郑州大学附属郑州中心医院胃肠、疝和腹壁外科主任高磊:做完磁共振,看完片子,我心里暗暗庆幸,还好当时没有在门诊给她手术,否则就很难收场。
是什么让一名
从业近20年的主任医师
冒了一身 冷汗

一个月前
王女士:医生,我屁股上长了个大疙瘩,天天坐不得躺不得,裤子都没法穿!
下午3:00,诊室走进来一名身着连衣裙、四十多岁的女性,难为情地说出了这句话。
从王女士紧皱的眉头间,看得出臀部的“大疙瘩”一直在折磨她!

查体时我发现,她的骶尾部,也就是我们平常说的“尾巴骨”的地方竟长了一个 成年男性拳头大小的肿块。
肿块按起来 软软的 ,没有红肿,但有轻微的、可以忍受的疼痛。


王女士告诉我,几年前她无意发现自己“尾巴骨”的地方长了一个 小枣大小 的疙瘩,软软的、不痒也不痛。
在当地医院找医生看了看,说是一个良性囊肿,没多大问题,她也就没放在心上。

时间不经意流逝,疙瘩一天天慢慢长大!

直到王女士平躺时感受到轻微疼痛,才到医院做了一个彩超,结果提示是一个边界清晰的10cm囊性包块。
医生建议她做个简单的小手术,后经熟人介绍找到我,希望我来给她做这个手术。
王女士:医生,我这个小手术能不能在门诊直接做了?
王女士不想住院,一直表示要在门诊直接做手术
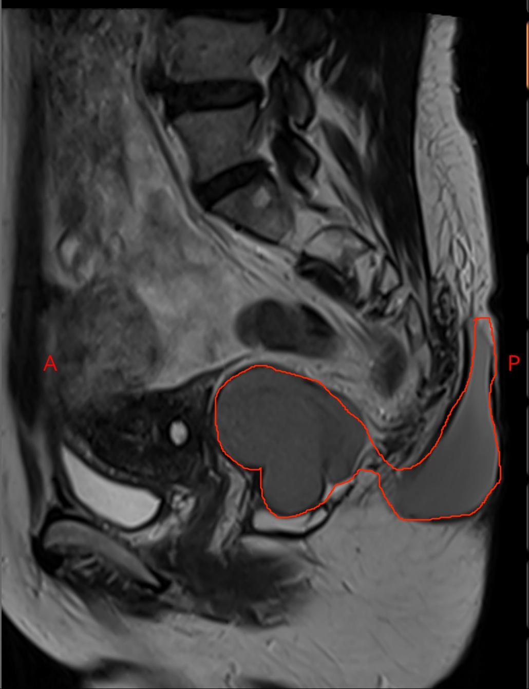
但包块太大,我担心与肛门有关系,因此建议她做个磁共振检查明确一下,再说手术的事儿!

看到磁共振片子,我心里暗暗庆幸,还好当时没有在门诊给她做手术,否则就很难收场。
从磁共振上看,这个包块有两部分,像个葫芦一样,肚子里面一半,外面一半
外面的那一半像是从尾骨里面挤出来的一样,与肛门周围的肌肉和直肠关系非常密切。

这已经不是一个简单的门诊囊肿切除小手术了,而是一个 非常特殊 的骶前发育性囊肿,需要住院手术治疗。
听到这个结果,王女士瞬间慌了神:高主任,什么是骶前囊肿?必须住院吗?
我耐心地解释给她听,骶前囊肿多见于她这个年龄的女性,因为囊肿位置比较深,又常常没有症状,所以早期很难发现。
等到囊肿非常大的时候有些患者会出现肛门周围的坠胀或者疼痛,合并感染的会出现 发热 、 脓肿破溃 、 窦道形成 等表现。

像她这样类似葫芦样的表现更是比较少见,所以王女士也是幸运的,如果不是外面的这个囊肿,可能还不会发现肚子里面的那一部分。
骶前囊肿
虽然是个良性疾病
但还是要积极手术治疗
因为骶前囊肿
有一定 恶变 几率
囊肿本身也 无 自愈 可能

刀落肿瘤灭
手术难度大:随着囊肿的 增大 ,容易继发感染,导致囊肿与盆底肌肉和直肠分界不清、粘连紧密。
骶前囊肿体积越大
与直肠壁粘连面越大
越难分离
且骶前间隙是一个潜在的间隙, 周围比邻结构复杂 ,外科处理非常困难。

男性骶前间隙
术中容易损伤
盆底的肌肉和直肠
大大增加手术难度
稍有不慎可能导致
大便*禁失** 下肢瘫痪 等

很多医生在手术过程中因为担心损伤直肠和肛门括约肌,出现肠瘘和肛门*禁失**,术中 未能将囊肿壁完整切除 ,导致术后 复发 和 感染 ,伤口长期不愈合,给患者带来很大的痛苦。
以往的案例
小月8岁时,因患骶前囊肿
在当地医院接受手术
术后,因伤口不愈合、渗出不断
又进行第二次手术
11岁时,因复发接受第三次手术
这次仅过了几个月, 再次复发
谈及坎坷的就医经历
小月父母唏嘘不已

因此,为避免复发,术中完整地切除囊肿壁至关重要,同时还要尽可能保护肛门周围的结构和直肠,避免出现损伤。
最终
我们为王女士 完整 切除了
位于骶前的这个囊肿

因为准备充分
术中很好地保护了
直肠和肛门周围的肌肉
术后也恢复得非常好

术后病理结果显示
畸胎瘤
畸胎瘤为 胚胎期 皮肤细胞
发育异常 而形成的
囊性瘤
高磊介绍
畸胎瘤症状发展缓慢
病程长达数十年
少数也可恶变
关键在于
