医学指导
广州市第一人民医院呼吸与危重症医学科主任、主任医师 赵子文
杨叔装修手艺好,在当地小有名气。两年前有人请杨叔给家里装修,中午休息吃饭的时候,杨叔与工友聊得起劲,笑语连连。谁知不小心呛进了点东西。

杨叔拼命地咳嗽,也不知有没有东西咳出来。去社区医院看,看胸片似乎右肺有个影子,建议做个胸部CT。杨叔也没去理这件事,反正一阵子就好了。

日子一天一天的过去,今年杨叔开始咳嗽多了,还出现右边胸痛。这时候杨叔突然想起来两年前那件事,“那时候呛进去的东西难道还在里面?”

杨叔马上到广州市第一人民医院呼吸与危重症医学科门诊就诊,胸片结果提示两边肺都有炎症,还有胸水,门诊医师建议杨叔住院治疗。
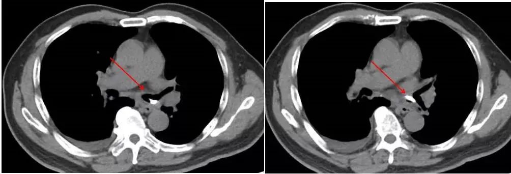
杨叔说:“我知道肺有问题,很可能2年前的鱼骨头在右边,现在开始痛了,可能发炎了”。医生马上给他做了胸部CT。一查除了肺炎、胸水,还有肺栓塞!右边没有发现有异物,反而左边发现闪闪发光的东西。


病情出乎杨叔的想象,不停纳闷着,两年来一直以为异物在右边,现在胸痛也是在右边。赵子文主任医师、张梅春主任医师耐心解释,这次胸痛是肺炎、肺栓塞引起来的,也正因为来医院看病才能发现潜在的风险。而左边支气管的东西,可能真的是两年前误吞的东西。
为了明确杨叔肺的情况,也为了打消杨叔的疑问。在充分评估病情后,选择做了纤维支气管镜。气管镜一开始看到左支气管的异物以为是个金属,好像螺丝钉、假牙之类的,旁边因为异物长期刺激还长出了肉芽。

谭锦文主任医师解释,“再晚点肉芽会把左边支气管完全堵塞,导致肺不张,肺通气不足,严重可引起呼吸衰竭、反复感染”。经过谭锦文主任的娴熟操作,异物很快被安全地钳取出来。

-谭锦文主任医师为患者取异物-

-异物取出中-

-异物取出后看到增生的肉芽肿-
杨叔左边支气管的异物到底是什么呢?因为时间久的问题,已没办法具体分辨,但杨叔确实给我们上了生动的一课。
中国自古以来有好客的习惯,逢年过节、好友自远方来,都会热情招待一番,饭桌嘘寒问暖少不了,误吞异物并不少见。常见的有误吞鱼骨、鸡骨、硬币等。

对付鱼骨之类的异物,传统处理的不外乎二招:大口大口吞米饭或者蔬菜;大口大口的喝醋。

误区一:我们食用的醋的有效成分是醋酸,浓度一般大概在5~8%之间,要软化骨头需要漫长的时间和持久的浸泡。
误区二:大口吞饭,如果是小而细软的骨头,可能会被饭团带到胃里面。
但有一些鱼刺、鸡骨头等在被饭团带着下行的过程,可能因为被挤压而扎得更深,损失咽喉粘膜引起局部感染,甚至会造成食道穿孔,严重地可以引起纵膈感染。如果尖锐的异物扎入主动脉,随时可能引起大出血,危及生命。

遇到误吞鱼骨等异物的时候,先放松情绪,轻轻咳一下,看能不能把浅部的异物给咳出来。如果发现异物还是没有掉,就要尽快到医院,通过内镜把异物取出来。这是最快速有效而安全的方法。

误吞异物大多是在吃饭嬉闹、大笑、看电视、聊天等注意力不集中的时候发生的。
“食不语,寝不言”,养成良好的饮食习惯,吃饭尽量少说话。

编辑:蔡嘉鸿