运城市 第一医院 肿瘤微创及综合介入科
特色技术——肿瘤的化疗栓塞术(-)
技术简介:
1. 肝脏良恶性肿瘤(肝癌、肝血管瘤等)的化疗栓塞术

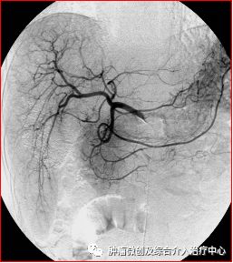
图1. 局麻后经大腿根股动脉穿刺置入导管至肝动脉内,创口约棉签样大小,行肝动脉造影寻找肿瘤及其责任血管。

图2. 以导管超选择肿瘤的“犯罪血管”,缓慢注入化疗药与碘化油混合乳剂。

图3. 油珠似的栓塞乳剂可以堵塞肿瘤的营养血管将其“饿死”,化疗药附在栓塞乳剂里缓慢释放将其“毒死”。

图4. 肿瘤坏死、萎缩甚至消失。

图5、6. 一肝癌患者,栓塞前造影显示肝右叶巨大团块样肿瘤染色(图中发黑处),通过3次肝动脉化疗栓塞,肿瘤不再显影,较前明显缩小。
(二)、注意事项:
1. 术后回至病房只需平躺一天一夜即可下床,保持右下肢伸直制动至少10个小时,沙袋压迫穿刺点至少8个小时以防止穿刺点出血,第二天即可下地活动,拆掉绷带后几乎看不到穿刺口;
2. 介入系微创治疗,安全有效,反应轻,术前打局麻药时虫咬似的疼一下,术中注药时可能出现胸闷、疼痛等轻微反应,术后可能出现轻度疼、胀、恶心、呕吐、发热等栓塞后的常见反应,持续一至三天术后反应即可自行消失,反应较重时对症用药,发热不超过38.5℃一般不需要用药,只需勤喝水、用温毛巾擦洗即可;
3. 介入局部化疗是将化疗药物直接注入瘤巢内将其“毒死”,很少损伤正常组织,不会出现全身化疗时常出现的剧烈呕吐、掉头发等现象,栓塞其供血动脉是将其营养来源切断,将其“饿死”从而慢慢缩小;
4. 术后即可进食水,流质----半流质----普食循序渐进,勤喝水既可利于造影剂、化疗药等毒性物质排泄又可以退热;
5. 术后一周左右复查血常规、肝肾功能,若其正常即可出院;
6. 出院后恶性肿瘤一个月后来院复查,若有不适随时可致电0359-2355132、13593588552进行咨询。