
肝棘球蚴病,是畜牧地区常见的寄生虫病,由于其幼虫主要寄生于肝脏,故又称肝包虫病。
一
超声特点
根据其发病过程进行分型。
1、单囊型
表现为肝内出现单个圆形或类圆形无回声区,囊壁增厚完整,为中高回声,可呈双层,同时可出现细小的点状反射堆集于囊底,随体位改变而漂浮,形成“飘雪”征。

图源:人卫出版社教材及课件
2、多囊型
表现为大的囊肿内有多个大小不等圆形小囊,呈葡萄状或蜂窝状,形成特征性 “囊中囊”征象。

图源:人卫出版社教材及课件
3、混合型
多由于老化和机械、化学损伤以及感染使包虫囊肿出现一系列变性、退化、坏死等改变,超声可显示内囊分离、内囊破裂塌陷、囊实变及实变等改变,呈现高低不等、点状片状回声夹杂的混合回声团块。

彩色多普勒:表现为无彩色血流信号,但在病灶并发感染则可在炎性区出现彩色血流。


超声造影:病灶未见增强,呈无回声团块,境界清楚。
二
什么是棘球蚴病?
棘球蚴病(echinococcosis): 是棘球绦虫的蚴虫感染人体所致的寄生虫病,也称包虫病。(可在肝、肺、脑、肾脏、脾脏、心肌、心包、肠系统等偶可寄生细粒棘球蚴)。
寄生于人体的有4种:细粒棘球绦虫、多房棘球绦虫、伏氏棘球绦虫和少节棘球绦虫。
棘球蚴病分为囊型棘球蚴病和泡型棘球蚴病:
囊型棘球蚴病(cystic echinococcosis):是细粒棘球绦虫的蚴虫感染人体引起的疾病,又称囊型包虫病。
泡型棘球蚴病(alveolar echinococcosis):是多房棘球绦虫的蚴虫感染人体引起的疾病,又称泡型包虫病。
三
传播方式及途径有哪些?
直接感染:主要是与狗密切接触。
间接感染:人畜共饮同一水源。

图源:人卫出版社教材及课件
四
发病机制是怎样的?

五
在体内它是怎样的?

囊性肝包虫生物学结构示意图
图源:人卫出版社教材及课件

肝包虫囊肿的生物学构成:肝包虫囊肿的囊壁分为内囊和外囊两层,内囊的壁又分为角质层和生发层。

囊性肝包虫外囊及周围肝组织的病理学改变
图源:人卫出版社教材及课件
六
肝包虫临床表现及并发症?
该病潜伏期为10~20年或更长。
临床表现:

(一)肝囊型棘球蚴病临床表现
早期可无明显症状。主要症状由棘球蚴压迫局部组织或邻近脏器而产生。
肝囊型棘球蚴病占棘球蚴病的75%。可有肝区不适、隐痛,肝肿大,表面隆起无痛性囊性肿块。
肝门附近棘球蚴可压迫胆管引起梗阻性黄疽,也可压迫门静脉发生门静脉高压症。
可因棘球蚴破入腹腔、胸腔,发生弥漫性腹膜炎、胸膜炎及过敏反应,甚至过敏性休克。

(二)肝泡型棘球蚴病临床表现
单纯肿大型:以上腹隐痛或肿块为主,或食欲不振,腹胀,消瘦,肝脏肿大。
梗阻黄疸型:以梗阻性黄疽为主要特点,也可有腹水、脾大、门脉高压等。
巨肝结节型:也称类肝癌型,上腹隆起,肝左右叶均极度肿大,可因肝功能衰竭而死亡。
常见并发症:
- 包虫囊破裂
- 破入腹腔:导致腹胀、 包虫种植导致肠梗阻、致命性过敏反应
- 破入胆道:梗阻性黄疸或胆管炎
- 破入胸腔:肺部感染、肝膈支气管瘘咳出子囊
- 包虫囊压迫
- 压迫第一肝门:出现黄疸
- 肝静脉:巴德一吉亚利综合征
- 其他并发症
- 感染:类似肝脓肿,但全身症状较轻
- 过敏反应:虫体抗原如循环系统,如反复*麻疹荨**
- 膜性肾小球肾炎:因虫体抗原沉积肾小球而引起

七
如何诊断及治疗?
诊断:
一、病史
应了解病人是否有流行地区居住史,及犬、羊等接触史 。
二、体征
初期无明显症状,常在致病多年后体检时偶然被发现,亦有因偶尔发现腹部肿块或因囊肿导致压迫症状或引起并发症而就医者 (详见上述临床表现)。

三、辅助检查
1、腹部B超:诊断准确率高,同时可在术前确定包虫的发育阶段和临床病理分型(下图为WHO超声影像学分型,是根据不同的临床病理分型的影像学特点进行划分的)

单囊型(CE1)
图源:人卫出版社教材及课件

多子囊型(CE2)
图源:人卫出版社教材及课件

内囊塌陷型(CE3)
图源:人卫出版社教材及课件

实变型(CE4)
图源:人卫出版社教材及课件

钙化型(CE5)
图源:人卫出版社教材及课件
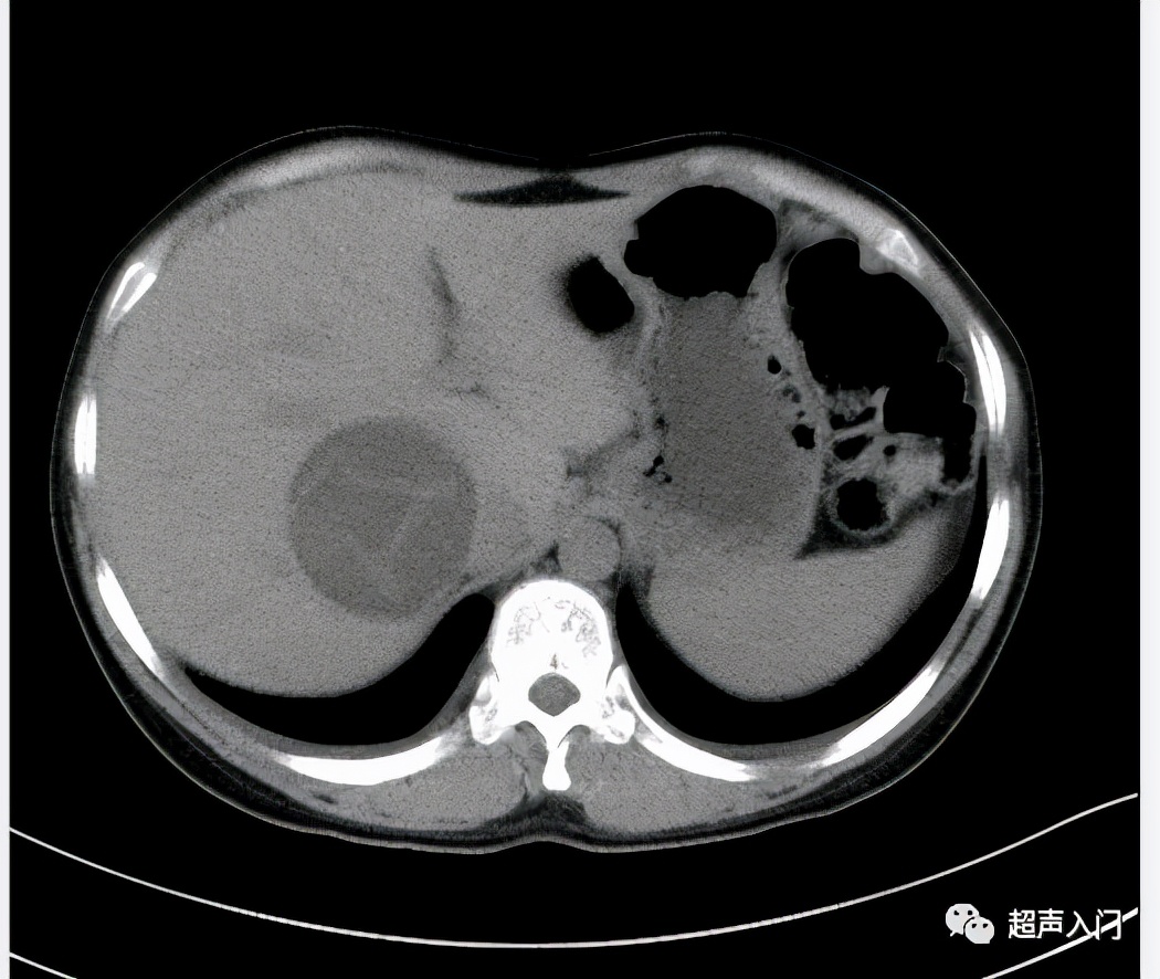
2、腹部增强CT和MRI:诊断价值很高,能显示囊肿与肝内结构的解剖关系,疑有胆道受累时,可行MRCP检查。


3、X线检查:外囊钙化时,可显示环形或弧形钙化影
4、免疫学检查:常用于流行病学筛查。包虫囊液皮内试验(Casoni skin test)阳性率可达90%~95%;补体结合试验阳性率可达70%~90%,检测结果可用于辅助诊断
八
鉴别诊断
囊型棘球蚴病应与多囊肝、肝囊肿、肝脓肿等鉴别。
泡型棘球蚴病应与原发性肝细胞癌、结节性肝硬化、肺癌、脑肿瘤等鉴别。
九
治疗
1、手术治疗
为首选,原则是:尽量完整摘除外囊,清除内囊,避免囊液外溢,防止复发;合理处理残腔及胆瘘,减少术后并发症,但晚期肝泡型棘球蚴病无法行肝根治性切除术者可选择内镜ERCP、介入或肝移植等治疗方式。

2、药物治疗
药物治疗通常难以达到治愈的效果,适用于早期囊肿小、外囊壁薄、有广泛播散和手术危险性大的病人。
3、PAIR
B超引导下,穿刺针或导管进入囊肿吸尽囊液后,注射95%的乙醇或20%的氯化钠溶液,保留10~15分钟后将其抽吸出。此方法适用于体积较小、位于肝组织内的I型囊肿,可多次使用,达到杀灭虫体的目的;不适用于囊肿和胆管相通的病人
4、观察
囊肿实变、直径小于5cm或钙化(IV、V型)且无症状者,可随访观察
十
超声治疗肝包虫病新进展
超声引导下经皮肝穿内囊原位剥脱加内外囊聚桂 醇硬化治疗 < 5 cm 肝囊型包虫疗效显著 ,具有准确率高 、 损伤小 、 合并症少的特点 ,可动态观察抽吸注药的过程 。这种治疗方法的技术操作简单 、 易于推广 , 具有重要的临床应用价值 ,真正实现了早发现早治疗 。
总结
棘球蚴病(包虫病)可分为囊型棘球蚴病和泡型棘球蚴病两种类型,分别由细粒棘球蚴绦虫和多房棘球绦虫的幼虫引起。主要是人类误食棘球蚴虫卵所致。在我国以囊型棘球蚴病为主,主要流行于西北的牧区和半农半牧区(但临床中,遇见就100%)家犬是主要的传染源和终宿主。泡型棘球蚴病又被称为“虫癌”,是高度致死的疾病,分布范围稍小。
肝包虫病一般无临床表现,但出现并发症后,可出现腹痛、发热、黄疸等不同表现。通过病史、B超/CT、卡松尼实验可进行诊断及判断分型。
手术是首选的治疗方案,围手术期可辅助药物治疗,穿刺以及观察也是治疗方法。手术治疗是根治棘球蚴病的最有效方法。对于有手术禁忌或术后复发且无法再行手术治疗者,采用抗棘球蚴病药物治疗。
参考资料
1、任卫东,常才主编,《超声诊断学》第3版,人卫出版社
2 人卫出版社第九版教材及课件‘
3、华国勇,郭建琴,沈海林,冶凤英,王有清.超声引导下经皮肝穿内囊原位剥脱聚桂醇硬化治疗肝囊型包虫的应用价值[J].中国超声医学杂志,2021,37(1):111-113.’