26岁的小王,是一名刚在一家外企入职没几年的年轻人,别看小王年轻,但是已经是一名资深的哮喘老病号了。 小王每天都要规律喷鼻吸入哮喘药,每天上班前喷一次长效哮喘药以长期控制哮喘症状,减少发作次数。
除此之外,还要随身携带 短效哮喘药物 ,像是这种寒冷的冬季,冷空气刺激更容易引起气管痉挛,引发哮喘;这种短效哮喘药物就是哮喘发作突然发作时的 “救命药” ,能够及时缓解哮喘症状。

在规律服药控制下,小王的哮喘控制的还算不错,一年下来哮喘都不会发作几次, 但是最近一段时间,不知道是最近工作任务重、熬夜多休息不好还是什么原因,小王在半年内就发作了3次左右,而且发作间期还时不时的感觉胸闷。
小王决定要抽空去医院看看,咨询一下医生自己的哮喘用药是不是需要调整。
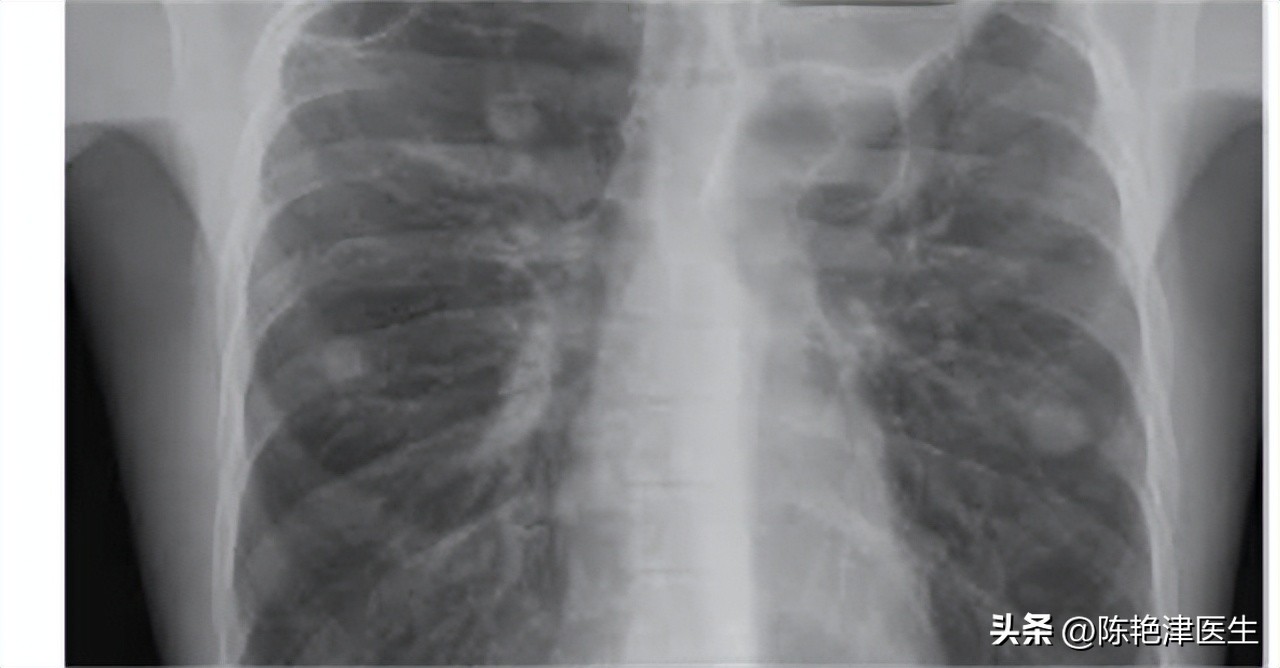
医生接诊后先给小王安排了一次胸片,看看肺部情况。
胸片结果出来后, 医生告诉小王,胸片上显示小王的肺部有一处肺大疱,可能是他的哮喘频繁发作导致的,而且小王的胸闷可能也与之相关。

小王没听说过 肺大疱 这种病,也不知道 严不严重 ,顿时紧张起来,医生看出小王的异样,耐心的向小王解释了他目前的情况。听了医生的一番解释,小王心中的大石头才算彻底落了地。
究竟什么是肺大疱呢?下面我们就来揭开它神秘的面纱。
人的生存离不开每天无数次的呼吸,呼吸和心跳一样,都是我们无法主观控制的植物神经活动。尽管我们能够主动憋气,但仅限于较为短暂的时间。大部分时间下,呼吸都能够在我们不注意的情况下 自主且规律 的进行。

伴随着每一次的呼吸,肺脏都会 膨胀和收缩 ,像是被吹起的气球一般。
我们吸入的氧气,经由鼻腔、咽喉到达气管。气管像是树干,会分出无数的枝干,形成 各级支气管 。气管每次发出分支,管道直径都会越来越细,每个分支都会在最末端会形成 肺泡 结构。
肺泡的结构像是蜂窝上的 蜂房 ,是一个一个的小圆球组成的,形态类似 葡萄样 聚集在一起。正常的肺泡平均直径约为0.2 毫米,正常人约有3-4 亿个肺泡【1】,是肺功能的基本单位,是进行 气体交换 的主要部位。

当氧气随着吸气运动沿着气管、支气管逐级流动至肺泡时,肺泡也会像吹气球一般膨胀起来。此时包绕在肺泡表面的小血管内会发生 气体交换 ,氧气进入血管内被血液中的红细胞结合,同时二氧化碳会回到肺泡中,随着呼气过程被排出体外。
如果由于某些原因导致某一分支下的小气道 阻塞或狭窄 ,气体容易被吸入但是却不能够被完全排出。这时相当于形成了一种 单向活瓣 ,气体只进不出,这些肺泡就变成了不泄气的气球,始终处在膨胀状态。
随着小气道狭窄的进一步进展,这些肺泡会变得越来越大,还可能会发生合并,形成更大的含气囊。这便是临床上所说的 肺大疱 ,又称大泡性 肺气肿 ,是指由于肺泡内压力由于各种原因异常升高,导致肺泡壁破裂并互相融合,在肺表面或肺实质内形成的 含气囊肿 。

那么容易导致肺大疱的 原因 有哪些呢?
一、导致肺大疱的常见病因
肺大疱的病因分为两种:
- 一种是先天性的 ,多是由于先天性的气管发育异常或是软骨发育不良等引起的气道结构异常,从而形成这种 单向活瓣 。一般来说,先天性因素因为出生时就存在,因此这类肺大疱更多见于 小儿 ,生后起病,症状会逐渐出现并加重。
- 第二种是后天性的 ,一般多 继发 于多种 肺部基础病 ,尤其是小气道病变为主的肺部疾病,如慢性支气管炎、慢性阻塞性肺病、肺气肿等引起的小支气管出现水肿、狭窄,导致空气进入肺泡后不易排出。由于是后天形成,故多发于成年人或中老年人。

有相关研究表明,肺大疱更好发于 瘦高体型 的年轻人以及既往存在 小支气管病变、慢阻肺、肺结核、肺炎、肺部创伤、肺癌 病史的人群。同时 长期吸烟、嗜酒、高强度对抗性运动以及粉尘环境 等也是肺大疱发生的危险因素。
如果患有肺大疱,会出现哪些不适 症状 呢?
二、肺大疱的常见症状
肺大疱患者的症状 不尽相同 。是否出现症状以及症状严重与否与肺大疱的 数量、大小 以及 是否合并有其他肺部疾病 有关。
对于年轻人或者肺功能良好的患者,一般是在体检时进行X 光和CT 检查中偶然发现的, 数量较少 或者 直径较小 的单纯性肺大疱 一般不会引起症状 。

如果肺大疱进一步进展,比如数量增多或者直径继续扩大,形成体积较大或者数量较多的 多发性肺大疱 时,这些含气囊腔会对周围正常的肺组织或肺泡造成挤压,影响正常肺组织的膨胀收缩和气体交换,影响患者的肺功能。
由于肺组织的 代偿能力较强 ,早期肺功能下降时对于正常生活、工作、运动的影响不大,患者也很难察觉到身体出现不适。当肺功能进一步下降超过正常肺组织的代偿能力时,患者就会出现相关的 不适表现 。
临床上患者主要表现为 胸闷、气短、疲劳 等症状,对于本身就合并有慢阻肺等基础肺部疾病的中老年患者,呼吸困难的症状会更为明显,严重影响患者的活动能力。如果同时 并发肺部感染 ,还会出现 发热、咳嗽、胸痛、咳血、呕血 等不适。

上文提到的这些,仅仅是肺大疱本身推挤肺组织或并发感染可能导致的症状。随着肺大疱体积增大到一定程度,就像是气球也会被吹爆一样, 巨大的肺大疱极易破裂 ,一旦破裂,还会出现下面这些症状,如果没有得到及时处理可能会危及生命。
三、肺大疱破裂引起的症状有哪些
首先,肺大疱破裂常常导致自发性气胸。 肺大疱破裂后,肺泡中积聚的气体会释放到胸腔内,导致肺脏受到挤压而塌陷,影响正常呼吸过程中肺组织的膨胀和回缩。因此患者会 突发急剧的呼吸困难及胸痛 等症状。

这种情况通常见于 肺部表面的肺大疱 ,因为其 疱壁较薄 ,在剧烈咳嗽、搬重物、用力排便、剧烈体育活动等诱因下,会增加肺大疱内的压力而造成其破裂,导致自发性气胸的发生。
其次,肺大疱破裂还可能引发自发性血气胸,位于肺尖部的肺大疱更易发生。 这是由于肺大疱破裂时可能 撕裂 周围与之粘连的肺组织或胸壁,造成血管及肺组织的损伤而引发出血。
当出血较为缓慢时,患者通常会先感觉到 胸闷 ,随后出现逐渐加重的 呼吸困难 ,甚至导致窒息;而出血迅速时,则在短时间内就会造成 休克 。危及生命。

看到这里,大家可能会觉得 肺大疱 是一种特别可怕的疾病。实际上,并不是所有的肺大疱都会发生 破裂 ,也不是所有的肺大疱都会造成以上严重的后果。那么如果发现了肺大疱,该如何 治疗 呢?
四、肺大疱的治疗
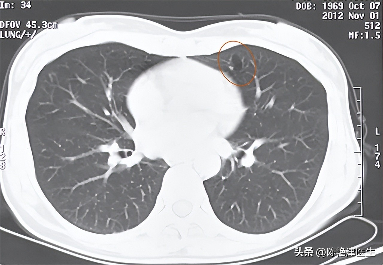
一般来说,对于大部分 无症状 、偶然发现的肺大疱,通常 不需要进行治疗 ,只需要定期 复查随诊 ,观察肺大疱有无进展即可。目前临床上常用的检查手段有以下三种。一种是 X线 检查,最廉价又最常用,但对于直径较小的肺大疱不易检出;
一种是 CT 检查,能够发现直径小于1cm的肺大疱【2】,较前者敏感;最后一种是 肺血管造影 ,用来明确周围血管的分布和被肺大疱挤压的情况,为手术治疗提供一定的参考。

如果本身就合并有慢性支气管炎、肺气肿、慢性阻塞性肺疾病等肺部基础疾病的患者,则应该 积极治疗基础疾病 ,控制疾病进展,避免肺大疱出现进一步扩大。
由于具有长期肺部慢性基础病的通常是中老年人群,所以还建议这类患者在日常生活中应该尽可能 避免剧烈咳嗽,以及用力排便 等突然增加腹内压等行为,以减少造成肺大疱破裂的风险。
只有当肺大疱 反复引发感染 且抗生素作用欠佳,或是 巨大肺大疱压迫肺组织 并占据一侧胸腔超过 70% 【2】,以及出现 明显的呼吸困难 , 存在感染、出血 等症状时,才会建议患者进行手术治疗。

如果真的发生了肺大疱破裂,造成自发性气胸或血胸时,大家也不用紧张,可以采用 胸腔闭式引流 的非手术治疗方式及时将气体或积血引流出来,解除其对正常肺组织的压迫,缓解呼吸困难的症状。

总而言之,对于肺大疱的治疗, 药物并没有明显作用 , 无症状者以观察为主 , 手术 仍然是 根治 的有效手段。通过手术可以切除病变的肺大疱,同时尽可能保留健康的肺组织。有研究者进行肺大疱术后随访显示,大约2/3 的患者术后恢复良好,症状改善明显【2】。
总结:
肺大疱又称大泡性肺气肿,是指肺泡压力升高,在肺表面或肺实质内形成的含气囊肿。好发于 瘦高体型 的年轻人以及既往存在 肺部基础病 的人群。同时长期吸烟、嗜酒、对抗性运动以及粉尘等也是肺大疱发生的危险因素。

大部分肺大疱患者 通常没有明显症状 ,少部分可出现 胸闷、气短、疲劳 等症状。如果同时并发 肺部感染 ,还会出现发热、咳嗽、胸痛、咳血、呕血等不适。如果发生肺大疱 破裂 ,则会出现 胸闷、呼吸困难、休克 等危及生命的表现,需要及时就医。
对于无症状的肺大疱患者, 定期复查 病灶进展即可,生活中注意 避免剧烈咳嗽、用力排便 等突然增加腹腔压力的动作。只有当肺大疱反复引发感染或是巨大肺大疱以及出现明显的呼吸困难,存在感染、出血等症状时,才需要考虑进行手术治疗。
参考文献:
[1]张秀雄. 一文读懂肺大泡[J]. 健康必读,2021(8):178.
[2] 邱刚. 患了肺大疱应该如何治疗[J]. 大健康,2020(26):104,107.