临床上,我们见到的大多数腹部巨大包块患者,往往是延误治疗导致的,而今天要跟大家分享的一个病例,腹腔、盆腔有多个包块,且迅速增长……到底是什么病?
腹部、盆腔有多个包块!
新住院的这位中年妇女精神抖擞,气宇轩昂,一点儿都不像个病人。她住院的原因是由于自己摸到腹部有两个包块,虽然没有任何不适,但包块在迅速增长。
在家人的催促下,她来到医院看病,没想到腹部超声的结果一出来,医生就把她收住院了,因为超声检查发现她的腹腔内有多个巨大包块。
入院后医生给她做了全面的检查,发现不仅腹腔内有多个巨大包块,盆腔内也有多个包块,但血液的常规和生化检查无明显异常,肿瘤系列提示CA125升高。

图1患者的肿瘤系列结果
结合多项检查结果,迷底最终揭开
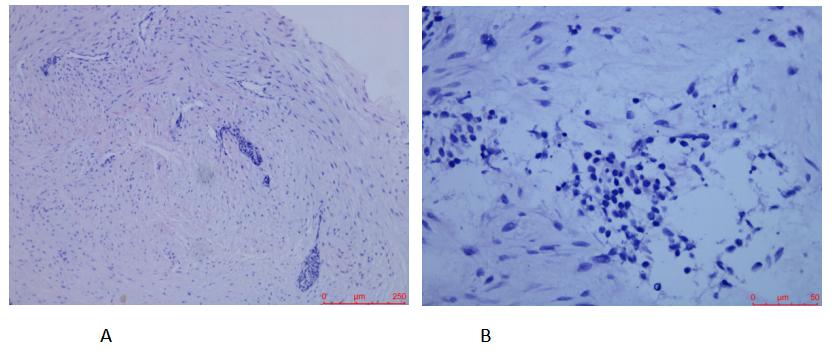
为了搞清楚诊断,患者在超声引导下进行了腹部包块穿刺活检术。病理检查发现了一些异常的小圆形肿瘤细胞,免疫组织化学染色证实为促结缔组织增生性小圆细胞瘤。
促结 缔组织增生性小圆细胞瘤(desmoplastic small round cell tumor,DSRCT)是一种罕见的、具有高度侵袭性的恶性软组织肿瘤。本病好发于青少年,偶见40岁以上病例,85%的患者为男性 ,发病率大概是百万分之0.2-0.5。
我们的患者是一位中年女性,在DSRCT中并不多见。
DSRCT预后差,中位生存时间17-25个月,3年生存率约为44%,5年生存率约为15%-25%。
促结缔组织增生性小圆细胞肿瘤组织来源不明,目前多认为肿瘤起源于间皮组织。DSRCT在细胞遗传学上有独特的染色体异常,多有t(11;22)(p13;q12)染色体异位,此种易位导致22q12上的EWS基因和11p13中Wilms肿瘤基因WT1的融合,与DSRCT的早期上皮性分化有关。
DSRCT好发于腹腔及盆腔,其他罕见部位包括*丸睾**旁、胸膜、后颅窝、骨和软组织、卵巢、腮腺、肺、鼻腔等。DSRCT无特异性临床表现,超过50%的患者会出现腹腔或盆腔的巨大包块,这是由于肿瘤在盆腔和腹腔种植所致。
患者常常表现为腹痛,腹胀,或自己摸到腹部肿块,也可出现肿瘤压迫所致的黄疸、肾盂积水和便秘等表现。我们的患者就是由于发现自己腹部出现包块来就诊的。
DSRCT容易出现远处转移,肝肺转移最常见,也可以出现纵膈,胸膜和骨转移。


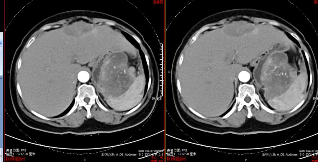
图2患者的腹腔及盆腔强化CT结果
DSRCT典型的组织细胞学特点是由圆形及卵圆形细胞排列成实性巢团状,巢团周围是由富于细胞的纤维结缔组织围绕,通常可以看到坏死,囊性变性及腺样结构,偶有印戒样细胞存在。肿瘤细胞周围有大量基质反应和新生血管形成,包绕肿瘤细胞。
免疫组织化学特征为肿瘤细胞对间充质、上皮和神经细胞标志物为阳性,这与其他小圆形细胞恶性肿瘤不同。 细胞角蛋白(cytokeratin,CK)和上皮细胞膜抗原(epithelial membrane antigen,EMA)呈局灶性或弥漫性表达,结蛋白(desmin)呈点状或胞质阳性表达,特异性烯醇化酶(neuron-specific enolase,NSE)、突触素(synaptophysin)和嗜铬粒蛋白(chromogranin)呈局灶性或胞质弥漫性表达。
DSRCT目前仍没有统一的分期系统,目前常用的是美国MD安德森癌症中心的分期系统,这种分期系统将肿瘤分为4期:
-
1期的患者病变局限,仅在腹腔或其它部位有一到两处病灶。
-
2期是指有广泛性的腹膜疾病,肿块的数量不限。
-
3期既有腹膜疾病,又有肝脏转移。
-
4期不仅有腹膜疾病和肝脏转移,还有腹腔外的病灶,包括淋巴结的转移。
我们的患者除了腹腔多发病灶外,已有肝脏转移,但无远处淋巴结转移,应该属于3期。
图3患者的穿刺活检病理结果A.X100 B.X400
确定病情,采取化疗治疗
DSRCT发现时多数已属于晚期,且此肿瘤对化疗敏感,所以对大多数患者来说,化疗是首选方案。化疗方案推荐使用针对尤文氏肉瘤的方案,以长春新碱、阿霉素、环磷酰胺为主,辅以异环磷酰胺和依托泊苷,每2-3周进行一次,共进行6个周期。若6个周期后肿瘤减小20%以上,评定为化疗有效,则总共要进行8-12个周期化疗,再尝试手术治疗。但对于老年人,此化疗方案耐受性较差。
放疗最常用于缓解局部症状,少数病例报告显示部分肿瘤对放疗反应较好。 近期多项研究显示全腹部的放疗并不能改善整体生存率,但对于延缓肝外腹腔内肿瘤的复发有效,并且可以改善少数病人的生存质量。
手术切除是局限性病灶的根治性治疗手段,但由于DSRCT的高侵袭性,大部分患者发现时已经属于晚期,无法进行根治性手术,大部分仅能实施减瘤手术。
最大限度的减瘤手术可明显改善无腹膜外转移患者的预后。对于营养状况相对较好且腹水持续存在或腹膜外转移而无广泛腹腔种植的患者,可考虑持续腹膜热灌注化疗后再进行广泛切除手术。
由于DSRCT病理特点发现大量基质反应和新生血管形成,包绕肿瘤细胞,可能与EWS—WT1融合基因诱导血小板衍生生长因子表达、促进纤维母细胞和内皮细胞的有丝分裂有关。阻断血小板衍生生长因子受体A的络氨酸激酶*制剂抑**如舒尼替尼和帕唑替尼等已经尝试用于DSRCT的治疗,并取得了一定的效果。
研究发现96%的DSRCT的肿瘤细胞表面表达免疫调节分子B7H3,而在正常组织中这种分子几乎不表达,针对B7H3鼠单克隆抗体8H9已经用于I期临床试验。
我们的患者正在进行化疗,希望她能够在化疗后取得手术切除的机会。
医师总结:
促结缔组织增生性小圆细胞瘤是一种罕见的、具有高度侵袭性的恶性软组织肿瘤。 本病好发于青少年,预后较差。 DSRCT多发生在腹腔及盆腔,无特异性临床表现,超过50%的患者会出现腹腔或盆腔的巨大包块。 DSRCT发现时多数已属晚期,且此肿瘤对化疗敏感,所以对大多数患者来说,化疗是首选方案。 手术切除是局限性病灶的根治性治疗手段,最大限度的减瘤手术可明显改善无腹膜外转移患者的预后。
参考文献:
[1]]Martínez-Trufero J,Cruz Jurado J,Hernández-León CN,et al.Uncommon and peculiar soft tissue sarcomas:Multidisciplinary review and practical recommendations.Spanish Group for Sarcoma research(GEIS-GROUP).Part II.Cancer Treat Rev.2021;99:102260.
[2]Chicago Consensus Working Group.The Chicago Consensus on Peritoneal Surface Malignancies:Management of Desmoplastic Small Round Cell Tumor,Breast,and Gastrointestinal Stromal Tumors.Ann Surg Oncol.2020;27(6):1793-1797.
[3]朱容萱,王坚,朱莉菲,王红霞.促结缔组织增生性小圆细胞肿瘤的临床特征及预后因素分析[J].上海交通大学学报(医学版),2018,38(3):281-287.
[4]Hayes-Jordan A,LaQuaglia MP,Modak S.Management of desmoplastic small round cell tumor.Semin Pediatr Surg.2016;25(5):299-304.
[5]王玲玲,姬忠贺,高颖,昌红,周全,孙萍萍,张颖,李雁.促结缔组织增生性小圆细胞肿瘤的临床病理特征分析[J].中国肿瘤临床,2020,47(2):72-76.
[6]陈火光,王鸿彪,林英城.促结缔组织增生性小圆细胞瘤诊疗进展[J].国际肿瘤学杂志,2018,45(6):379-382.
[7]张俊,郑建明,潘心宇.促结缔组织增生性小圆细胞肿瘤的临床病理分析[J].临床医药文献电子杂志,2018,5(1):113-114.
本文首发:医学界消化肝病频道
【版权声明】本平台属公益学习平台,转载系出于传递更多学习信息之目的,且已标明作者和出处,如不希望被传播的老师可与我们联系删除