
新闻 | 人文 | 科普 | 服务
近年来,消化内镜领域进入发展最为迅速的时期,各种新技术、新理念层出不穷,对消化疾病的诊治产生了革命性的影响。传统内镜适应证继续拓展,新技术不断涌现,内镜理念日趋更新。诊断内镜“多样化”、治疗内镜“扩大化”已成为消化内镜的发展趋势。

很多人,包括部分临床医生的观念里阑尾炎只有两种选择:一是手术治疗;二是保守抗炎。在医学技术飞速发展的今天,其实还有另一种选择。
案 例 壹
患者女性,30岁,患者于5天前无明显诱因出现腹部疼痛,呈持续性,伴恶心、呕吐10余次(呕吐物为胃内容物),呕吐后腹痛稍有缓解,无发热、腹泻等症状,于昨日就诊于北京某三级医院,行抽血化验检查后,给予抗感染,止痛治疗后腹痛稍有缓解,后自行离院,今天为求进一步治疗就诊于我院。
体格检查:T:37.1℃;P:117次/分;R:20次/分;Bp:121/78mmHg
血液常规:白细胞:16.29*10⁹/L;血红蛋白:151g/L;中性粒细胞百分比:77.4%;中性粒细胞绝对值:12.59*109/;

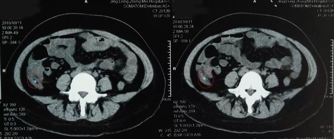
影像报告:CT检查结果报告阑尾粪石嵌顿
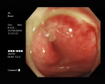
患者做好肠道准备后于30日上午在内镜室进行了内镜下逆行阑尾炎治疗术。电子结肠镜到达回盲部, 进入盲肠,可见:阑尾开口呈半月形,边缘粘膜充血、水肿,诊断考虑“急性阑尾炎”。随后,在斑马导丝引导下将取导管引导入阑尾腔用生理盐水进行阑尾腔反复冲洗可见乳白色脓液涌出,见脓液流尽用,并用替硝唑保留阑尾灌注,退镜,患者自诉腹痛明显缓解。

(镜下可见)
案例贰
患者男性,34岁,于1天前进食辛辣刺激性食物后出现腹痛症状,以右下腹显著,为隐痛,呈持续性,伴有腰部放射痛,腹胀,完善相关检查后遂以“急性阑尾炎待除外,腹痛待查”收入院
体格检查:T:36.7℃;P:84次/分;R:19次/分;Bp:130/90mmHg
血液常规:白细胞:13.59*10⁹/L;中性粒细胞百分比:87.41%;C反应:14.38mg/L

(术前彩超报告)
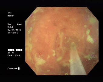
做好肠道准备后于31日上午在内镜室进行了内镜下逆行阑尾炎治疗术,镜下可见阑尾开口呈半月形,边缘粘膜充血、水肿,并有大量脓液流出,随在斑马导丝引导下将导管引导入阑尾腔用生理盐水进行阑尾腔反复冲洗并用替硝唑保留阑尾灌注,术后,患者自诉腹痛明显缓解。

镜下可见

案 例 叁
患者女性,42岁,因间断腹痛4个月,加重1周入院。
体格检查:T:36.4℃;P:66次/分;R:18次/分;Bp:140/100mmHg
血液常规:无异常

(术前彩超报告)
患者做好肠道准备后于30日上午在内镜室进行了内镜下逆行阑尾炎治疗术。术后,患者自诉腹痛明显缓解。

(镜下可见多股絮状脓液流出)
阑尾炎是急性腹痛的常见的一个原因之一,每个人一生当中平均会有百分之七的几率发生阑尾炎,十岁到三十岁的人居多常见,阑尾炎的并发症几率也是比较高的。
主要的症状就是肚子痛、恶心、呕吐,腹痛主要是由上腹开始,以腹胀和闷痛为常见了,后再转为右下腹,可能会发烧,但是通常是先腹痛再发烧。

内镜下治疗化脓性阑尾炎的创新为治疗阑尾炎提供了新的方法,将其命名为——内镜逆行性阑尾炎治疗 (endoscopic retrograde Appendicitis therapy, ERAT)。ERAT 是治疗急性阑尾炎的有效的微创治疗术式,其避免了外科手术及手术相关并发症,保留了阑尾及其功能, 该方法不开腹,不切阑尾,通过解决急、慢性阑尾炎的病因,来达到治疗阑尾炎的目的,并完整保留了阑尾及其功能。
ERAT技术 的优势:
1
内镜下阑尾插管行阑尾腔减压后,患者疼痛症状迅速缓解,病人可以立即恢复日常的活动,避免外科手术后的切口疼痛;
2
对于年老体弱各种原因不能耐受手术治疗的患者,为其提供了更好的治疗方案。
3
ERAT技术创伤小、无疤痕,操作快捷、方便,初步的临床结果显示,患者无出血、穿孔及阑尾周围脓肿形成等并发症。ERAT技术将来可以在门诊开展,节省了医疗资源;
4
ERAT 技术保留了潜在的阑尾生理功能。
随着技术的发展及超声仪器分辨力的提高,使得超声对阑尾的检查更为精准,在ERAT技术中,从术前阑尾的评估一直到术后疗效的监测,超声以其便捷、安全、可重复性好的特点为ERAT全程保驾护航,为患者提供了更精准的治疗。
同时ERAT技术也对超声检查阑尾提出了更高的要求,不仅要做出诊断,还要做出评估是否适合ERAT技术,超声医生不能仅仅满足于诊断,还需要明确阑尾的走行、腔内的情况、阑尾壁的血供及连续性、阑尾周边等等进行评估,使得阑尾超声规范扫查的推广成为必要。
ERAT 技术适应症
阑尾粪石梗阻急性阑尾炎、阑尾炎反复发作、阑尾化脓腔内高压、阑尾腔局部狭窄、阑尾穿孔脓肿局部包裹等。
对于复杂情况下穿孔引起腹腔感染、肠道下端狭窄肠镜通过困难等不宜进行内镜治疗。
