很多时候,常常会把冠心病误为胃病,可有时候却是相反。
说个病例。
多年前,我们急诊来了一位老年患者,每次吃了饭后就胸闷憋气,中午饭后最明显,做心电图有点儿似是而非的改变,不由得让人怀疑冠心病。

因为吃饭、尤其饱餐后会使心脏的负荷增加,胃肠道需要的血流增加了。
而冠心病的人,在心脏负荷增加时,会因为需血量的增加和供血量的不足而发生心肌缺血,出现心绞痛或者心电图的心肌缺血改变。也正是因为这个道理,在早期的心脏负荷试验中,有一种 “饱餐试验”,就是让病人通过饱餐增加心脏负荷来检查有没有冠心病的。
那这位吃饱饭就胸闷憋气的老人会不会是冠心病呢?

患者住进了急诊观察室。
果然,饭后又胸闷憋气了!
急查心电图。没有缺血改变,没有动态变化,不支持是缺血发作。
可病人觉得胸闷憋气难耐。
怎么办?连续几天都是这样,那时候也没有更多的检查,还没有冠脉造影。
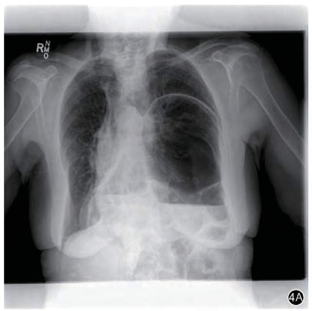
在一天发作时,让患者去拍了张胸片。
没想到,这张餐后的胸片一拍,还就把诊断给明确了。
胸片上看到,患者左侧胸腔里,出现了一大包空气和水的影像,医学上的话是可见“气液平(液气平)”。

引自 陈双, 周太成, 马宁. 食管裂孔疝的病理生理 [J/CD]. 中华胃食管反流病电子杂志, 2019, 6(2): 49-54.
原来,是胃泡“跑到”胸腔去了!
胃泡,胃,原本是在腹腔里的,为什么会跑到胸腔里呢?
因为这位患者的病,是“食管裂孔疝”。胃通过食管穿过膈肌的“裂孔”“疝”到胸腔里了。
我们的食管从胸腔到腹腔是要穿过膈肌的,就是俗话说的“横膈膜”。穿过膈肌的部位有个孔,孔大了、或者这部分肌肉薄弱了、腹腔里的压力增高了,胃、甚至肠管就可以通过这个孔跑到胸腔去,就是“疝”,食管裂孔疝。
吃饱了饭,腹腔内的压力就高了,胃被挤到胸腔里,占到了肺的位置,挤到了肺部,呼吸就受影响了,患者当然就要胸闷憋气了。
因为患者的“疝”是餐后发生的,所以早先没吃饭时拍的胸片可以是正常的。

引自 陈双, 周太成, 马宁. 食管裂孔疝的病理生理 [J/CD]. 中华胃食管反流病电子杂志, 2019, 6(2): 49-54.
食管裂孔疝是一种常见的消化道疾病。根据不同的统计,在因为消化道不适而就诊的患者占到5%~20%。食管裂孔疝还常常伴有“胃食管反流”,就是胃里的东西反到食管里,甚至上到嗓子、嘴里,还会误吸到气管里,就会引起咽部的不适、咳嗽、甚至哮喘。
所以,当发生“食管裂孔疝”时,跑到胸腔去的“疝”就会压迫心、肺、膈, 就可以出现胸痛、心悸、胸闷、咽部不适、咳嗽、气喘等表现,病人会以为是其他疾病,也容易出现误诊。
而无论是中青年还是老年人,最常见的就是误诊为冠心病,就像这位患者。

其实,食管裂孔疝还是有些消化道症状可以提示的,比如上腹饱胀、上腹痛、消化不良、反酸、烧心感、嗳气、甚至恶心等,还有人有食管异物感、慢性咳嗽、咽喉炎等。
像这位老人,发病单是和吃饭有关,和其他活动没什么关系,也是可以提示的。
现在检查食管裂孔疝的方法也很多,胃镜、X线、上消化道的钡餐造影、螺旋CT等,但也是要医生先想到才行。
胸痛当中,食管疾病是需要鉴别的一种。
#非常病例##我的门诊故事#@头条辟谣@头条健康