
胃表现为左上腹的囊状结构,整个胎儿期胃位于脐水平之上。通过胃幽门口和幽门窦的水平线与通过胃体部的垂直线之间的夹角,可将胃分为钝角形、直角形和锐角形三种类型。在整个胎儿期,胃的角度从100°降至50°。在早孕期和中孕期胎儿中,钝角形胃较常见,而在晚孕期和足月胎儿中,锐角形胃较常见。
胎儿胃的主要功能是排空,胃排空在维持羊水量的平衡和胎儿消化道发育方面起着重要作用。胎儿胃排空始于中孕早期,晚孕期胃排空频率的增加可能继发于胎儿吞咽频率的增加。胃排空增加可使胎儿的行为状态发生改变。
母体羊水量与胎儿消化道畸形有着密切联系。胎儿经消化道吞咽和吸收羊水,是羊水吸收的主要途径。胎儿上消化道梗阻常导致羊水过多。羊水随胎儿吞咽进入胎胃,故羊水量与胎胃容积有一定相关性,胎儿胃容积是诊断消化道异常的重要指标。在胎儿正常生长发育周期中,准确评价胃泡发育有助于发现及确定胎儿消化道先天发育异常,如十二指肠闭锁,且在评价胎儿胃肠道动力方面也有一定作用。
一、胎儿胃不显示
正常情况下,胎儿胃于14孕周时因液体充盈而被观察到,如果胎儿胃部不显示,建议数日后重复进行超声检查。在部分正常胎儿中,会在下一次超声检查时观察到胃泡,如果胎儿胃多次重复检查均不显示,提示可能有发育异常。胎儿胃持续不显示者,尤其合并其他异常时,建议进行羊膜穿刺。
主要的异常有:食道机械性梗阻,食道闭锁,咽、食道和纵隔肿瘤,甲状腺肿,横膈疝,胸腔肿物和气管闭锁;吞咽系统的异常,如严重的腭裂;吞咽系统的神经源性异常。有少于50%的胎儿胃不显示,可发生在食管闭锁合并羊水过多者;同时也观察到约50%的病例,可见于有胃部液体充盈而合并食管闭锁者;羊水过多症多不会发生于妊娠晚期。发生于左侧膈疝的病例,胃泡由于产生移位而不能在正常部位观察到,出现胃不显示。
超声表现为,在胎儿左上腹部胃泡塌陷,胃内无液体或仅见极少量液体,此时胃显示为线状无回声,胃壁显示为两条强回声线。
二、胎儿胃的大小和位置异常
胃的大小受胎儿吞咽羊水的多少、胃腺的分泌和胃幽门的排出率等因素的影响。胎儿胃的顺应性也有差异,有些胎儿胃比较大,容易看到,有些胎儿的胃比较小。胃的大小有所波动,也是正常的生理现象。另外,超声医师应该了解胃不是对称性器官,不能简单地对胃进行标准化的测量,必须多次检查后才能判断胃的大小包括胃不显示是否有病理意义。需要注意,胃内有少量液体不能排除食道闭锁,正常的胃液分泌或者通过未闭合的气管食道瘘流入也可以使胃内有少量液体。
胃蠕动最早可在孕14周出现,经腹超声扫查可在23周探及胃蠕动,其蠕动波的频率是一个常数,在14~39周约每分钟2.2~3.0次。胎儿胃排空发生在中孕早期,在32~35周间隔大约40 min,在晚孕期间隔大于80 min。接近足月时胃的体积约10ml,胃排空时体积减少约60%。据此推算胎儿每天吞咽的羊水中有250ml通过胃排空吸收。因为胎儿每天吞咽约500ml羊水,其余250ml吞咽的羊水被动通过幽门而与胃排空周期无关。
先天性小胃极其罕见,可能由于胃未旋转且胃大、小弯均未发育而形成一小胃。可伴发畸形,如无脾、Opitz综合征及喉气管食道裂等。反复超声检查发现胃均很小,应与食道闭锁继发的小胃鉴别,后者常伴羊水量过多。部分病例出生后需进行手术治疗,部分症状较轻预后较好。
羊水量正常的大胃泡,通常预后较好。由于韧带发育过度、松弛或缺如,造成胃扭转,亦是新生儿胃扭转的主要原因,由于胃扭转致幽门相对不畅,往往在胃腔内有大量液体潴留,在胎儿期超声显示胃泡增大。因此,当超声发现胎胃增大时,应同时检查胎儿其他部位有无结构异常,如未发现异常,可动态观察。新生儿期的胃扭转通常可通过保守治疗治愈。
羊水量过多的大胃泡,通常由于胃出口梗阻造成,少数情况合并入口梗阻(食道闭锁),出现非常大的“C”形胃。
胃的位置异常可能是其他可能畸形的重要标志:①不同方位的错置:横膈疝,横膈下肺隔离征,肾上腺肿物;②完全反转;③右位胃或左侧胃伴右位心;④肺发育不良。
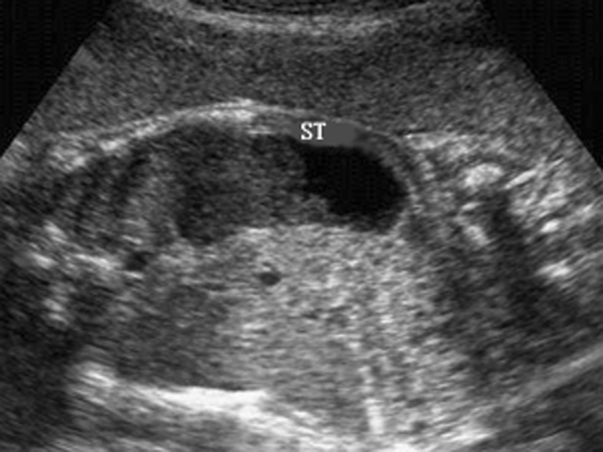
三、幽门梗阻
幽门梗阻发病率在活产儿中约为1/100万,其发病原因可能与前肠发育过程中的腔化障碍有关,也可能是血管发育畸形、梗死致胃坏死形成闭锁与狭窄,有家族性病史,与常染色体隐性遗传有关。
超声主要表现为胃泡增大,伴有羊水过多。胃蠕动增强,可见逆蠕动。胃食道反流导致食道扩张(图1)。

图1幽门梗阻声像图
大疱表皮松解症胎儿,可使幽门部黏膜受累,形成瘢痕导致幽门闭锁。孕妇血清甲胎蛋白和乙酰胆碱酯酶升高。其超声表现为:因皮肤水泡和剥落,羊水呈雪花样,外在畸形和皮肤与不同器官明显粘连。
巨膀胱-小结肠-小肠蠕动迟缓综合征也表现为明显胃扩张,是一种极罕见的先天畸形,为常染色体隐性遗传病。由于食道蠕动功能正常,而胃肠收缩蠕动功能受损,导致功能性肠梗阻。其超声特征为:胃明显扩大,膀胱明显扩张,双侧肾盂肾盏扩张。
四、胃内实性低回声
胎儿胃内有时可观察到实质性团块状或碎屑样回声(图2),一过性团块状回声的出现可能是胎儿吞咽的血或细胞物质,行羊膜腔穿刺的胎儿发生率增高。

图2胃内实性低回声声像图
另外,胎儿胃内肿瘤较为罕见。胃畸胎瘤发生于胃后壁,胃外膜的占58%~70%,而胃内的占30%,外生及内生同时发生的病例报道较少。尽管胃畸胎瘤可以源于胃的任何部位,但在一些部位多见:胃小弯,胃窦及胃底,一些肿瘤由蒂部与胃相连。其声像图比较具有特征性:囊性、囊实性、实性,其内回声可呈杂乱结构、囊内脂液分层征、囊内发团征等典型声像,有时可见部分钙化。