
区域性门静脉高压症(regionalportalhypertension,RPH)是一种由不同原因造成脾静脉血液回流所致的脾胃区域静脉压力升高的病理状态,也称左侧门静脉高压症、局限性门静脉高压症或脾胃区区域性门静脉高压症,因该症70%-83%由胰腺病变引起,故又称之为胰源性门静脉高压症。RPH占肝外型门脉高压症的5%,但却是唯一可治愈的门脉高压症。常为多种原因引起的单纯性脾静脉梗阻,致门静脉脾胃区压力增高超过正常。它除了可引起脾脏淤血肿大外,还可形成孤立性胃底静脉曲张;而门静脉、肠系膜静脉及食管静脉则较少受影响。

门静脉侧枝循环血管示意图
RPH从病因上,本症可分为三型:1.胰源性:包括慢性胰腺炎、胰腺假性囊肿、胰腺肿瘤等;2.脾源性:脾脏本身及其血管病变;3.腹膜后源性:腹膜后肿瘤或炎症。上述病变均可引起脾静脉增厚、受压、血栓形成、栓塞或闭塞,最终导致脾脏淤血肿大和脾胃区局限性静脉压增高,临床表现为脾功能亢进和局限性胃底静脉曲张(若累及胃冠状静脉时,可伴有食管静脉曲张),出现脾功能亢进和反复发作的上消化道出血。

介入微创治疗可从以下几方面进行积极治疗干预:①硬化栓塞曲张的胃底、食管静脉;②脾静脉成形术:可采用球囊扩张、支架植入等开通狭窄、闭塞的脾静脉,恢复脾静脉血液正常回流;③部分性脾栓塞术:部分栓塞脾脏,减少脾脏血流、减轻脾亢。
病例介绍
老年女性,反复出现呕血,电子胃镜检查提示胃底静脉曲张,经胃镜下曲张静脉套扎及组织胶注射治疗,仍反复出血。
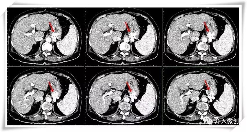
- 腹部增强CT示轻度肝硬化、脾大、胃底静脉曲张。

- CTA显示孤立性胃底静脉曲张,胃肾分流;电子胃镜示胃底部静脉曲张。

- 经皮肝穿门静脉造影示孤立性胃底静脉曲张,胃-肾分流;应用弹簧钢圈及泡沫硬化剂闭塞分流血管;应用球囊导管扩张局限性狭窄的脾静脉。

