因为拇外翻主要来自遗传,有一部分青少年在9岁 10岁的时候,可能就开始呈现出来踇外翻,那对于儿童拇外翻该怎么办呢,矫正拇外翻,恢复前足正常解剖结构和生理功能。大家好,我是专门做大脚骨拇外翻手术的李医生,欢迎来到我的频道,继续跟大家分享我的大脚骨手术案例,和拇外翻科普相关知识。

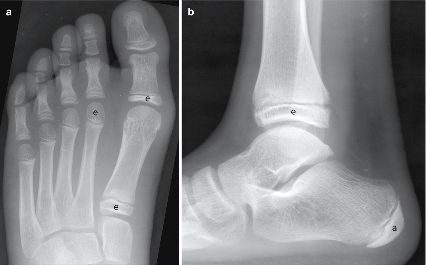
这是一个拇外翻家长给我发过来孩子脚的情况,他们家孩子12岁,非常典型的拇外翻,她就问我孩子现在12岁,这种情况可不可以做拇外翻手术。如果说你的孩子也有踇外翻,现在该做哪些事情我们权且不讲,有这么严重的,十一二岁有这么严重的还是非常少见。我在临床十多年,见到孩子,十一二岁孩子如此严重的不太多,这是个例。

一般来讲呢,如果家族有拇外翻遗传基因,有部分孩子可能在八九岁的时候,就开始呈现出来有拇外翻,这个时候咱们也不用着急,注意以下几点
第一:平时给孩子穿鞋的时候,尽量穿宽松一点的鞋子,不要去穿那种太紧致的鞋,有一些家长认为,孩子脚这个地方凸起大吗,我给他穿个更紧一点的鞋子,不就把他压回去了吗,其实这个时候挤压更明显,可能把拇指挤压的向外侧偏斜更严重,导致拇外翻可能化发展会更快一些,这是第一点,尽量穿宽松的鞋子;#拇外翻怎么治#
第二点:由于拇外翻在前足,受力还是比较多,第一跖趾关节在前足受力比较多,所以对于前足需要用力运动比较多的,这样一些锻炼,舞蹈 我建议还是不要做太多,如果你的孩子不是想着,以后朝某些专业的艺术 运动等发展,可以考虑减少这一类的锻炼。比方说跳芭蕾 国标,比方说长跑等,需要前足剧烈运动剧烈长期锻炼的,尽量少一些,这样有可能延缓拇外翻的发展,反之就可能会加速其发展;
第三:如果孩子有出现跖趾关节脱位,拇外翻很典型比较严重的,也可以考虑手术。除此以外,我们一般建议孩子等到考上大学,在读大学的时候再来做手术。

原因有以下:小学时候初中时候骨骺端还没有闭合。这个时候做手术,如果一不小心损伤了第一跖骨的骨骺端,就可能导致第一跖骨后续发育不良,后面第一跖骨长度不够,对前足力学会造成影响,第二小学也罢,初中高中更加学业比较繁忙,而且需要经常锻炼,体育课体育考试等,如果做了拇外翻手术,短期内可能对这些运动锻炼会有影响。
另外,手术有恢复期,对学业可能也会有一定的影响,等到大学时候,学业没有那么繁忙了,骨骺端也已经闭合,骨头都长定型了,这个时候再来做手术会是更好的选择。
好了,关于小孩子有拇外翻怎么办,我就跟大家分享到这里,觉得我的内容有用啊,请帮我长按点赞,新朋友请加个关注,谢谢!更多大脚骨拇外翻相关的疑问,请在下方评论留言,或者给我发私信,我们下一期再见。