眼眶是眼睛的保护伞
“城门失火,殃及池鱼”
眼眶骨折
也会影响“心灵的窗户”
近日,清华大学附属北京清华长庚医院门诊接诊一例眼眶骨折20天的患者刘女士,因出现眼球轻度凹陷、看东西重影、转眼疼痛到眼科就诊。
经眼科评估,患者接近整个眶内侧壁损伤,且后方距离视神经仅0.5cm,最终转由耳鼻咽喉头颈外科行鼻内镜微创复位术,既微创又经济地为患者解决了问题。

鼻内镜微创复位手术前后对比照
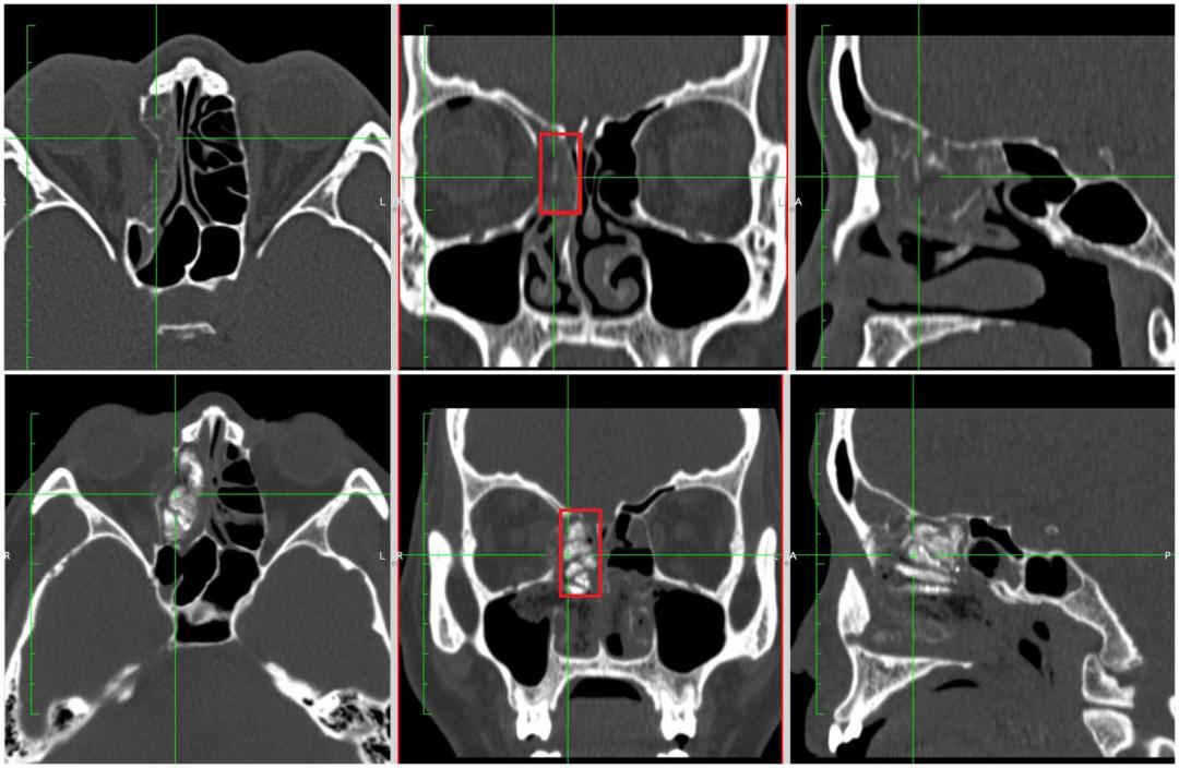
下图红框内为支撑物
眼眶或眼眶周围遭受外力打击,可造成眼眶骨折,是常见的颅面外伤之一,而是否进行干预,重点要结合眼眶骨折对外观缺陷、眼及周围功能的影响情况来判断。
手术治疗眼眶骨折,眼科常用的方法是从外向内治疗,即从眼睑等部位开切口,向内探查骨折区域后,在充分暴露眶壁缺损边缘的情况下,用自体骨或骨代用品衬垫修补。
而鼻科也有治疗部分眼眶骨折病例的高招,“眼和鼻紧邻,利用解剖结构上的临近优势,通过鼻内镜可实现眼眶骨折的探查和复位。”北京清华长庚医院耳鼻咽喉头颈外科主任医师吴彦桥说。

耳鼻咽喉头颈外科
吴彦桥主任医师(右一)手术场景
针对刘女士的情况,吴彦桥通过鼻内镜将骨折的眶壁连同其疝入的筛窦一同复位,以粉碎的眶壁、脂肪和内直肌保护视神经,放入碘仿纱条填塞支撑,术后两个月再取出,实现了从内向外复位,避免了损伤视神经的风险,同时眼周围无手术切口,值得一提的是该手术方法利用价廉的碘纺纱进行暂时性填充,大大降低了患者的手术费用。
“需要注意的是要在外伤后半个月以后才能手术,因为外伤后短时间内,眶内有积气和积血,如果术后短期手术眶内积气积血没有消退,会导致眶内压力增高影响视力。”吴彦桥说。
文/北青社区报实习记者 刘竞佳
通讯员 韩冬野