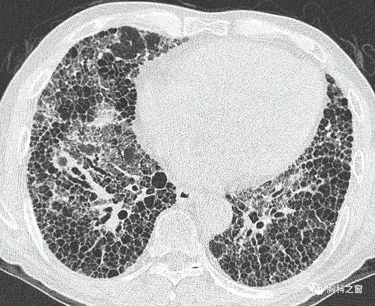
肺间质纤维化是一种肺间质的炎症性疾病,病变主要发生在肺间质、肺泡上皮细胞或肺血管部位。一般明确的致病因素有,过量吸入了空气中的粉尘、烟尘、二氧化硫等杂质而无法排出;病毒、细菌等有害物质的感染;药物、放射导致的损伤等。

肺间质纤维化患者的临床表现为干咳、进行性呼吸困难,或者四肢末端紫绀、鹰爪指、杵状指,严重者会出现消瘦、乏力、胸部憋闷等症状,最终呼吸衰竭而死。由于肺间质纤维化早期临床症状不明显。很多患者容易在不经意间,使病情从早期转变到中晚期的肺间质纤维化。
中医上讲,虚则补,实则泻,互相调剂,促进五脏和谐。想要有效预防肺间质纤维化,中医建议做好以下几点:1、避寒保暖,防止受凉感冒。2、避免接触致病物。3、注意饮食营养。4、辅助用药:人参、蛤蚧、川贝粉、红花、冬虫夏草适量,研粉入胶囊,适量服用;每天食用核桃仁2-3个。

我是北京中医药大学第三附属医院呼吸科毕伟博医生,我擅长治疗哮喘、支气管炎、支气管扩张、肺气肿、慢阻肺、肺结节、肺大泡、肺纤维化等呼吸系统疑难杂症。如果你也有这方面的问题,可以在下方评论区问我,希望能帮到你。
#健康明星计划##肺间质纤维化#
