如果你牙齿松动、咀嚼无力,正准备去拔牙,那你一定要看看!
今天分享一位网友妈妈真实的看牙经历,老人满口松牙不敢拔,不想种植牙、不愿戴挂钩牙,看她如何修复牙齿?
网友真实案例
下班回家老妈不在家,约了小姨出去吃饭了,让我自己安排晚饭,真是又无奈又替她开心,戴了十几年的挂钩牙,一口牙又松又掉,上个月终于弄好了,这是要把十几年没吃的美食都找补回来啊。今天我想把我妈修复牙齿的经历分享出来,给家里有同样情况的老人做个参考,希望大家少走些冤枉路。
我妈今年79岁,十几年前牙齿就开始松动,刚开始不严重,微微晃动,就是一咬就痛,没太重视,忍着忍着就松动的厉害了,去医院就给拔了4颗牙。那时候医疗条件差,牙松了就是拔,然后就装了挂钩假牙。

挂钩假牙一戴就是十几年,期间换了5、6副假牙,慢慢的把旁边的牙都给挂松了,陆陆续续又掉了几颗槽牙,还有牙周炎和龋齿,有些牙烂了只剩下牙根,一口牙就没剩下几颗好牙了。
这两年她老说假牙挂的牙床子疼,吃不了饭,顿顿稀饭面汤,吃菜基本都不怎么嚼,整个吞下去,什么菜都要煮烂蒸熟了吃,没营养人也消瘦的很。
前年我们去过一家挺大的医院口腔科看过,大医院科室分得细,我妈这一口牙看下来要跑2个科室,楼上楼下跑太折腾,最后还是要把嘴里剩的牙全拔了全口种植,拔完牙中间还要等半年,老太太不同意,宁愿继续戴挂钩假牙。
需要说明一下,我妈有高血压,一直吃药控制,几年前还做过心脏支架,所以她对做手术很排斥,总说做手术的时候喘不过气,特别害怕,一次拔这么多牙我们也担心她身体受不了。

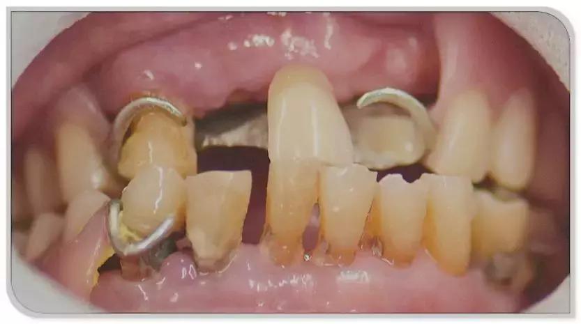
这就我妈治疗前口内的情况,很糟糕
今年过年,我爸的战友董叔叔来我家做客,聊到他刚看完牙,跟我妈情况差不多,也是戴了十几年活动假牙,但是他的松牙和残牙根都没拔,医生给他做了修复和固定,缺牙也没做种植,镶的无挂钩假牙,现在吃饭都没问题了,说戴着比挂钩假牙舒服多了,董叔叔建议我们也带我妈去看看,还把给他看牙的医生的介绍给了我们。
联系上医生后,我把我妈的牙齿照片发给医生看了看,把我妈的牙齿情况跟他说了一下,包括这几年治疗的经历,他很认真的听完我说的情况后,给我们讲解了老年人牙齿特点和修复误区,并给我们介绍了能够保住松牙、不用拔牙的修复技术。
他说中老年人牙齿松牙多、有残根、缺失多,很多还伴有慢性疾病,拔牙有一定风险,修复难度比较大,一般传统的拔牙种牙的修复方式并不适合。现在有针对中老年人专门设计的修复技术,它能帮助老人保住松牙、烂牙根,不用拔牙直接做修复和固定,达到恢复咀嚼的效果,让老人少受罪。
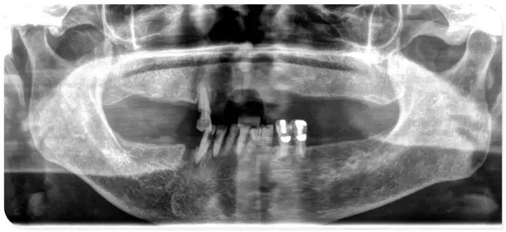
说实话,我妈的牙齿情况太差了,我们也没抱太大希望,医生建议我妈先去做个牙齿全景X光检查,经过拍片检查,医生当时诊断我妈口内的5颗松牙不用拔,可以重新做固定,牙根也是健康的能保留,可以直接在自己的牙根上镶牙,既稳固吃饭也更香,缺牙的部分采用无挂钩附着体技术修复。这样既缩短了治疗时间,又节省了费用。
这真是让我们惊喜万分,完全符合我妈的要求:不拔牙、不种牙、不戴挂钩牙,医生介绍完修复方案,我妈立刻就同意了,我们都觉得不用拔牙太好了。

这是我妈当时拍片的情况,牙都歪七八扭的
检查当天,我们在门诊遇到来看牙的基本都是老人,后来这知道他们是专门治中老年口腔的,大家都是冲着这个固定松牙的技术来的,有2个是做完修复来复查的,我问了一下都比较满意,基本吃饭没问题了。有一个阿姨做完5年了,现在还好好的,之前固定的松牙一颗都没掉,这次来就是检查调试一下。
确定了治疗方案,预约一周后治疗,之后我们一共去了两次,前后花了半个月时间,经过根管治疗、松牙固定、附着体镶复一系列治疗,我妈的松牙和烂牙根一颗没拔都保住了,缺牙做了无挂钩镶复,治疗过程也很快,我在外面一张报纸还没看完就好了,我妈说治疗时医生一直在跟她说话分散注意力,一点没感觉到疼,出来后为了验证效果,还当场咬了一口苹果,真的跟真牙一样,可把我妈给高兴坏了,一直拿镜子看自己的牙。

这是我妈治疗后的牙齿,她很满意
治疗结束以后,医生给我妈发了一张“10年使用承诺卡”,让我们定期来复查,还耐心地给我们讲解了在家怎么护理牙齿,平时如何保养牙齿等等。现在老太太什么都能吃了,前天还带她去吃了羊蝎子,好多年没吃了,牙好胃口好,人也感觉胖了一圈,看上去精神多了,一口牙比我们年轻人还漂亮,很多人夸我妈这个年纪牙还保养的这么好。
你们有跟我妈情况差不多的,可以先去关注一下医生朋友圈,里面有很多关于老人牙齿护理问题和修复方面的知识,如:老年人牙齿为什么会松动?松动牙怎么修复?松动牙最佳固定时间?老年人镶牙好还是种牙好?种牙疼不疼?种植牙的步骤和流程视频……我就不再这里一一说明了,想学些这方面的知识,可以直接加医生朋友圈,如果想有让医生帮忙治疗牙齿的朋友,可以加他微信进行详细的咨询了解!反正问问也是不要钱的,哈哈,好歹也是专家级别的,比你在百度自己搜索瞎捉摸强多了。
现在有牙齿松动的老人,不要急着去拔牙,先去做个检查看看能不能保住,假牙肯定没有自己的牙好使,最后祝愿每一位老人牙口好、福到老。