点击「神经介入在线」可快速关注
随着CTA和DSA等成像方法的普遍应用,临床上发现脑动脉狭窄合并颅内动脉瘤并不少见,有文献报道为3%~9%不等[1-2]。由于这类患者同时存在缺血性卒中和出血性卒中的双重风险,给临床医师治疗策略的选择上带来一定的困难。目前,国内外还没有切实规范的治疗共识,患者的临床表现和医师的临床经验对治疗策略的选择起到一定作用。本文就我院3例脑动脉狭窄合并颅内动脉瘤的患者进行总结,分析其临床表现及治疗方法,以资借鉴。
病例介绍
1
病例
患者:男性,47岁,主因“发作性头晕、右侧肢体无力3月余”入院。
既往:有高血压病史10年,服用“尼福达、蒙诺及倍他乐克”,血压最高为180/100mmHg,平素控制在140/100mmHg;肾上腺腺瘤切除术后3个月;有吸烟史30余年,20支/天。
入院查体:左侧血压为173/112mmHg,右侧为173/104mmHg;神经系统查体未见异常。
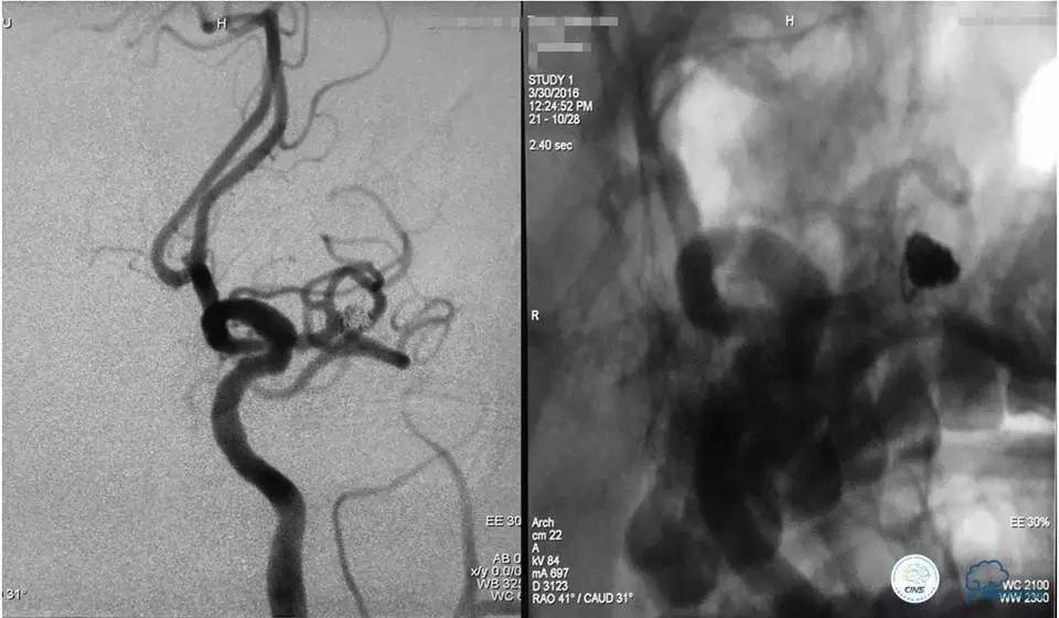
入院后造影检查:

右侧椎动脉正(a)、侧(b)位造影显示右侧椎动脉V4段重度狭窄及右侧椎动脉V4段动脉瘤,狭窄位于瘤颈处,狭窄率为70%,动脉瘤大小为6.99mm×5.95mm,瘤颈宽为3.58mm。
血管内治疗策略:用球囊扩张右侧椎动脉V4段狭窄处,然后采用顺序式操作方式先释放Enterprise支架1枚覆盖瘤颈及支撑血管狭窄处,再结合弹簧圈栓塞动脉瘤。
手术结果如下:

2
病例
患者:男性,66岁,主因“头晕1月余”收入我院。
既往:“高血压”病史40余年,血压高达230/170mmHg,服用氨氯地平片10mg,1次/日,血压控制在160/90mmHg上下。
入院查体:左侧为151/82mmHg,右侧为155/82mmHg;神经系统查体未见异常,双侧足背动脉搏动减弱。
入院后DSA检查:

造影显示:基底动脉重度狭窄,狭窄率90%;基底动脉动脉瘤,大小6.71mm×3.55mm,瘤颈宽为4.51mm。
血管内治疗策略:同样经球囊扩张基底动脉狭窄处,然后采用顺序式操作方式先释放Enterprise支架1枚覆盖瘤颈及支撑血管狭窄处,再结合弹簧圈栓塞动脉瘤。
手术经过如下:

路径图下沿导引导管送入TRANSEND微导丝(0.014″长度300cm)小心通过狭窄段至左侧大脑后动脉P3段,沿微导丝送入Gateway球囊(2mm×22mm)至狭窄段,准确定位后球囊逐渐加压至7atm,可见球囊完全张开,快速抽瘪球囊,造影显示狭窄段较前明显改善,残余狭窄率约70%,考虑到球囊扩张后仍有较高残余狭窄,为防止弹性回缩导致再狭窄及血栓形成,尽快行支架置入术。
撤出球囊,沿微导丝送入ENTERPTISE (4.5mm×22mm)自膨式支架至狭窄段,准确对位后成功释放支架,造影显示双椎动脉颅内段及基底动脉前向血流好,支架贴壁良好,动脉夹层消失,残余狭窄约30%。支架释放完成后,微导管经支架网眼导入瘤腔内,送入弹簧圈数枚并解脱。手术结果如下:

术后工作位造影

术后右斜位和左斜位造影显示动脉瘤完全栓塞
3
病例
患者:男性,68岁,主因“头胀痛1年余”入院。
既往:有高脂血症、高HCY病史。
入院查体:左侧血压为164/81mmHg,右侧为179/96mmHg;神经系统查体未见异常。
入院后造影检查:

右侧颈内动脉正侧位造影显示:右侧颈内动脉C1段狭窄并溃疡斑块形成,狭窄率约95%,狭窄长度约36mm。

左侧颈内动脉三维旋转后选取工作位角度造影:左侧大脑中动脉分叉部宽颈动脉瘤,大小约8.13mm×7.45mm,瘤颈5.35mm,且上有籽瘤。
血管内治疗策略:右侧颈内动脉开口狭窄处行球囊扩张支架成形术;左侧大脑中动脉分叉部动脉瘤行LVIS JR支架辅助弹簧圈栓塞动脉瘤。
手术过程如下:
(1)球囊扩张+支架成形术

路图下沿导丝送入波科Sterling球囊(直径4mm,长度30mm)至狭窄段,逐渐加压球囊至7atm可见球囊完全扩张,持续3s后迅速抽瘪球囊。沿导丝送入雅培自膨式支架(直径8mm,长度40mm)至狭窄处,准确定位后释放支架。

支架成形术后造影示:支架完全覆盖狭窄段及溃疡斑块,与血管壁贴合良好,残余狭窄率约10%,前向血流较前改善(TICI分级3级)。
(2)支架结合弹簧圈栓塞动脉瘤

将Traxcess14引导Headway17准备送入下干,微导丝能够顺利进入下干,但微导管无法跟进,被LVIS JR支架网丝卡住,此时发现支架变形,呈灯笼状完全覆盖下干。

工作位造影

Traxess14微导丝携带Echelon10直头微导管穿过LVIS JR支架网孔进入瘤腔内,送入弹簧圈数枚并解脱,直至造影显示动脉瘤完全栓塞,解脱左后1枚弹簧圈。行工作位及标准正侧位造影。
小 结
本文中的3例患者均为脑动脉狭窄合并未破裂颅内动脉瘤。临床上对于症状性脑血管狭窄的患者需要进行药物或支架的二级预防治疗,这潜在地增加了脑血管狭窄合并颅内动脉瘤患者的出血风险。因为狭窄解除后,灌注压突然增加可能促使动脉瘤破裂从而引起蛛网膜下腔出血。然而,如果仅处理动脉瘤,在全麻中及栓塞术后血流动力学的改变可能诱发低灌注造成脑梗死[3-4]。这样的风险使临床医师在治疗方案的制订时进退维谷[5]。但随着近年来介入治疗手段的进步,动脉瘤的栓塞治疗技术越来越成熟,风险逐渐降低,越来越多的医师倾向于一并或者分步处理这类复合病变[6]。通过回顾文献及对本文3例病例的总结分析,对于这类复合病变我们的治疗策略为:对于脑血管狭窄合并颅内动脉瘤的患者,患者的首发症状决定临床上优先处理何种病变。对以缺血性卒中起病者优先处理脑动脉狭窄,对以出血性卒中起病者优先处理动脉瘤,如果病情允许,血管内同时处理两种病变是安全的。
3位患者术后均恢复良好,远期预后有待进一步随访。
作者:陈希恒 马宁 杨新健 李佑祥 缪中荣 吕明 北京天坛医院
【参考文献】
[1] KappeUe LJ, Eliasziw M, Fox AJ, et al.Small unruptured intracranialaneurysm and management of symptomatic carotid artery stenosis:North American symptomatic carotid endarterectomy trial group.Neurology, 2000, 55: 307-309.
[2] Griffiths PD, Worthy S, Gholkar A.Incidental intracmnial vascularpathology in patients investigated for carotid stenosis.Neuroradiology, 1996, 38: 25-30.
[3] Adams HP.Carotidstenosis and coexisting ipsilateral intracranial aneurysm:a prehtem in management.Arch Neurol, 1977, 34:515-516.
[4] Pappada G, Fiori L, Marina R, et al.Management of symptomatic carotidstenosis with coincidental intracranial aneurysms.ActaNcurochir, 1996, 138: 1386-1390.
[5] Ladowski JS, Webster MW, Yonas HO, et a1. Carotid endarterectomy in patientswith asymptomatic intracranial aneurysm.Ann Surg, 1984,200: 70-73.
[6] Iwata T, MoriT, Tajiri H. Successful stagedendovascular treatment of a symptomatic cervical carotid bifurcation stenosiscoupled with acoincidental unruptured cerebral aneurysm in the carotid distalsegment.AJNR, 2008, 29: 1948-1950.

编辑 黄越
欢迎广大医生积极投稿,分享经典病例。
投稿邮箱:sjjrzx@hh-medic.com