门牙又叫切牙作为我们面部的门面,暴露在我们口腔的最前端对我们的美观也起到了至关的重要作用!对我们的口腔功能也起到了重要的作用!一旦坏掉,要及时处理,接下来将通过门牙坏掉的种类以及结合患者的年龄,介绍下相应的处理方案!
可以通过年龄进行分类
儿童
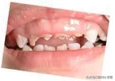
龋坏 儿童门牙龋坏患病的概率非常的高,原因在于儿童对于口腔保健意识不如成人那么高同时儿童又偏向进食一些含糖量比较高的食物。
治疗方案 虽然乳牙在口腔当中存在的时间不长,但是发生了龋坏,应当早期的治疗,当乳牙的门牙发生了龋坏,我们可以在龋坏没有那么严重的时候,采用冲填治疗,也就是所说的堵牙,恢复门牙的形和外观。如果乳牙龋坏太严重引发了根尖周病,对应的我们要采取相应的根管治疗,原因在于乳牙的根尖周病变会导致其下方恒牙的萌出发生异常,形成临床上所说的特纳牙,影响恒牙的形成。

乳牙外伤 儿童的活动性比较强往往会造成门牙受到外伤,特别是刚学会走路的儿童,门牙外伤发生的概率也尤为显著。

牙外伤的表现 通常是牙齿偏离原来的位置或者偏向根方嵌入,或者向冠方脱出,舌向移位都有可能出现,严重者表现为冠部发生了折断,甚至根部发生了折断以及冠根同时发生折断!
治疗方案 如果症状较轻,仅仅是牙齿的表面出现了裂纹,一般情况不需特别的处理,对于裂纹比较深的情况,我们可以用复合树脂进行连接,目的就是保证色素跟细菌向里面的侵入!
- 如果牙齿冠部发生了折断,折断部位很小,仅仅是周边掉了一块我们可以到口腔科将牙齿损坏处磨光即可!
- 如果牙齿发生了很严重的外伤,我们的原则是尽可能将牙髓进行保留,遇到这种情况,家长应该带领儿童及时进行就诊,最好在一小时以内可以保持牙髓的活力可以使牙齿的根部继继续进行发育!
- 发生了根部折断,也分为根尖、根中、根冠1/3,如果发生了根冠1/3的折断,则我们需要将牙齿拔除掉,然后对应的将恒牙的位置保留出来以免其他牙齿发生移位,影响萌牙的继续萌出!
- 如果根中的1/3发生了折断,我们首先选择可以把牙齿进行固定,然后进行观察,如果恢复不好再选择将牙齿拔除!
- 根尖1/3发生了折断,这种情况我们选择观察就好,一般以后都是非常的好的!
- 牙齿的全部脱出,个别患者出现了牙齿完全离开牙槽骨,我们家长在旁边时应该将牙齿用自来水冲洗,干净后迅速放入患儿的口腔原有位置,然后及时带领儿童到口腔科就诊,如需保存牙齿,应该将牙齿放在牛奶当中,或者是含在患儿的口腔内,争取最快的时间进行就诊处理,这样可以保留牙齿在口腔中继续存留和使用!

成人
成人的牙齿是恒牙,如果发生了坏掉,不会再有其他的牙齿进行替代,所以成人的门牙发生损坏处理显得尤为重要!
龋坏
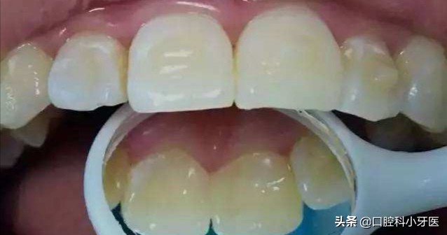
- 成人的门牙易发生龋坏,特别是在两个门牙之间发生邻面龋,往往导致相邻的两颗切牙同时发生了龋坏。最早可以表现出牙缝之间牙齿的颜色发生了改变,我们对于这种情况应该进行尽早的处理,去除腐坏组织进行充填,治疗也就是所说的堵牙!

2.如果牙齿发生了根尖周病变这种情况我们需要将牙齿进行完整的根管治疗根管治疗之后,最好应该在牙齿上再做一个牙冠,以免牙齿后期失去牙髓的滋养,发生易碎!

外伤
成人门牙外伤的概率类似于儿童一样高发,所以牙齿在发生外伤的时候,我们应该根据情况迅速采取有效措施!
- 当牙齿只有轻微的釉质的损坏,没有损伤到牙髓,我们可以到口腔科将破坏掉的部分抛光,避免食物的堆积,然后进行观察处理,如果发生敏感,可以采取脱敏处理!
- 当折断部分占据了牙冠的面积比较大,此时我们应该先采取将牙髓拔除后进行根管治疗,然后再原有的基础上将牙齿进行预备,在外面加上牙冠,同样是增加牙齿,在口腔当中的使用年限,并且可以有效的外形
- 当牙齿发生了脱位我们应该将牙齿表面处理干净,最快的时间植入牙槽窝内,或者将牙齿保存口腔内,最好在30分钟内进行口腔科诊疗,能有效的将牙齿继续固定在口腔当中!

缺失
如果牙门牙发生了缺失,我们对应可以采取修复的方案,修复的方法通常包括可摘义齿义齿、还有烤瓷牙修复、种植修复。对应采取哪种修复方案,可以根据自身的经济条件进行选择!
门牙坏掉的方式,各种各样,包括龋坏,外伤以及一些畸形,所以处理方案也不尽相同,不能采用一味的拔除处理!

我是口腔科医师用专业的知识为你解决口腔问题!
#清云计划# #头条健康# #口腔健康教育# #全民宠粉计划#