用于PD-L1检测呈阳性的乳腺癌。
派姆单抗(Keytruda)。这是FDA批准用于治疗转移性癌症或无法通过手术治疗的癌症的一种免疫疗法。这些肿瘤还必须具有称为微卫星不稳定性高(MSI-H)或DNA失配修复缺陷(dMMR)的分子改变。
02乳腺癌治疗权威专家推荐
通过上面的数据我们呢可以看出,大部分乳腺癌患者通过规范化的治疗,生活完全可以逐渐恢复正常。如何打赢与乳腺癌的这场战役,关键在于如何合理的运用这些治疗方案,只有权威的,经验丰富的专家才能从众多的治疗方案中找到更适合你的,让肿瘤彻底远离你的生活,不再卷土重来。大家在就诊时尽量选择以下国内外权威的乳腺癌专家。
中国

宋国红
乳腺肿瘤内科副主任
北京大学肿瘤医院

邸立军
乳腺内科主任
北京大学肿瘤医院

袁芃
肿瘤内科主任医师
中国医学科学院肿瘤医院

徐兵河
肿瘤内科主任医师
中国医学科学院肿瘤医院
美国

Eric P Winer
- 首席临床策略官
- 妇女癌症科科长
- 医学事务和教职晋升高级副总裁
- 苏珊·史密斯妇女癌症中心乳腺癌研究中心主任
- 汤普森乳腺癌研究主席
- 哈佛医学院医学教授
- 美国丹娜法伯癌症研究院

Erica Mayer
- 高级医师
- 哈佛医学院医学助理教授
- 丹娜法伯癌症研究院

Jerey Peppercorn
- 癌症生存计划主任
- 哈佛医学院医学助理教授
- 麻省总医院
日本

福间 英佑
乳腺科主任
日本龟田综合病院

内海 俊明
日本藤田医科大学医院

胜俣範之
日本医科大学武藏小杉病院肿瘤内科部长
乳腺癌的新药和临床试验
01广谱抗癌药拉罗替尼
提到乳腺癌的靶点人们想到的靶点或许还停留在HER2,BRAC...
2018年11月,全球首款不限癌种的靶向药-拉罗替尼上市以来,又一个“钻石”靶点基因-NTRK迅速的火遍了癌友圈。因为这款靶向药不再区分癌症的种类,不管你是肺癌,乳腺癌,胃癌,肠癌,只要有NTRK融合,就可以使用,并且有效率高达81%,所以,对于乳腺癌患者来说,如果基因检测存在NTRK融合,就多了一种选择和希望。
需要特别注意的是,在所有的乳腺癌类型中,一种称为分泌性乳腺癌非常罕见,具有独特的病理特征,通常属于三阴性乳腺癌谱图,但却有比较明确的基因突变特征--ETV6-NTRK3的融合基因,并且临床统计证实92%的分泌型乳腺癌存在NTRK融合,这意味着,几乎所有的分泌性乳腺癌都存在这个突变,一旦检测结果为阳性,使用拉罗替尼治疗,就有希望达到很好的治疗效果!目前,针对这类患者正在进行免费基因检测,详情点击:扩散!免费基因检测机会来了!面向全国患者招募两类癌症患者!
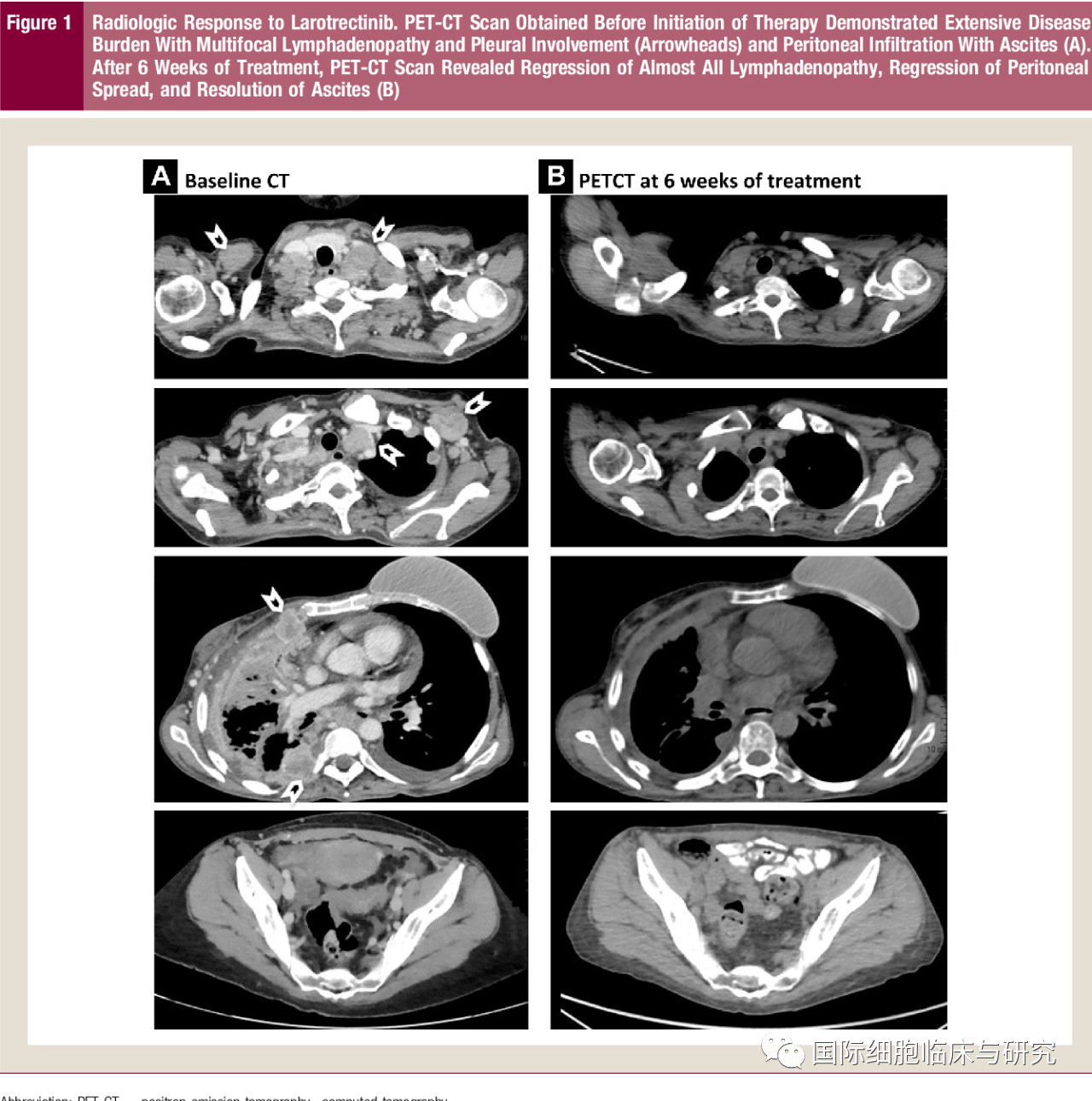
据《临床乳腺癌》杂志报道了一篇关于具有ETV6-NTRK3融合表达初次接受化疗的成人患者采用拉罗替尼治疗的临床研究,经6周治疗后患者PETCT显示肿瘤已消散大半。此外文章中还提及,乳腺分泌癌的肿瘤组织中超过90%的细胞都携带ETV6-NTRK3融合基因。所以,针对这种融合基因的靶向药物——拉罗替尼,对治疗分泌性乳腺癌有非常好的治疗效果。

图为患者治疗前CT及拉罗替尼治疗6周后PETCT对比图
02HER2阳性乳腺癌
HER2阳性乳腺癌占大概20%。这种亚型的乳腺癌过量表达癌蛋白HER2。这类癌症比上一种生长更快,也更容易转移。幸运的是,在过去10年有好几个新型靶向药专门用于治疗HER2阳性乳腺癌,效果很不错。目前已经获得FDA批准的药物有:
曲妥珠单抗:Trastuzumab (Herceptin®)
帕妥珠单抗:pertuzumab (Perjeta®)
来那替尼:neratinib maleate (Nerlynx™)
T-DM1:ado-trastuzumab emtansine (Kadcyla®)
但是,患者最终会对这些药物产生耐药性,这意味着需要新的治疗策略,目前两项针对晚期HER2阳性乳腺癌的新药临床数据十分亮眼,将给这部分患者带来新的选择和希望。
1延长总生存期和无进展生存期-图卡替尼脱颖而出
与拉帕替尼和neratinib一样,tucatinib是一种口服TKI。然而,tucatinib仅阻断HER2,与其他针对多种受体的药物相比,导致皮疹和腹泻等脱靶效应更少。这项药物已获得美国FDA优先审批,预计今年8月在美国上市。在非随机,开放性研究的IB期结果中,用图卡替尼加卡培他滨治疗的客观反应率高达83%,接受图卡替尼加曲妥珠单抗的客观反应率40%。在接受所有3种药物联合治疗的患者中,客观反映率61%。该药还脑转移瘤患者表现出活性。在对所有组合的探索性分析中,在具有脑转移的12名患者(42%)中的5名中观察到脑特异性反应。
这项研究的资深作者是国际知名乳腺癌专家Eric Winer博士。
2疾病控制率97%!新型抗癌导*药弹**物-T-DXd横空出世
另一项名为DESTINY-Breast01的试验涉及曲妥珠单抗德鲁替康(T-DXd),一种与T-DM1相似的抗体偶联药物。如果T-DM1中的抗癌药物是通过干扰癌细胞建立内部支架的能力杀死癌细胞的药物,那么T-DXd中的药物则是中断癌细胞在分裂之前复制其DNA的过程。
这项国际研究招募了253例先前接受过T-DM1治疗的转移性HER2阳性乳腺癌患者。研究中的患者因转移性疾病接受了六种不同方案的治疗。
在接受推荐剂量的T-DXd的184例患者中,有61%对药物有反应,包括6%的患者完全缓解(所有癌症征兆消失)和55%的部分缓解(减少了)。无进展生存的中位数(疾病没有进展的生存时间)为16.4个月。184例患者的总疾病控制率高达97%!
03三阴性乳腺癌
三阴性乳腺癌最少见,大概只占10%,但这是最让人头痛的一类。一方面,它激素受体或HER2都是阴性,因此内分泌治疗和HER2靶向治疗对它都无效,一般只能靠化疗药物,效果不理想。另一方面,它又恰巧是所有乳腺癌中最恶性的一种,发展迅速,容易转移和复发。
2019年3月,美国食品药品监督管理局(FDA)批准了免疫检查点*制剂抑**Tecentriq(atezolizumab)与化疗药物Abraxane(nab-paclitaxel)结合用于无法手术的局部晚期或转移性三阴性乳腺癌(TNBC)患者),给三阴性乳腺癌患者带来了新的希望。
目前,国际上对于三阴性乳腺癌研究的新突破不断,相信未来将有更多的靶向免疫疗法上市。
1派姆单抗助力新辅助化疗,病理完全缓解率显著提高!
当将派姆单抗(K药)加入新辅助化疗和辅助化疗后,三阴性乳腺癌(TNBC)患者的病理完全缓解率(pCR)更高。此外,在所有患者亚组中都观察到了这些益处,尤其是在那些患有III期和/或淋巴结阳性疾病的患者中。我们知道,如果给患者蒽环类和紫杉烷类新辅助化疗,则pCR率约为40%,如果添加铂,则其pCR率约为50%至55%。有一些小型试验表明,在新辅助化疗中加入pembrolizumab或其他检查点*制剂抑**是安全的,并且显示出在TNBC中有希望的早期活性。”根据2019年欧洲医学肿瘤学会大会上提供的数据,不论PD-L1表达如何,派姆单抗组的病理完全缓解率(pCR)发生率较高,分别为64.8%和51.2%。
其中,在IIIB期疾病患者中观察到PD-1*制剂抑**组的最大获益,为48.6%,而接受安慰剂的患者为23.1%,翻了一倍。
2德瓦鲁单抗维持治疗可带来生存获益
根据II期随机SAFIR02-IMMUNO试验的探索性分析,durvalumab(Imfinzi)维持治疗可以改善三阴性乳腺癌(TNBC)或PD-L1阳性乳腺癌的亚型患者的化疗效果。在SAFIR02试验中,三阴性乳腺癌TNBC患者(n = 82)中,维持性durvalumab的中位总生存期(OS)为21个月,化疗组为14个月。
3.56%三阴性乳腺癌完全缓解,溶瘤病毒曙光初现!
为了提高术后辅助治疗疗效,一项1期溶瘤病毒T-VEC(viral oncolytic talimogene laherparepvec)+化疗(先用紫杉醇,后阿霉素+环磷酰胺)术后辅助的试验展开,9名患者中有5名达到完全缓解,这意味着56%的患者病灶是完全消失的。另外4名患者的病灶也大部分被清除了,只剩下很小的残余病灶。并且这款溶瘤病毒T-VEC耐受良好,化疗的相对剂量强度(RDI)接近100%。详情点击:56%三阴性乳腺癌完全缓解,溶瘤病毒曙光初现!
04乳腺癌最新临床试验

如何提高乳腺癌患者免疫力,预防复发
01乳腺癌与免疫
很多乳腺癌患者认为,手术做完后肿瘤也切掉了,该做的化疗也都做了,是否算是治好了呢?其实不然!
我们都知道,肿瘤的发生不是一天两天发生的,一个5mm的肿瘤形成需要5~20年。
经过数千年的进化,人体已经形成一套精密的防御体系,建立了一个强大的免疫军团,储备着大量的精兵,时刻保护着我们,使我们远离癌症的侵袭。其中骨髓是免疫军团的大本营,造血干细胞在这里分化出各种功能不同的免疫战士,他们有着自己的部队领地和岗位职责:
1免疫系统中的“吹哨人”-NK细胞
NK细胞是最值得敬畏的”吹哨人“!
它不仅首当其冲,第一个到达肿瘤微环境直接*伤杀**癌细胞,同时还会吹响战争的号角,分泌秘密*器武**趋化因子,募集树突细胞(CD103 +DC),相当于告诉体内的其他免疫军团前来协同作战。然后,活化的树突细胞携带肿瘤抗原到淋巴结,将癌细胞的特征呈递给杀手T细胞。T细胞再赶往战场与NK细胞一起杀灭癌细胞。

2免疫系统的哨兵-树突细胞
树突细胞是目前所知的机体内功能最强的抗原提呈细胞,最大的特点是能够刺激初始T细胞进行增殖。因此,DC是机体免疫应答的始动者,在免疫应答的诱导中具有独特的地位。

3免疫军团特种兵-T细胞
人体的免疫防御机制主要依靠体内的白细胞军团,作为白细胞的一种,T细胞有着不可替代的作用,它们是人体里面的特种兵,一旦发现癌细胞,T细胞首先主动出击,杀灭敌人,因此,它也被称为“杀手T细胞”。

正常情况下,它们紧密配合,相互协作,确保人体远离癌症的威胁。
当我们生存的环境不能保持我们的膳食平衡,各种营养素达不到我们健康身体所要求的标准时缺乏运动时,我们的免疫就会失衡,给了癌细胞可乘之机。
所以,不管是早期还是晚期,只要免疫系统再次失常,癌症随时可能会卷土重来。
在这里,也郑重提醒乳腺癌患者不要放松警惕,无论何种分型,乳腺癌术后存在两大复发高峰。术后1~3年和8~10年是激素受体阳性乳腺癌的两大复发高峰。因此,患者进行康复治疗不仅仅是术后的3~5年,更应该是5~10年甚至更长时间。对待乳腺癌,应该做到积极地预防复发。

图为乳腺癌术后复发情况
02乳腺癌患者如何提高免疫,预防复发
定期随访和复查
术后局部复发,大部分在2年之内发生,其中约有40%发生在术后6个月以内。手术过后切勿万事大吉,6个月内最好每月去复查1次,6~12个月内每2个月复查1次,1~2年每3个月复查1次;2年以上每半年复查1次。
通过饮食提升免疫
如果乳腺癌患者术后身体较为虚弱,加之放化疗后的毒副反应严重,则应以卧床静养为主,不要急于起来活动。饮食上应选择比较容易消化、符合患者口味、富含各种维生素及微量元素的食物(如如海藻、青萝卜、木瓜、红薯、金针菇、大蒜、芹菜、绿花菜、大豆、猕猴桃、橘柑等),少食油腻食物。
如果患者术后一般状况尚好,但放化疗后出现骨髓抑制,即血细胞明显减少时,应尽量减少外出,避免与感冒患者接触,减少发生各种感染的机会;如血小板显著下降,还应避免外伤,避免各种出血倾向。
如果患者放化疗后出现厌食、恶心、呕吐等消化道反应,则应安排少食多餐,吃些清淡可口的食物,吞咽时小口细嚼慢咽,餐后不要平躺,宜半坐卧位,不宜立即活动。
通过功能训练提升免疫
由于乳腺癌手术范围较大,局部皮肤、皮下脂肪、血、神经、淋巴管以及肌肉等都会有不同程度的损伤,从而影响患肢上肢的活动,甚至出现胸廓畸形。最重要的预防措施是及时进行功能锻炼。通常手术后1周左右就应该开始活动上肢,先使患侧手臂逐渐上举,开始时由于疼痛,活动度很小,但不要着急,要坚持天天练习。当患侧手臂可以触到同侧耳朵时,可练习用患侧手臂梳头,先从患侧梳起,逐渐梳向对侧,直到可以触到对侧耳朵。另外还可将患侧手臂背后逐渐向上摸,直到能摸到对策肩胛骨。
还可做些扩胸运动,使患侧胸廓及肩关节得到适当的运动。由于手术中患侧淋巴结被清扫,许多毛细血管、淋巴结被损伤,可能会影响上肢血液和淋巴液的回流,致使患侧上肢肿胀。预防这一点,除了要抬高手臂外,还应适当活动上肢,避免肌肉收缩,促进血液、淋巴液回流。若出现了上肢肿胀,则应尽量避免在患肢注射或静脉穿刺注射液。总之,只要及时并坚持锻炼,患肢手臂功能是完全可以恢复正常的。
通过免疫治疗,弥补免疫低下造成的防线崩塌
一旦免疫功能开始下降,我们的身体就会出现各种小问题警告你,比如:1、经常感到疲劳2、经常感冒3、伤口容易感染4、肠胃功能下降;自身保护能力差5、易受到传染病的侵袭6、精神萎靡7、易昏睡8、爱做梦(恶梦)9、身心憔悴如果症状轻微,我们可以通过饮食,运动,多休息及时调整,一旦出现严重的症状,或者是通过检测(免疫功能实时监测)发现免疫力严重异常,这时我们就需要积极的治疗,尽快帮助我们的免疫力恢复了。如注射胸腺肽类的药物、干扰素,恢复免疫试别功能和以下恢复免疫*伤杀**功能的过继性细胞免疫回输等,如:
树突细胞疫苗疗法
树突细胞是已知体内功能最强、惟一能活化静息T细胞的专职抗原提呈细胞,相当于是免疫系统的司令部,它能够识别癌细胞,并将癌细胞的抗原呈递给T淋巴细胞,使数量庞大的淋巴细胞能够识别癌细胞,命令更多的淋巴细胞去攻击带有相应抗原的癌细胞。因此,通过大量体外活化培养负载肿瘤抗原的树突细胞,当细胞数量达到一定数量后回输给病人,可诱导机体产生强烈的抗肿瘤免疫反应。
a・βT细胞疗法
a・βT细胞是细胞毒性T细胞的一种,成熟的细胞毒性T细胞受抗原刺激后,分化为效应细胞毒性T细胞和记忆细胞毒性T细胞。前者能特异性*伤杀**带抗原的靶细胞,如移植细胞、肿瘤细胞及受微生物感染的细胞等。T细胞的*伤杀**力较强,可反复*伤杀**靶细胞。a・βT细胞活化后,是对癌细胞攻击力最强的一种免疫细胞,广泛适用于各种早期癌症。
γ・ΔT细胞疗法
γ・ΔT细胞是细胞毒性T细胞的另一个类型,是攻击癌细胞的另一个主要力量,成熟的细胞毒性T细胞受抗原刺激后,分化为效应细胞毒性T细胞和记忆细胞毒性T细胞。前者能特异性*伤杀**带抗原的靶细胞,如移植细胞、肿瘤细胞及受微生物感染的细胞等。γ・ΔT细胞用于以肺癌和多发性骨髓瘤为首的各种各样的癌症。日本大学医院进行了临床研究,成果作为论文已经发表在国际期刊,是一种值得期待的治疗方法。
NK细胞疗法
NK细胞就是我们熟知的自然*伤杀**细胞,在身体里巡逻,是最早发现和攻击癌细胞和病毒感染细胞的免疫细胞。占血液中的淋巴细胞的10~20%,是*伤杀**能力极强的免疫细胞。
晚期乳腺癌患者的长生存大门已经开启!
最后,预防乳腺癌复发和转移还需要科学的生活方式。调整好生活节奏,避免和减少精神、心理紧张因素,保持乐观的情绪和良好的心态,积极参加体育锻炼,养成科学的饮食习惯等。
未来,将有更多新药物的研究为走投无路的晚期乳腺癌患者提供新的选择和希望,让我们坚定信心,携手抗癌!