脑内部的腔隙称为脑室,在大脑两个半球内有侧脑室,间脑内有第3脑室;小脑和延髓及脑桥之间有第4脑室,各脑室之间有小孔和管道相通。脑室中的脉络丛产生脑脊液。脑脊液在各脑室与蛛网膜下腔之间循环,如脑室的通道发生阻塞,则脑室中的脑脊液越来越多,并扩大形成脑积水。

“第五脑室”属于脑室系统吗?
关于第五脑室(the fifth ventricle)的概念,从国内能够查到的中文医学资料包括医学教科书、著作、文献及网络文字中,其定义基本是一致的,即第五脑室也称透明隔间腔。国内几乎所有医务工作者一直笃信此定义。然而,在国外的文献报道中,“第五脑室通常被定义为位于脊髓圆锥并由室管膜组织包绕的囊腔,而不是透明隔间腔,因为透明隔间腔的组织结构与脑室不同”。


透明隔是两侧侧脑室中间的间隔,在胎儿四个月时原始透明隔内形成一个中缝,然后发展为分离的两个小叶,两小叶之间的间隙为透明隔间腔即CSP。腔的前上方为胼胝体,后下方为穹隆,侧壁即透明隔小叶。正常情况下,此腔将逐渐融合而消失。如到一定年龄尚未融合且由脑脊液填充,即形成CSP,它在透明隔发育畸形时更加膨大。CSP不属于脑室系统,因为它没有后者所具有的室管膜。但是经常与侧脑室或三脑室相通因为在气脑造影时可积满气体,那些不与脑室系统相通者.腔内的脑脊液通过透明隔膜过滤和隔膜静脉及毛细血管重吸收。
什么是“第五脑室”
第五脑室,也称终室(ventriculus terminalis, VT),是位于脊髓圆锥内、由正常室管膜组织包绕且内含脑脊液的囊性腔室。该腔室结构由Stilling在1859年首次描述为与蛛网膜下腔相通且扩张的脊髓中央管,但Krause不认同Stilling提出的该腔室与蛛网膜下腔相通的观点,并于1875年在观察到这个囊腔的壁是由正常室管膜细胞构成后提出了"第五脑室"这一概念。
透明隔间腔为什么不是“第五脑室”
透明隔间腔是在颅内两层透明隔之间形成的腔隙,它的上界为胼胝体体部,前下方为胼胝体膝部及嘴部和前联合,底部和后方为穹窿。透明隔间腔被认为是人脑发育过程中的正常结构,通常在出生后的几个月内闭合,但该结构亦存在于少数成人中。但是,将透明隔间腔称为"第五脑室"是不正确的,因为它的内壁未衬有室管膜细胞,其内含有的液体也通常与脑室系统不同,因此透明隔间腔不具备脑室的组织结构特征。
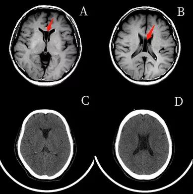
透明隔腔(CSP)的前上方为胼胝体,后下方为穹隆。侧壁即透明隔小叶。透明隔腔≤3mm,描述可见透明隔腔。

1.胼胝体膝部;2.透明隔腔;3.穹隆柱;4.穹隆体;5.穹隆脚;6. Vergae腔;7.胼胝体压部
透明隔腔增宽是透明隔腔≥3mm,直径<10mm,描述可见透明隔腔增宽,透明隔的两壁呈前后平行排列,边界清晰,或内凹,对周围组织无压迫,为正常生理变异,临床无症状。透明隔腔≥10mm,描述可见透明隔腔明显增宽。

两壁呈前后内凹

两壁呈前后平行
在儿童时期,无临床症状的第五脑室被认为是一种正常的发育现象,无需进行干预,但是也有部分具有第五脑室的儿童,合并一些先天畸形,例如脊髓栓系综合征、脊髓脊膜膨出、腰骶部脂肪瘤等。成人的第五脑室可以没有任何临床症状,但当脊髓圆锥受到第五脑室压迫时,可产生括约肌功能障碍,运动和感觉功能异常,坐骨神经痛等症状。
第五脑室属于良性改变,预后比较好,囊腔可在随访的数年中没有明显变化,术后病灶残留也可以长期保持稳定状态,第五脑室的体积与临床症状程度并没有正比关系,但第五脑室大小与术后的疗效有关,直径越大的囊腔疗效越差。
诊断与鉴别诊断
超声是诊断胎儿或新生儿第五脑室的一种常用检查方法。第五脑室在超声矢状切面图上显示为脊髓圆锥区域囊状扩张的低回声区并可与中央管相通,在超声横断切面图上表现为扩张的低回声囊腔且与周围脊髓组织有着较为清楚的分界。

来自杂志图片
MR检查为诊断第五脑室的主要手段。第五脑室在MRI上通常表现为脊髓圆锥内边缘清楚的卵圆形囊腔,形态规则,囊壁光整,且与周围正常的脊髓组织分界清楚,囊内为T1WI低、T2WI高的脑脊液信号,囊内分隔及囊周水肿性改变比较少见,增强扫描后囊壁不强化。第五脑室需要与位于脊髓圆锥的囊性肿瘤如室管膜瘤、星形细胞瘤以及脓肿相鉴别,囊性肿瘤和脓肿的囊壁通常有不同程度的强化。脊髓圆锥的转移瘤很少见,MRI表现通常为肿瘤强化且周围伴有明显水肿。脊髓背侧的严重损伤也可发展为囊性病灶,但目前报道的大多数第五脑室病例并无外伤病史。脊髓内的表皮样囊肿和皮样囊肿由于成分复杂导致MRI表现多变,而第五脑室的MRI表现单一。
参考文献:
内容主要来自王梅云,白岩,史大鹏,重新正确认识第五脑室的概念及其影像表现. 中华放射学杂志.2016.
大连大学附属新华医院 唐伟,徐绍武,透明隔腔、透明隔腔增宽、透明隔囊肿、五脑室、六脑室如何区别.医学界神经病学频道.
来源:影像技术张春红
【版权声明】本平台属公益学习平台,转载系出于传递更多学习信息之目的,且已标明作者和出处,如不希望被传播的老师可与我们联系删除