来源:华夏影像诊断中心 代谢性疾病
一、肺泡蛋白沉积症。是一种以富含蛋白和脂质的类似表面活性物质在肺实质空腔内积累为特征的少见疾病,可能与存在粒细胞-巨噬细胞集落刺激因子抗体有关。通常表现为缓慢进展的劳累性气短,常见咳嗽,通常无痰,伴有低烧者常提示合并感染,大约三分之一患者出现杵状指。
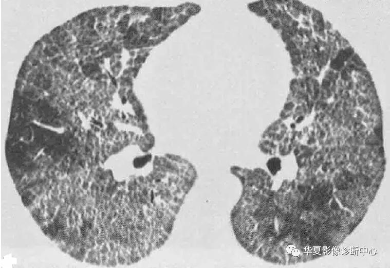
影像学表现:X线特征性表现为爽哦片状实变内隐约可见结节,50%病例实变分布于肺门周围,其余病例随机分布或主要分布于周边或基底部,有时肺实质受累不对称或单侧受累。CT主要典型表现为双侧磨玻璃影(尤其肺背侧部分),几乎均匀累及全非,也可以下肺分布为主,大部分病例可见碎石铺路征,即一个细线形成的直径3-10mm多边形叠加在磨玻璃影上,反应了肺间质水肿的存在或小叶间隔毗邻的空腔内脂蛋白样物质的聚集;正常和异常肺实质边界锐利清楚。


二、淀粉样变。是一组以不溶性纤维蛋白(淀粉)聚集为特征的疾病总称,异常蛋白积存在细胞外间隙且通过压迫邻近细胞和组织引起疾病,淀粉样变可遗传或者后天获得,可以局部或全身,大约50%病例影响呼吸道,淀粉可累及气管、支气管或更常见的肺实质。气管支气管淀粉样变典型发生在50岁以后,表现为呼吸困难、咳嗽及偶尔咯血,少数病例症状类似哮喘;肺实质结节形成通常无临床症状,常为胸片检查时偶然发现,弥漫的肺间质淀粉样变常造成渐进性呼吸困难及呼吸功能不全。
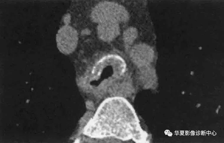
影像学表现:X线大多数患者表现为正常,局限或弥漫性气道增厚伴狭窄很难在X线检查发现;结节样原发肺实质淀粉样变表现为孤立的、直径0.5-1.5mm多发结节,常见于下肺周边部位,进展缓慢;弥漫性肺间质淀粉样变导致王哥庄、结节状或网格结节样改变,主要累及下肺。CT表现包括气道壁局限或弥漫性增厚,管腔狭窄,部分病例可见钙化,支气管受累常并发远端肺不张,支气管扩张或空气潴留;结节样原发肺实质淀粉样变表现为孤立或多发结节,有时可导致巨大团块,CT可见到20-50%的结节有钙化;弥漫性肺间质淀粉样变表现为网格状病变和小叶间隔增厚,多发胸膜下微结节常与网格并存,少部分病例可见磨玻璃或实变,牵拉性支气管扩张等。纵隔和肺门淋巴结肿大多见于L型淀粉全身淀粉样变患者。


三、肺泡微石症。是一种少见疾病,以肺泡内含有多发微小结石为特征,可发生于任何年龄,但多见于20-50岁,该病临床表现常轻微,超过50%的患者无临床症状,最常见症状是劳累性呼吸困难,偶尔咳嗽,能保持稳定多年或缓慢进展。
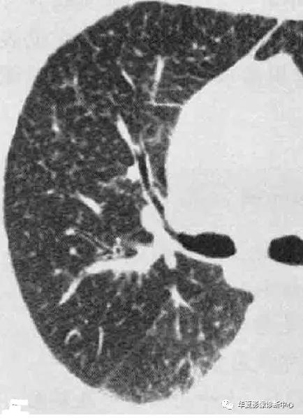
影像学表现:X线典型表现是细沙样微结节(沙尘肺),弥漫结节倾向于肺中下野更严重,有时可见网格状改变或间隔线叠加在典型的沙尘样表现上,其他表现可包括肺尖肺大泡、肺实质和肋骨间的高透亮线(胸膜黑线)、胸膜钙化。CT表现包括直径1mm或小于1mm微小钙化结节,有时融合,主要沿心缘和下肺背侧部分分布,俯卧位扫描肺的背侧持续出现更高密度;其他常见表现包括磨玻璃影、小叶间隔增厚并伴明显广泛的钙化、膈胸膜下间质增厚、间隔旁型肺气肿。


四、转移性肺钙化。典型者发生于高钙血症患者,通常并发于慢性肾衰,其次常并发于骨髓恶性肿瘤,也有报道发生于肝肾移植后、甲旁亢、维生素D增多、钙及维生素D过多摄入。一般无典型临床表现,可出现肺功能异常。
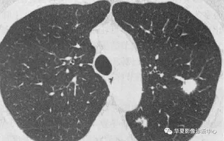
影像学表现:大多数转移性钙化患者X线表现正常,如果异常,表现包括大量直径3-10mm松散的、边界不清的结节灶,类似空腔结节或肺实质病变的斑片状病灶,主要累及上肺,钙化在X线不大明显。CT典型表现为松散的、边界不清的、直径3-10mm结节,位于小叶中心且上叶分布最多,边界可很清楚,结节钙化可是点状、分散的,或偶尔环形,钙化血管典型的可见于胸大肌和胸小肌之间,还可能出现广泛磨玻璃、斑片状实变及肺动脉和左心房壁的钙化。


沉积性疾病
一、戈谢病。是一种常染色体隐性遗传病,特征是葡萄糖脑苷脂酶基因突变导致酶活性减低,造成葡萄糖脑苷脂聚集,主要集中在肝、脾、淋巴结和骨骼的网状内皮组织细胞内,该病的婴儿型主要聚集在脑部,大多数患者是女性,且超过95%为因纽特人,累及肺部且引起症状很少见,主要表现为呼吸衰竭、呼吸急促、发绀、杵状指。
影像学表现:X线表现包括两肺弥漫分布网格结节或粟粒样改变,偶尔可见肋骨溶解。CT表现为小叶间隔增厚、小叶内线样病变和广泛的磨玻璃影,可弥漫分布或主要累及下肺,偶可见肺动脉高压征象、肋骨病变、髓外造血功能及肝脾肿大。
二、尼曼-皮克综合征。是鞘磷脂酶缺乏引起的银川兴疾病,造成鞘磷脂沉积于肝、脾、肺、骨髓和脑,依据发病年龄和受损主要气管分为5种临床分型。可无症状或轻微症状。
影像学表现:X线主要表现为累及下肺的网格或网格结节样改变。CT显示双侧斑片状磨玻璃影,小叶间隔光滑增厚及小叶内光滑线,可单独出现或混杂出现导致碎石铺路征,病变可以弥漫分布,但主要累及下肺,常见肝脾及淋巴结肿大。


三、Hermansky-Pudlak综合征。是一种常染色体隐性遗传病,特征是络氨酸酶阳性的眼皮肤白化病、血小板功能障碍和全身巨噬细胞内蜡样脂质聚集,常见于波多黎各和荷兰居民。患者有渐进性呼吸困难且易感染和易出血。
影像学表现:X线常表现为双侧网格或网格结节样改变,肺门周围纤维化及胸膜增厚。CT多见小叶间隔增厚,磨玻璃影及支气管血管周围增厚,疾病进展后可表现为中到重度广泛网格样改变,牵拉性支气管扩张,蜂窝状改变和支气管血管周围增厚,主要累及胸膜下及下叶肺野。
四、Erdheim-Chester病。特征是富脂质巨噬细胞在多种组织内沉积,尤其在骨骼,造成对称性骨硬化,常见表现是骨痛,通常在下肢,也可有突眼、糖尿病尿崩症等,少数病例累及呼吸系统,表现为呼吸困难和咳嗽。
影像学表现:特征性X线表现是长骨骨干硬化,肺内表现包括双侧网格样病灶,小叶间隔增厚及胸腔积液。CT表现为磨玻璃影,小叶间隔增厚,网格样病灶及小叶中心结节,可弥漫分布,主要累及上肺,也可见胸腔积液、心包积液、心包增厚、胸外软组织肿块。
小结:肺部代谢性及沉积性疾病大部分是少见病,且无特异性影像学表现,因此,特别是出现弥漫性病变的时候,结合临床,详细询问病史及家族史很重要。
【版权声明】本平台属公益学习平台,转载系出于传递更多学习信息之目的,且已标明作者和出处,如不希望被传播的老师可与我们联系删除