几天没洗头的小张,总感觉头部有明显的瘙痒感,动不动就会去挠头。
这不,他在挠头的时候,发现头皮上好像有很多小疙瘩,这可把小张吓坏了,“头上长疙瘩,是不是出什么问题了呀?”
在这样的担忧下,小张赶紧跑去村里的卫生站找医生,要问清楚自己头上的小疙瘩到底是什么。
看到忧心忡忡的小张,医生没忍住地翻了个白眼,道:“就这点问题还跑医院,洗个头不就好了吗?”
随后就把小张给赶走了,可是离了医院,小张仍旧不知道这头上的疙瘩是什么。

一、头上的小疙瘩是什么?
部分人都有过跟案例中的小张一样的经历,尤其是好几天没洗头的时候,一抹头皮就能摸到一个个鼓起来的小疙瘩,有时候一抠,还能抠出白米粒。
其实, 头上长的小疙瘩是油脂的分泌物, 简单来说,是因为头皮出油过多,导致头皮上的毛孔堵塞了,从而长出很多小疙瘩。小张几天不洗头,油脂得不到清洗,导致了毛孔堵塞,就形成了这些小疙瘩。
头皮出油的原因有很多, 有些人是天生头皮出油多,也就是我们常说的油头 ,而有的人是因为洗头的时候不够认真,过于急促,导致头皮没有清洗干净,小疙瘩就“趁机而入”了。
此外,还有一些人头上长小疙瘩是因为懒,隔了很长时间才洗一次头,导致油脂过剩,从而出现那些小疙瘩。

二、头上起“疙瘩”,洗个头就能治好吗?
是的!
你没有想错,头上起疙瘩,洗个头就可以治好了。
小疙瘩最主要的原因是油脂过多而导致,当我们把这些油脂洗掉后,就不会形成这些小疙瘩了。
另外 夏天容易出汗,要适当增加洗头发的次数, 出油后还可以每天洗一次头发。
当然,洗头发的时候不仅要洗,还得洗干净,不然剩余的油脂还是会导致毛孔堵塞,出现小疙瘩。如果小疙瘩比较严重,可以选择 抗炎抑菌的洗发水。
值得一提的是,洗完头后在冲洗时也要彻底,不要有残留的泡沫停留在头皮上,因为这些残留的泡沫也会对头皮造成一定影响,时间久了也会出现小疙瘩。

三、疙瘩总不消,小心皮脂腺瘤
60岁的邹先生脑袋上长了个疙瘩,起初也没当回事,反正很多人都会长,放任不管也没有什么太大的问题,日后注意点卫生就好了。
可是让邹先生没想到的是,他头上的这些疙瘩不但没有消除,而且还越来越多,并且围绕着一个疙瘩成堆成堆的出现, 最终形成了一个很大的疙瘩,严重影响到了外观。
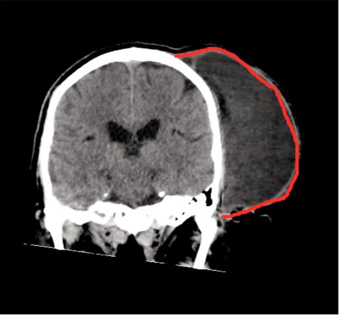
这个时候,邹先生才觉得事情没有那么简单,于是赶忙而自己带着去了湖南某家医院,这不查还好,一查CT竟显示是个“瘤”。

邹先生CT片
湖南省人民医院神经外科黄萌异主任表示, 邹先生头上的疙瘩是 皮脂腺瘤, 属于临床常见的良性皮肤病变,是因为头部的 毛囊代谢物长期无法排出所导致。 如果没有及时处理,肿块就会随着时间的推移,越来越大。
除此以外,黄萌异介绍,很多患者在早期往往把皮脂腺瘤当做油脂疙瘩,并不在意,但其实早期的皮脂腺瘤在门诊做个小手术切除就可以了,不需要像邹先生这样“遭罪”,达到需要麻醉动手术的地步。
好在,邹先生的皮脂腺瘤手术非常成功,术后恢复进程也很快,一个星期后就出院了。

如何辨别油脂疙瘩和皮脂腺瘤?
那么我们如何油脂疙瘩和皮脂腺瘤。
·颜色: 皮脂腺瘤又称皮脂腺上皮瘤,好发于头皮和面部,有四种颜色: 肤色、红色、黄红色以及淡褐色, 而油脂疙瘩颜色单一,通常是 白色 。
·抱团出现: 皮脂腺瘤多为单发的圆形结节、肿块,而油脂疙瘩大多数是抱团出现,最重要的是皮脂腺瘤会“长大”,油脂疙瘩并不会。
此外,皮脂腺瘤好发于中老年男性,同时不良的生活习惯也会诱发皮脂腺瘤,比如熬夜、抽烟、喝酒等。总之,身体出现异常时,一定要尽早到医院检查,即使是小疙瘩也不要忽视不管,可以的话,定期体检。
参考资料:
[1] 《头皮上总是能摸到“小疙瘩”,是什么?怎么消除?文章说清楚》.消化内科支杰华.2021-04-13
[2] 《40年“野蛮生长”,米粒大疙瘩长成一大坨肉》.潇湘晨报.2020-12-30
[3] 《皮脂腺瘤31例临床病理分析》.中华皮肤科杂志.2016-08-16
未经作者允许授权,禁止转载