半月板斜坡损伤是指内侧半月板后角的纵向垂直和/或斜向周边撕裂,可能导致半月板关节囊或半月板胫骨韧带断裂,常伴有前交叉韧带(ACL)撕裂。这种损伤对膝关节的生物力学有重要影响,发生率比想象的高,但常被漏诊和延误治疗,因为标准的膝关节镜检查难以全面评估内侧半月板的后角和附着部位。本文旨在用图解的方式介绍半月板斜坡损伤的最新文献发现,包括其解剖、生物力学和诊断要点。
半月板斜坡损伤是一种常见的前交叉韧带(ACL)撕裂并发症,与多种危险因素相关,如内侧胫骨平台后部的骨挫伤、ACL慢性损伤、膝关节内翻等。
半月板后部解剖
内侧半月板的后关节囊连接处由上方的半月板关节囊韧带和下方的半月板胫骨韧带组成,如图1所示。它们与内侧半月板的后角一起稳定膝关节,防止胫骨前侧平移和后内侧旋转。

后内侧半月板解剖及其相应结构。(a)是膝关节内侧腔的开放视图,( b)是后内侧关节囊-半月板单元的放大视图,而(c)是矢状位PD加权脂肪抑制的相应MRI表现:半月板关节囊韧带(meniscocapsular ligament细箭头)、半月板胫骨韧带( meniscotibial ligament弯曲箭头)和后关节囊附着( posterior capsular attachment星号)
斜坡损伤发生在内侧半月板的外围区域(红区),在此处半月板关节囊和半月板胫骨韧带附着于后角。
在创伤性急性前交叉韧带损伤或慢性前交叉韧带缺失的膝关节胫骨平移增加时,会出现斜坡损伤。
影像诊断
在膝关节的常规 MRI 成像中可以检测到斜坡损伤,尽管针对韧带和半月板损伤的专用屈膝位和/或 3D 序列显示是有帮助的。
核磁共振特征
1.少量的液体信号完全介于内侧半月板后角和后内侧关节囊之间。
2.内侧半月板后角周边区域的纵向垂直和/或倾斜撕裂。
3.涉及内侧半月板后缘的不规则、具有局灶性不连续或阶梯状畸形,并涉及关节囊附件。
4.半月板和副韧带之间的软组织水肿。
5.胫骨后内侧骨挫伤,以及与股骨髁相关的内侧平台前移。
6.并发 ACL 损伤的迹象。
半月板斜坡损伤分类

1型斜坡损伤图示,定义为半月板关节囊韧带撕裂

1型半月板斜坡损伤磁共振成像病例。矢状面(a)和轴向T2加权脂肪抑制图像显示半月板关节囊撕裂(箭头)伴胫骨挫伤,半月板关节囊连接处水肿(箭头)

2型半月板斜坡损伤插图,定义为部分上外周半月板后角撕裂

2型半月板斜坡损伤磁共振成像病例。矢状位T2加权脂肪抑制磁共振图像显示累及股骨关节面的内侧半月板后角撕裂(箭头),以及半月板关节囊韧带撕裂

3A型半月板损伤示意图,定义为部分下周边半月板后角撕裂

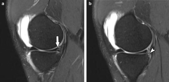
3A型半月板斜坡损伤MRI病例。矢状T2加权脂肪抑制图像显示半月板外周垂直部分撕裂(箭头a)延伸至内侧半月板后角的胫骨表面,半月板胫骨韧带完整(箭头b)

3B型半月板损伤插图,定义为影响半月板胫骨韧带的部分下撕裂

3B型半月板斜坡损伤磁共振成像病例。矢状面(a)和轴面(b) T2加权脂肪抑制图像显示累及内侧半月板后角胫骨表面的周边部分垂直撕裂(箭头),以及半月板胫骨韧带撕裂(弯曲箭头)和骨挫伤;垂直撕裂的延伸见(b)(箭头)

4A型半月板损伤插图,定义为半月板后角外周完全撕裂

4A型半月板斜坡损伤磁共振成像病例。矢状面(a)和轴面(b) T2加权脂肪抑制MR图像显示IV型斜坡损伤,撕裂从股骨延伸至胫骨关节面(箭头);撕裂延伸见(b)(箭头)

4B型半月板斜坡损伤图示,定义为半月板关节囊连接处完全撕裂

4B型半月板斜坡损伤MRI病例。矢状面(a) T2加权脂肪抑制磁共振图像显示IV型斜坡损伤,内侧半月板后角半月板关节囊完全破裂。轴位(b)图像显示广泛半月板关节囊破裂

5型半月板斜坡损伤插图,定义为半月板后角外周双撕裂

5型半月板斜坡损伤磁共振成像病例。矢状面PD加权脂肪抑制MR图像(a,左)显示了一个术后前交叉韧带移植物撕裂(箭头),矢状面T2加权脂肪抑制(b,右)显示了一个通过内侧半月板后角的双垂直外周撕裂(细箭头)。

(a)矢状脂肪抑制MR图像显示4型急性斜坡损伤(箭头),以及(b)手术4个月后的术后外观(箭头

矢状T2加权脂肪抑制磁共振图像(a)显示一个拉链状损伤,在Wrisberg韧带(弯曲箭头)和外侧半月板后角之间有一个裂口。轴向T2加权脂肪抑制磁共振图像(b)显示损伤的横断面视图(箭头)

矢状面T2加权脂肪抑制磁共振图像(a)显示双三角征(细箭头),典型的半月板撕裂。轴位图像(b)显示外侧半月板后角的前脱位(细箭头)

矢状面(a)、冠状面(b)和轴面(c) T2加权脂肪抑制磁共振图像显示后内侧半月板根部附着处有“ghost sign”(细箭头)。(b)和(c)清楚地显示了后内侧半月板根部的全层撕裂