案例内容
【案情简介】
吴某,男性,53岁,于2016年11月22日驾驶二轮燃油车发生道路交通事故。交通事故后神志不清,入院治疗。
【鉴定过程】
入院后临床检查:经口气管插管接呼吸机辅助通气,神志昏迷,GCS=6,全身多处软组织挫伤;右侧瞳孔d=1.5mm,左侧瞳孔d=5mm,双侧对光反射消失。摄片示颅底广泛蛛血,脑多发挫裂伤。经临床予脱水降低颅内压、抗感染、化痰、营养支持补液、护胃、维持生命体征等治疗,于12月2日行经皮颅内动脉成形术(术中见左侧颈内动脉C3段动脉瘤,约6.2×9.0mm,瘤颈4.7mm,颅内多发血管痉挛)。经医院诊断为:多发性损伤,脑多发挫伤,左侧额颞叶挫裂伤,弥漫性轴索损伤,脑干损伤,颅底广泛蛛网膜下腔出血,右侧上颌窦壁多发骨折,鼻骨多发骨折,头皮浅表损伤,双肺挫伤,肺部感染,气管造口状态,左颈内动脉瘤。
(二)法医学检验
1. 检验方法
按照《法医临床检验规范》(SF/Z?JD0103003-2011)、《法医临床影像学检验实施规范》(SF/Z JD0103006-2014)对被鉴定人进行检验。
2. 体格检查
平卧病床,睁眼昏迷,呼唤无反应,鼻饲管在位。两侧鼻唇沟对称,伸舌不能合作。左侧瞳孔散大,对光反射消失;右侧瞳孔直径4mm,对光反射迟钝,眼球无自主活动,睫毛反射消失,压眶反射消失。颈部正中见气管切开处金属套管在位。左膝部见一长5.5cm横行瘢痕,色淡红,未见明显增生及挛缩。四肢肌肉萎缩,肌张力增高,肌力检查无法配合。双侧腱反射减弱,双侧霍夫曼氏征未引出,双侧巴彬斯基征阳性。尿袋在位。
3.阅片所见
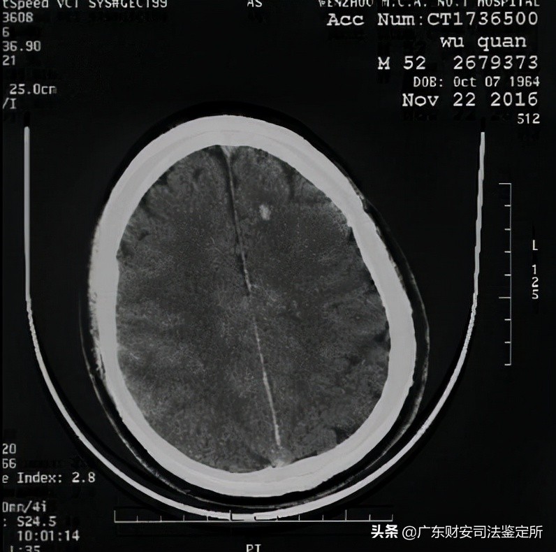
2016年11月22日及11月29日CT片:脑室系统、脑池、小脑幕、双侧大脑半球脑沟回表面见广泛条带状致密影,中脑左侧团片状致密影,左侧额叶见小片状致密影,复查显示脑室、脑池及脑回表面病变较前略吸收。提示脑室积血,广泛蛛网膜下腔出血,中脑左侧份血肿,左侧额叶挫裂伤。
2016年11月30日 CT*片A**:左侧颈内动脉后交通端见一瘤样突出,表面光滑,瘤体向后外侧,大小约6×9mm,瘤颈较窄,余无殊。提示左侧颈内动脉后交通端动脉瘤。
2016年12月29日 MRI片:中脑左侧见团片状异常信号,在诸序列均呈高信号,双侧基底节区及半卵圆中心见多发小片状FLAIR及DWI高信号影,双侧额颞部颅板下见弧形液体信号影,脑室系统稍扩大,左侧中耳乳突见液体信号影。提示中脑左侧血肿,脑内多发异常信号(新近期梗塞可能),双侧额颞部硬膜下积液,左侧中耳乳突积液。
2017 年3月14日 CT片:双侧基底节区及半卵圆中心见多发小片状低密度影,双侧额颞部颅板下见弧形液体信号影,双侧大脑半球脑沟加深、脑回缩小,脑室系统扩大。提示双侧额颞部硬膜下积液,脑萎缩,脑内多发腔梗灶。
【分析说明】
(一)关于颅内动脉瘤
颅内动脉瘤是指脑血管壁异常所致的局部脑血管扩大形成的脑血管瘤样突起,多发生在脑底动脉,前循环动脉瘤(颈内动脉及其分支动脉瘤)约占80%,其中颈内动脉瘤约占35%,后循环动脉瘤(椎基底动脉及其分支的动脉瘤)约占20%。
按动脉瘤大小分为四型:≤0.5cm者为小型,0.6cm-1.5cm为中型,1.6cm-2.5cm为大型,>2.5cm称为巨型。动脉瘤破裂出血以中型及小型最多,巨型反而较少。
根据不同病因,动脉瘤分为四种:
1.先天性动脉瘤:主要由于动脉管壁的薄弱所致,多呈囊状,约占全部动脉瘤的80%-90%。
2.动脉粥样硬化性动脉瘤:由于动脉管壁上的粥样斑块及动脉中层的胶原纤维的透明变性,使管壁削弱,动脉常呈梭形或念珠状,约占动脉瘤总数的10%-18%。
3.感染性动脉瘤或真菌性动脉瘤:由于感染性栓子停留在脑动脉内所产生的血管壁破坏,瘤体多较小或呈念珠状,约占动脉瘤总数的2%。
4.外伤性动脉瘤:开放性颅脑损伤后,动脉被穿入颅内的异物弹片、碎骨片刺伤,或闭合性颅脑损伤后,脑动脉过度移动、变形、挤压、剪力等作用损伤所致,约占总数的0.5%。因管壁遭受部分损伤,特别是内弹力层和中膜损伤,形成由内膜和外膜组成的囊状或梭形动脉瘤,成为真性动脉瘤。因破损累及血管壁全层,血液从血管壁上的小破口外溢形成与血管相通的小血肿,血肿周边部分逐渐机化而形成的动脉瘤,称为假性动脉瘤。也有真性动脉瘤破裂后,在破裂口处形成假性动脉瘤。由于血管内膜损伤,血液进入内膜和内弹力膜之间的间隙,将内膜从内弹力膜上剥离,引起血管狭窄或阻塞,称为夹层动脉瘤。
根据动脉瘤形态分五类:
1.粟粒状动脉瘤:小如粟粒,直径一般不超过0.5cm,见于感染或高血压动脉硬化的病人,多发,分布于动脉末梢的小分支上。
2.囊状动脉瘤:如浆果大小,直径一般在1.5cm以下,管壁的先天薄弱为其主要病因,常发生于较大动脉分叉处。动脉瘤与载瘤动脉相连之处呈瘤颈,与瘤颈相对的部分呈瘤底,瘤颈与瘤底之间称瘤体。
3.假性动脉瘤:多为外伤引起,常见于鞍旁紧靠颈内动脉主干或分出眼动脉处,瘤壁没有动脉壁成分。
4.梭形动脉瘤:在脑动脉粥样硬化的基础上形成,见于较大的动脉主干,管径增粗如梭形,伴有血管扭曲、扩张及粗细不等。
5.夹层动脉瘤:也称壁间动脉瘤,有两类①动脉瘤位于管璧的内弹力层与中层之同;②动脉瘤位于管壁的中层与外膜之间。
(二)颈内动脉瘤形成与外伤的因果关系
复阅被鉴定人2016年11月30日(伤后8天) CT*片A**示左侧颈内动脉后交通端动脉瘤,瘤体向后外侧,大小约6×9mm,瘤颈较窄;于2016年12月2日(伤后10天)行经皮颅内动脉成形术,术中所见亦证实左侧颈内动脉C3段动脉瘤,约6.2×9.0mm,瘤颈4.7mm。根据上述造影检查及术中所见,被鉴定人左侧颈内动脉瘤形成,属于中型囊状动脉瘤,此类动脉瘤的主要病因为管壁的先天薄弱。
闭合性颅脑损伤后,脑动脉过度移动、变形、挤压、剪力等作用损伤可引起外伤性动脉瘤,以假性动脉瘤和夹层动脉瘤为多。从外伤到动脉瘤形成,再发生破裂,需一段时间,国外报道平均21天,国内报道平均28天。
本案被鉴定人受伤当时即出现脑室积血、广泛蛛网膜下腔出血等,伤后系列检查均未提示颅底骨折及假性动脉瘤和夹层动脉瘤征象,结合造影检查及术中所见提示被鉴定人左侧颈内动脉瘤属于中型囊状动脉瘤,分析认为其左侧颈内动脉瘤系原有疾病,与本次外伤无关。
(三)颈内动脉瘤破裂与外伤的因果关系
被鉴定人驾驶二轮燃油车发生交通事故受伤,伤后马上出现神志不清,受伤当时影像片提示脑室积血,广泛蛛网膜下腔出血,中脑左侧份血肿,左侧额叶挫裂伤,提示被鉴定人伤前一般情况良好,可驾驶二轮燃油车,伤后马上出现动脉瘤破裂。故可认为被鉴定人左侧颈内动脉瘤破裂系本次外伤引起。
(四)损伤后果与外伤的因果关系
复阅被鉴定人受伤当时及之后复查CT片示脑室系统、脑池、小脑幕、双侧大脑半球脑沟回表面广泛条带状致密影,中脑左侧团片状致密影,左侧额叶小片状致密影,复查显示脑室、脑池及脑回表面病变较前略吸收,提示脑室积血,广泛蛛网膜下腔出血,中脑左侧份血肿,左侧额叶挫裂伤。其脑室积血、广泛蛛网膜下腔出血、中脑左侧份血肿等影像学征象符合左侧颈内动脉瘤破裂出血后表现,而左侧额叶挫裂伤系本次外伤直接所致,与动脉瘤出血无关。
综上所述,被鉴定人吴某原有左侧颈内动脉瘤,本次交通事故致左侧额叶挫裂伤等颅脑原发性损伤,并且引起左侧颈内动脉瘤破裂致大量蛛网膜下腔出血、脑干出血等,本次交通事故和原有动脉瘤共同导致目前的后果,外伤参与度为45-55%。
【鉴定意见】
被鉴定人吴某原有左侧颈内动脉瘤,本次交通事故致左侧额叶挫裂伤等颅脑原发性损伤,并且引起左侧颈内动脉瘤破裂致大量蛛网膜下腔出血、脑干出血等,本次交通事故和原有动脉瘤共同导致目前的后果,外伤参与度为45-55%。

(图1-2,2016年11月22日CT片,脑室积血,广泛蛛网膜下腔出血,中脑左侧份血肿,左侧额叶挫裂伤)

(图3,2016年11月30日CT*片A**,左侧颈内动脉后交通端动脉瘤,瘤体向后外侧,大小约6×9mm,瘤颈较窄)

(图4,2017年3月14日,双侧额颞部硬膜下积液,脑萎缩,脑内多发腔梗灶)