牙折属于牙外伤的一种情况。
牙外伤是指牙受到各种机械外力作用所发生的牙周组织、牙髓组织和牙体硬组织的急剧损伤。因为儿童正处于身体、生理和心理生长发育的阶段,较成人更易发生牙外伤,尤其是前牙外伤。
牙外伤


牙折又分为不全冠折、冠折、根折和冠根折
1、不全冠折
不全冠折指牙面釉质不全折断,牙体组织无缺损,又称为纹裂。在病人的牙齿唇(颊)面可见到与牙长轴平行的、垂直的或呈放射状的细微裂纹。可无任何症状或有对冷刺激一过性敏感的症状。

治疗原则:严重的釉面裂纹最好涂以无刺激性的保护涂料或复合树脂粘接剂。年轻恒牙有症状者可做带环冠,用氧化锌丁香油糊剂粘着6~8周,以待继发性牙本质形成。少量调低咬合接触。
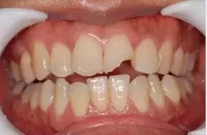
2、冠折
冠折有冠折未露髓和冠折露髓两种情况。前者仅限于冠部釉质或釉质和牙本质折断,多见于上中切牙切角或切缘水平折断,偶见折断面涉及大部分唇面或舌面。牙本质折断者可出现牙齿敏感症状,有时可见近髓处透红、敏感。后者在折断面上有微小或明显露髓孔,探诊和冷热刺激时敏感。如未及时处理,露髓处可出现增生的牙髓组织或发生牙髓炎。对于折断片完整者,患者可在外伤后当时找到牙齿断片,保存在清水中,并立即前往口腔专科进行处理。

治疗原则:少量釉质折断无症状者,调磨锐利边缘,追踪观察牙髓情况。少量釉质、牙本质折断者,断面用对牙髓刺激小的玻璃离子水门汀覆盖,6~8周后若无症状,用复合树脂修复。如牙本质折断近髓者,年轻恒牙应间接盖髓,6~8周后或待根尖形成后用复合树脂或嵌体修复;成人牙可酌情做间接盖髓或根管治疗。冠折露髓者,年轻恒牙应做直接盖髓或活髓切断术,待根尖形成后再做根管治疗或直接做牙冠修复;成年人可做根管治疗后修复牙冠。
3、根折
根折多发生在成年人,根折的部位不同,表现的松动度和叩痛不一;根折发生在根尖1/3处,无或轻度叩痛,有轻度松动或不松动;如果中1/3或近龈1/3根折,则叩痛明显,叩诊浊音,2~3度松动。患牙做正中或前伸咬合时,用手指放唇侧龈可扪及异常的松动度。有时可见患牙轻微变长。牙髓活力测定结果不一。X线片表现牙根不同部位有X线透射的折断线。如果颊舌面折断部位不在同一水平面上(斜行根折)或根部不止一处折断时,X线片上可显示不止一条折断线。诊断主要依靠X线片表现。

治疗原则:是测定并记录牙髓活动情况。活力尚存的患牙应定期复查。若日后发生牙髓坏死,再做根管治疗。根尖1/3处根折的患牙,如牙髓状况良好,可调咬合后观察。其余部位的根折,如未与龈沟相通者立即复位、固定。一般固定3个月。折断线与口腔相通者,一般应拔除。如残留断根有一定长度,可摘除断端冠,做根管治疗,然后做龈切除术或冠延长术,或用正畸方法牵引牙根,再以桩核冠修复。
4、冠根折
冠根折表现为折断线累及牙冠和根部,均与口腔相通,牙髓往往暴露。患牙断片动度大,触痛明显。

治疗原则:是多数患牙需拔除。少数情况下,折断线距龈缘近或剩余牙根长则可摘除断冠后,做根管治疗后行冠延长术或用正畸方法牵引牙根后,做桩核冠修复。
#德尔口腔科普#
【口腔科普】传递健康知识,为牙齿保驾护航~
来源:网摘
整理编辑:德尔牙科
如果本文对你有所帮助,记得分享哦~
好牙好生活,关注【德尔牙科】,每天学习一点口腔护理知识