#健康科普大赛# #生命摆渡人# #磨玻璃结节#
我一直在科普和贴吧中反复地说,医生抓大放小要谨慎,特别是混磨,应该尽量一网打尽。否则出现遗漏或是判断失误,就可能需要二次手术。
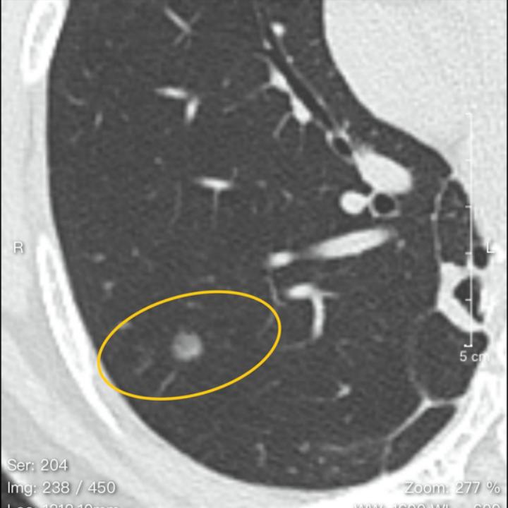
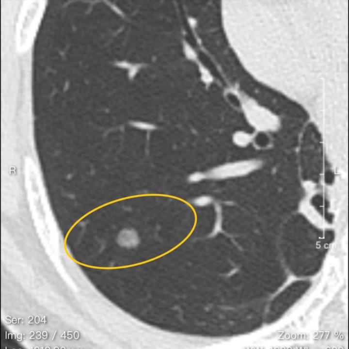
今天的这位结友,2020年初发现右肺的磨玻璃结节和“实性结节”(这里实性结节我打了引号,因为当时医生出现了判断失误,把混磨看成了实性结节)。2021年4月手术切除了磨玻璃结节,但在后期的复查,留下的“实性结节”始终无法精准诊断。到了今年,结节长大,当地医院忽然又建议手术。这可吓坏了这位结友,好好地咋忽然又要手术了?
于是来贴吧找我,希望我给个精准诊断。从片子上看来,这个混磨已经发展成微浸润腺癌或浸润性腺癌的状态,还可能需要手术。
以下转自结友的网络咨询:
2022-05-04
女,51岁,工作环境良好。2020年元月体检发现右肺1.2cm磨结和5mm实性结节,2021年4月切除大磨,1A1期。5mm实性小结节随访,其间有消炎和服中药2年,多次复查改报磨结,今年4月复查CT提示长大了,门诊意见可随诊可切除,令人不知所措,心忧不已。
只有祈求戴主任慧眼拨开迷雾,赐予身安心安
最近报告单



我的回复:
这哪是实性结节?接近实性结节而已,典型的混磨,第一次次手术大小兼顾,带掉就好了。
至少微浸润腺癌,楔形切除小手术还可以根治。