脑积水分流术后感染,间断腹胀、腹痛、发热,反复治疗2年余无效, 在李小勇脑脊液科治74天治正常,现已出院6年半身体一直挺好
患者女,53岁,甘肃省平凉市静宁县人。
一、李小勇脑脊液科入院前病史
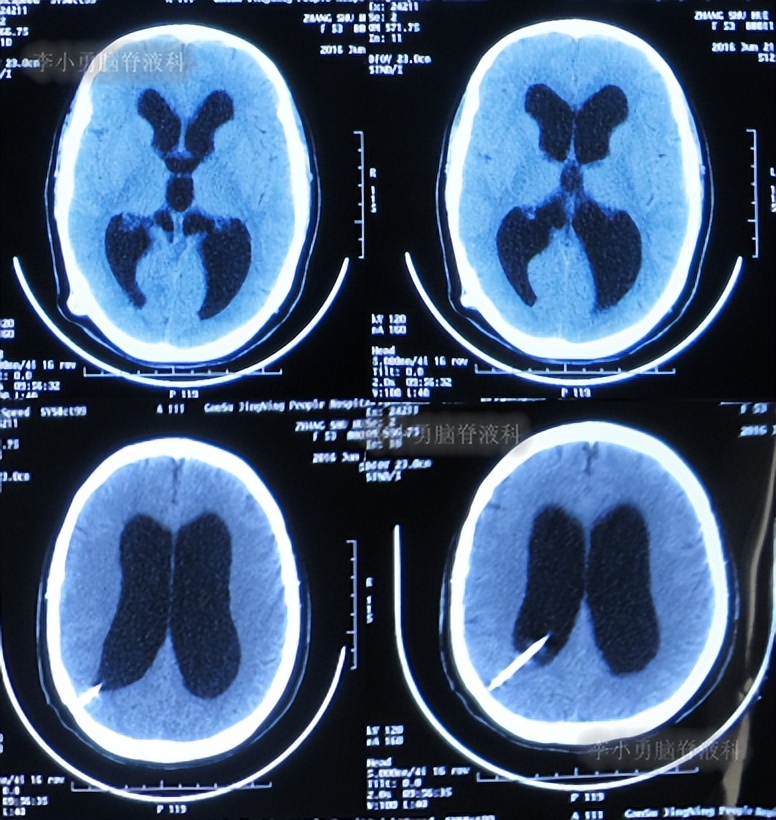
患者2014年6月20日出现持续头晕的症状,不能自行缓解,于2014年6月24日和6月26日分别就诊于甘肃省平凉县某医院和陕西省西安某医院,进行了头颅MRI和头颅CT示脑室扩张,脑积水( 图-1 、 图-2 )。

图-1: 2014年6月24日头颅MRI

图-2: 2014年6月26日头颅CT
1、第1次住院治疗经过
为治疗脑积水,于头晕发病8天后即2014年6月28日,就诊于陕西省西安某三甲医院神经外科,当天查头颅MRI:脑积水( 图-3 )。

图-3: 2014年6月28日头颅MRI
住院后第5天即2014年7月2日,进行了脑室腹腔分流术,术后次日即2014年7月3日查头颅CT:脑室分流术后状态( 图-4 )。

图-4: 2014年7月3日头颅CT
脑室腹腔分流术后第7天即2014年7月7日,查头颅CT:脑室仍然扩张( 图-5 )。

图-5: 2014年7月7日头颅CT
术后第10天左右头晕症状减轻,但出现腹部胀痛,医生考虑“肠梗阻”给予静脉抗感染及通便等对症处理,治疗1周后腹部胀痛基本消失,但仍存在少量腹腔积液(可能是分流的脑脊液),给予动态观察,住院2个月后即2014年8月28日出院回家。
出院后1年零2个月即2015年10月初,又出现头晕并逐渐加重的表现,同时伴有间断发热(开始1个月左右发热一次,后缩短至间隔1周左右发热1次),最高体温可达39℃,在当地诊所给予对症处理后症状好转,未正规住院治疗。
2、第2次住院治疗经过
出院后1年零4个月即2015年12月8日(脑室腹腔分流术后1年零5个月),又因“肠梗阻(不全性)”,第2次住入之前手术的医院,当天查腹部CT:仍然有积液( 图-6 )。给予静脉抗感染、灌肠通便等对症支持,治疗2周后,肠梗阻症状改善后出院。

图-6: 2015年12月8日腹部CT
第2次出院后2周即2016年1月10日,因反复发热,腹痛、腹胀,就诊于当地县医院,按“腹膜炎”抗感染治疗10天后,体温基本控制后出院但仍间断发热。
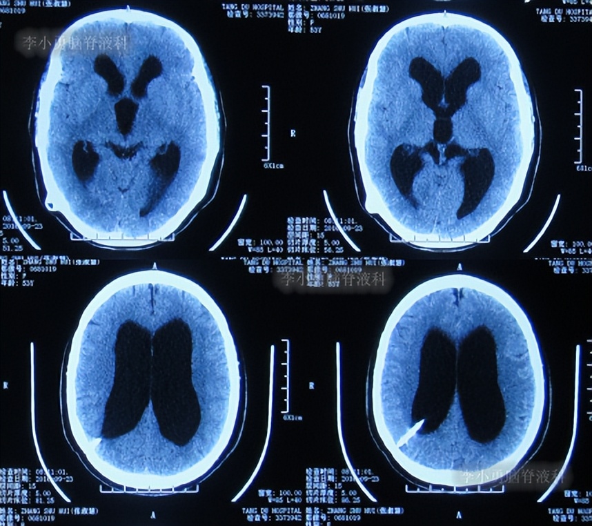
第2次出院后4月余即2016年6月7日,因第3次“发热”就诊当地某医院中医门诊,经中医治疗近两月时间。于2016年6月21日复查头颅CT:幕上脑室仍扩张( 图-7 )。治疗期间发热曾缓解,但之后发热仍反复。

图-7: 2016年6月21日头颅CT
3、第3次住院治疗经过
第2次出院后6个月即2016年8月16日,因间断发热,在当地诊所控制不住,第3次就诊之前手术的医院神经外科。
住院次日即2016年8月17日,查腹部CT:仍有腹腔积液( 图-8 )。

图-8: 2016年8月17日腹部CT
这时医生才考虑可能跟分流术后感染有关,行腰椎穿刺脑脊液化验发现“甲氧西林耐药葡萄球菌”生长,遂给予万古霉素静脉点滴联合利福平口服抗感染治疗。
住院后3天即2016年8月19日,查头颅CT:幕上脑室扩张( 图-9 )。

图-9: 2016年8月19日头颅CT
住院治疗17天后即2016年9月2日,体温基本正常出院,当天查头颅CT:脑室扩张同2016年8月19日头颅CT无明显改善(片子丢失)。
第3次出院后21天即2016年9月23日,复查头颅CT:幕上脑室仍扩张( 图-10 )。

图-10: 2016年9月23日头颅CT
第3次出院后33天即2016年10月5日,又出现头晕,并有烦躁的症状,未及时就医。次日即2016年10月6日晨起5点,出现呕吐伴大小便*禁失**,体温高达38.6℃。医生此时也束手无策,家属没想到患者的病情会发展到如此严重的地步,非常的担心四处求医,在一位医生好心的推荐下转来北京的李小勇脑脊液科。
二、李小勇脑脊液科治疗过程与结果
2016年10月7日(脑积水在外院2年内先后3次住院治疗,但病情持续加重)转入李小勇脑脊液科。入院时:嗜睡,走路不稳;大小便*禁失**;双眼视力差,光反射迟钝;饮食差,自发病后体重减轻约15公斤左右;头颅右侧枕角入路侧脑室腹腔分流术后改变,右耳后可触及分流泵,压痛明显( 图-11 )。

图-11: 2016年10月7日入院时
当天头颅CT:脑积水右侧侧脑室分流术后,脑室扩张并间质性脑水肿( 图-12 )。

图-12: 2016年10月7日头颅CT
住院第2天即2016年10月8日,进行了原侧脑室脑脊液分流管去除术+右侧侧脑室外引流术,术后当天复查头颅CT:脑室引流术后状态( 图-13 )。

图-13: 2016年10月8日头颅CT
引流术后第4天即2016年10月12日,引流出的脑脊液由透明清亮变为黄色透明,嗜睡明显减少,大小便*禁失**改善为基本得到控制( 图-14 )。

图-14: 2016年10月12日
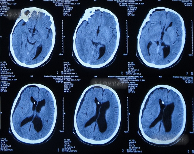
引流术后第5天即2016年10月13日,复查头颅CT:右侧脑室较入院时缩小( 图-15 )。

图-15: 2016年10月13日头颅CT
引流术后第11天即2016年10月19日,患者由精神差改善为精神可以,睡眠变正常;饮食差改善为饮食较前稍有好转;大小便*禁失**改善为完全正常;引流的脑脊液由黄色透明改善为清亮透明( 图-16 )。

图-16: 2016年10月19日
在脑脊液各项检查变正常情况下,于2016年10月24日(入院后17天)进行了第2次的脑室引流术。
第2次术后8天即2016年11月1日,精神状态良好,饮食差改善为基本正常,脑脊液引流出黄色透明液体,入院时双眼视力差,光反射迟钝改善为视力较前好转,对光反射正常。
第2次术后39天即2016年12月2日,引流出的脑脊液由黄色透明改善为无色透明液体,入院时走路不稳改善为走路稳定正常( 图-17 )。

图-17: 2016年12月2日
第2次术后40天即2016年12月3日,头颅CT:脑室较入院时明显缩小( 图-18 )。

图-18: 头部CT 对比图
2016年12月5日(住院治疗42天)进行了脑室分流术。
2016年12月20日(在外院治疗2年余均失败,但在李小勇脑脊液科治疗74天康复出院),出院时:精神状态佳,睡眠正常,饮食正常体重有增加;由入院时走路不稳改善为走路稳定,右侧胳膊伸展稍差(因原有的肩周炎);由入院时双眼视力差改善为视力进一步好转( 图-19 )。

图-19: 2016年12月20日
三、出院后随访
出院后半年即2017年6月9日来院复查,复查时:四肢活动正常,走路灵活敏捷,精神状态佳,视力进一步改善基本恢复至发病前水平( 图-20 )。

图-20: 2017年6月9日
出院后2年半即2019年6月13日来院复查,复查时:精神状态佳,四肢活动灵敏自如,身体一切正常( 图-21 )。

图-21: 2019年6月13日
出院后6年半即2023年5月30日,来院复查:身体一直挺好的,肢体活动灵活( 图-22 )。

图-22: 2023年5月30日