
新冠病毒还未完全消散,早晚温差较大,容易受凉感冒。骨科门诊多了些带着小孩来看病的爸爸妈妈们,大多因为小孩出现了“脖子疼痛、歪斜”前来就诊,询问病史,患儿一个礼拜前有过感冒、发烧或咳嗽,近日早上起床后突然脖子疼,而且脖子偏向一侧,一扭脖子就疼得厉害,这可把这些家长们急坏了。

经过医院的检查,诊断为:寰枢关节半脱位,收住入院后经过牵引配合药物等对症治疗,脖子疼痛和歪斜逐步好转。
很多家长们很纳闷,难道小孩一感冒,脖子就脱位了?
今天小编就向大家详细说说儿童寰枢关节半脱位是怎么回事?
什么是寰枢关节?
人体的颈椎总共有7节,寰枢椎分别是颈椎的第一节和第二节,寰椎呈环状,上方与枕骨相连,下方与枢椎椎体上一个柱状的突起(齿状突)相关节,形成寰枢关节,有利于寰椎围绕枢椎的齿状突做较大幅度的旋转动作,有研究显示,颈椎可以向左右旋转各80度,其中70%来自于寰枢椎关节。

另外,还有两个非常重要韧带,分别是齿状突后方的横韧带和齿状突两侧的翼状韧带,它们共同维持和限制颈椎的旋转动作。

为什么儿童的寰枢关节容易脱位?
一般来说,儿童的头部在身体中所占比例较成人更大,颈部肌肉比较薄弱,颈椎稳定性较成人差,且寰枢关节周围韧带、关节囊等发育不成熟,很容易造成寰枢关节的脱位。

有人很天真的认为,只要限制了寰枢关节的活动,比如不摇头晃脑,或者没有外力的作用,寰枢关节半脱位就不会找上门来。我只能说:too young,too simple。
其实,造成寰枢关节半脱位的最主要的一个原因是上呼吸道感染。
人体咽部与颈椎上段淋巴回流相通,当发生上呼吸道感染时,可继发颈部软组织及关节突关节的感染,造成颈部肌肉挛缩,关节突关节松弛,横韧带附着处松脱,加上猛然低头或扭头,很容易导致寰枢椎半脱位。
再加上儿童扁桃体及颈深淋巴结环绕寰枢椎周围,发生上呼吸道感染机率较成人更多。

当然,外力也是不可忽视的因素之一。
例如,有些小孩在睡高枕时,头部过度屈曲,此时齿突将对后方的横韧带形成一种“切割”外力,造成韧带损伤。时间长了,横韧带损伤松弛,容易使寰枢椎关节脱位出来。

有些孩子在户外玩耍时,尝试翻跟斗等一些危险动作,一不小心,脆弱的颈椎遭突然性压力,极易脱位,本来稳定性就比较差的寰枢椎关节,在外力作用下,也可能脱位。
也有些小孩经常头偏向一侧趴着睡觉,此时颈两侧肌肉和韧带用力不均匀,也容易导致寰枢关节半脱位。

怎么判断有没有脱位?
当小孩向你抱怨后脑勺及颈后部位有疼痛,尤其头部转动时疼痛加重,颈部活动受限,而且头部倾向一侧,严重的情况下,由于寰枢椎体旁的椎动脉受牵拉引起供血不足,小孩会感觉头晕或视物模糊,如果一旦颈脊髓受到压迫,小孩会出现肢体麻木、四肢无力、手指精细动作障碍、走路不稳等表现。

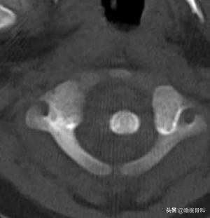
影像检查方面,我们多依靠颈椎X线侧位片、颈椎X线张口位片及CT检查明确。
如果颈椎侧位片显示齿状突与寰椎前结节之间距离>5mm,或张口位片显示枢椎与寰椎侧块间距离不对称,寰齿间距>3mm,寰底线中点垂线偏离齿状突平行线>1mm,即可诊断为寰枢关节半脱位。当然颈椎CT更能直观显示。

最近有研究显示,若单纯依靠影像学检查结果诊断寰枢关节半脱位缺乏一定依据,因为寰齿侧间隙个体差异是非常大的,正常人齿状突与侧块间隙两侧完全相等的仅占44%,不相等的占56%,但还有待进一步考证。

如果脱位了怎么办?
如果小孩出现了以上寰枢关节半脱位的表现,应立即前往医院检查确诊。
大多数寰枢关节半脱位一般不需要手术治疗,轻者休息后即可自愈,重者可采用枕颌带牵引2周左右,以缓解寰枢关节囊、韧带的紧张状态,使半脱位的关节逐渐复位,若枕颌带复位满意,之后可用颈托固定4周左右,使关节保持稳定直至痊愈。对于由上呼吸道感染引起的寰枢关节半脱位,应积极抗感染治疗。

在平时日常生活中,为预防寰枢关节半脱位,我们应告诉小朋友避免一些容易被忽视的颈部外伤,如坐长途汽车时不正确的睡姿、睡觉长期使用不适合的枕头、玩耍时前后翻滚时造成颈椎突然的伸屈、趴在课桌上睡觉造成颈椎两侧肌肉力量的不均衡或过度使用电子产品引起的姿势不当等。

另外,如果小孩发生感冒,在患病期间千万不要做剧烈的游戏活动,避免头部剧烈摇晃、睡高枕等动作!
所以,如果家长们一旦发现孩子颈部活动受限或抬头无力,或吵闹着诉说脖子疼,还是赶紧来医院就诊,拍个片子排除寰枢关节半脱位。
唯医骨科,每天更新骨科科普知识,让您看到既贴心实用又放心靠谱儿的小知识。
如果您或家人朋友有骨科相关困扰,请把“唯医骨科”推荐给他们,送上一份健康礼物!