一口漂亮的牙齿是展示无暇笑容的关键,这也是我们每个人都希望的。牙齿作为人体重要的器官之一,人们天天需要它,可是随之而来的就是各种牙齿疾病。牙齿有黑洞是很多人都患过的牙病,今天我们就来一起看看吧!

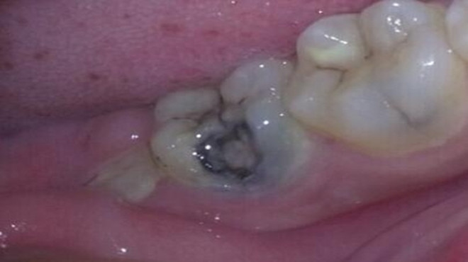
很多人因为常吃甜食或是过于刺激的食物,而没有及时刷牙,又或是晚上没有养成刷牙的好习惯,时间久了导致口腔内细菌的滋长,就可能诱发牙齿疾病。一般蛀牙就是这样生成的,牙齿表面出现黑色的小洞,若任其发展,小洞就会越来越大,吃饭塞牙,最终疼痛难忍。
那么,蛀牙不补的话会有什么危害呢?

1、引发其它牙病
蛀牙严重后会伤害到牙髓,到时候就会引发牙髓炎、根尖周炎等感染疾病,治疗起来就会更加的费事了,需要的时间与金钱也会增加很多。

2、影响面部美观
蛀牙会带来疼痛,平时可能没啥感觉,但是只要一吃食物牙齿就会疼的厉害,久而久之就会造成偏嚼的习惯,让整个面部看起来都不协调,而且蛀牙如果发生在前牙,张口就是一个黑洞,那该多难看啊。
对于患有蛀虫的牙齿,应该怎么办呢?

1、由于被蛀虫侵蚀的牙齿病发的时间上不能确定,很容易被患者所忽视,这是极其危险的,此类疾病只会越拖越严重,患者须按照口腔医生的建议对牙齿进行科学有效的系统化治疗,才能拥有一口洁白的牙齿。
2、如果患者在病发的时候由于条件的限制不能马上就医,可采用以下的方法暂时缓解牙齿的疼痛,如:把味精填补到带有蛀虫的牙洞中,用力咬住大约十分钟左右,可轻微的缓解疼痛的感觉,等条件允许,立即到医院治疗。

温馨提示:
要养成良好的饮食习惯,多注意口腔卫生的清洁。比如说,常用温水漱口,养成饭前饭后漱口的习惯,避免食物残渣的残留;
早晚刷牙,多吃一些粗纤维、食物,当然了也要定期去医院做口腔护理;
一定要养成睡前饭后,尽量不吃甜食和小零食,尤其在睡觉前;
如果龋齿严重,要到医院口腔科检查,有龋洞尽量修补。