
引言
IgG4相关疾病是以IgG4阳性淋巴细胞-浆细胞浸润为特点的累及多器官的慢性系统性纤维炎症性病变,病变常累及腺体,可累及胰腺、胆管、泪腺、腮腺、眶周、中枢神经系统、甲状腺、肺、肾、腹膜后及动脉周围组织、皮肤及淋巴结等,可表现为受累器官的结节、肿块,其中泪腺最常受累,累及眶周出现炎性假瘤,半数患者有过敏相关疾病病史,可伴发哮喘。我们分享的这个案例中,患者的眼睑及外耳道新生物、皮肤瘀斑看似与已确诊的支气管哮喘无甚关联,但通过详细追问病史摸清发生时间的先后顺序,再经过检测、病理判断出患者为IgG4。
一次受凉服用感冒药患上「支气管哮喘」……屡治效果不佳,患者忽略的病史打开「破案口」
这是一位34岁的女性患者,超市服务员。主诉为发作性呼吸困难5年,加重2年,再发2天。5年前,患者在一次受凉后口服感冒药(具体不详)后随即出现呼吸困难,口唇紫绀,伴意识丧失。急诊治疗后好转。但此后患者反复出现了发作性呼吸困难,闻及刺激性气体即可诱发或加重,也可自行缓解。2年前,患者的呼吸困难症状较前加重,且不能自行缓解。当地医院诊断为「支气管哮喘」,给予「信必可都保160ug/4.5ug 1吸 bid」,期间患者的呼吸困难仍间断发作。在呼吸困难发作期间,患者自行吸入沙丁胺醇气雾剂可缓解10余分钟,并自行口服强的松(每次剂量不固定),缓解后停药。此次就诊的2天前,患者再次出现呼吸困难,伴咳嗽、咳痰,遂来我院就诊。
我们在询问患者既往史中了解到,患者入院20天前右耳行「外耳道肿物切除术」,自诉术后病理为息肉样组织。其个人史、婚育史、家族史均无特殊。
入院查体情况为: T36.0℃, P 102次/分, R 27次/分, BP 115/72mmHg,双侧眼睑可见菜花样新生物,右侧较大(图1)。端坐呼吸,可见三凹征,双肺可闻及弥漫性哮鸣音。双下肢可见多发斑片状褐色色素沉着,并可见部分瘀斑(图2)。左侧外耳道可见红色新生肿物(图3)。
辅助检查情况为: 动脉血气分析提示:PH 7.37 ;PaO2 53.4mmHg;PaCO250.6mmHg;lac2.5mmol/L;SBE 25.2mmol/L。

图1:双眼肿物

图2:双下肢皮损

图3:双耳外耳道肿物
根据以上情况,我们初步对患者的病情进行了初步分析:患者为中青年女性,反复发作呼吸困难病史已长达5年,刺激气体多为诱发因素,发病初期可自行缓解,听诊双肺可闻及弥漫哮鸣音,糖皮质激素及沙丁胺醇治疗有效,支持哮喘诊断。只是始终控制不理想,反复多家医院就诊,此次呼吸困难严重,才来我院就诊。
追问患者双耳及眼睑新生物与呼吸困难出现的先后顺序,患者诉眼睑及外耳道新生物、皮肤瘀斑近2年才出现,外耳道新生物影响听力,耳部有闷胀感,因在患者口服激素后出现的,且患者了解到激素有诸多副作用,自认为是激素的副作用,下肢皮肤瘀斑间断出现,可不伴随呼吸困难发作,瘀斑出现一周左右会遗留色素沉着。
患者双侧外耳道肿物已手术切除,病理为「息肉」,这个问题患者认为已经解决,只是在追问病史时才提及。双侧眼睑新生物、皮肤色素沉着在患者眼里也不是大问题。但我们知道,激素通常不会造成眼睑及外耳道新生物、皮肤瘀斑,而患者同时出现这些症状,到底是「一元论」还是「多元论」?呼吸困难与眼、皮肤、耳等多系统损害有关联吗?是否有可能是一种疾病导致的哮喘、外耳道息肉、眼睑肿物、皮肤瘀斑?……带着这些疑问,我们对可累及皮肤、眼、耳等合并哮喘的与不合并哮喘的可出现呼吸困难疾病进行了梳理。
完善血常规、ANCA抗体、胸部CT、血清IgG4、支气管镜及组织病理等检查,且病理一定要做IgG4阳性细胞计数,复查肺功能
首先是合并哮喘的皮肤、眼、耳多系统受累疾病的鉴别:
1、嗜酸性肉芽肿型多血管炎(EGPA):
支持点:①多有支气管哮喘,且病程的早期最常见的临床表现就是支气管哮喘的表现,本患者以哮喘为首发症状;②EGPA可出现皮肤损害,可出现皮肤瘀斑、紫癜;③少部分患者累及眼眶;
不支持点:耳部可受累及,但多表现为分泌性中耳炎或神经性耳聋。EGPA可出现嗜酸性粒细胞增多,肺部游走性浸润mu影,组织活检可见嗜酸性粒细胞浸润的坏死性肉芽肿,部分患者可出现ANCA阳性,因此进一步鉴别需完善血常规、ANCA、胸部CT甚至组织活检。
2、木村病:
该病又名嗜酸性粒细胞增多性肉芽肿,是一种罕见的是病因不明的以头颈部肿块为主要临床表现的慢性炎症性疾病。
支持点:①木村病可合并支气管哮喘;②眼眶及附属器、耳部可出现肿块 ③可出现皮肤受累,如丘疹、斑块等。
不支持点:木村病好发于男性,木村病的肿块多为皮下肿块。进一步鉴别需完善血常规有无嗜酸性粒细胞升高,确诊需组织病理检查。
3、IgG4 相关疾病:
该病是以IgG4阳性淋巴细胞-浆细胞浸润为特点的累及多器官的慢性系统性纤维炎症性病变,病变常累及腺体,可累及胰腺、胆管、泪腺、腮腺、眶周、中枢神经系统、甲状腺、肺、肾、腹膜后及动脉周围组织、皮肤及淋巴结等,可表现为受累器官的结节、肿块,其中泪腺最常受累,累及眶周出现炎性假瘤,半数患者有过敏相关疾病病史,可伴发哮喘。
支持点:①合并支气管哮喘;②眼眶及附属器、耳部出现肿块 ③出现皮肤受累,下肢皮肤有色素沉着及紫癜性皮疹。进一步鉴别需血清IgG4水平及组织病理IgG4+细胞比例。
其次是不合并哮喘的皮肤、耳、眼受累及的呼吸困难的疾病:
1、复发性多软管炎:
支持点:可累及气管、支气管、耳、眼、皮肤等多系统。
不支持点:累及眼多为附件炎症、如结膜炎、角膜炎,累及耳也多为外耳轮的红肿,不表现为肿物。进一步鉴别可完善支气管镜检查
2、castleman病:
支持点:可多系统受累及,肺部受累及可出现闭塞性支气管炎,引起呼吸困难。虽常见淋巴结受累,可累及结外如眼眶、皮肤。
不支持点:也多为皮下肿块,且出现闭塞性支气管炎时是呼吸困难一般进行性加重,非发作性。进一步鉴别可进行组织病理检查。
3、结节病:
支持点:结节病为全身性疾病,可累及全身除心脏外的各个多器官,可累及皮肤,出现斑块状皮损,皮下结节等,可累及气管支气管引起狭窄,呼吸困难,可表现为眼眶软组织肿物,也有散在耳部结节病的报道。进一步鉴别需完善支气管镜、胸部CT及组织病理检查。
结合以上分析,一个疾病可以解释患者所有的临床表现,因此患者入院初步诊断:呼吸困难、眼眶、外耳道新生物、双下肢皮损原因待查:IgG4 相关疾病?木村病?嗜酸性肉芽肿型多血管炎?复发性多软骨炎?castleman病?结节病?多种疾病需鉴别,该如何进行?且患者呼吸衰竭严重,给很多临床操作带来了困难,如何有序和尽快实施检查?
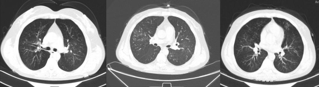
经讨论,我们可先选择无创,有创检查尽可能床旁进行。完善血常规,ANCA抗体、胸部CT、血清IgG4、支气管镜及组织病理等检查,且病理一定要做IgG4阳性细胞计数,肺功能检查也需要复查。但患者呼吸衰竭明显,无法外出配合肺功能检查。我们先完善了无创的检查,血常规检查情况为:WBC 14.2×10^9/L,Hb 149g/L,PLT 235×10^9/L,NE%72.2%,EOS% 6.0%;电解质、血糖、血脂、肝肾功能、血凝六项及传染病无异常风湿免疫抗体:ANA、抗ENA酶谱、ANCA四项阴性;免疫球蛋白IgE:689.80IU/m;血清IgG4浓度4.18g/L。患者的嗜酸性粒细胞升高、免疫球蛋白IgE升高、IgG4浓度升高,支持IgG4相关疾病。胸部CT显示:双肺支气管纹理粗乱,通气不均匀,具备可见马赛克灌注(图4),不支持肺部结节病引起的呼吸困难。

图4:胸部CT
我们完善了上述除肺功能以外的其他的检查,并在床旁进行眼眶肿物组织活检,支气管镜为严密心电监护下迅速进镜观察气道病变,气管镜见气管支气管通畅,无狭窄,未见气管及各主支气管变形、塌陷改变。并钳夹右肺下叶支气管粘膜。气管镜下没有明显的气道狭窄,不支持复发性多软骨炎、结节病引起的支气管狭窄,可以排除这两种疾病,此时考虑患者IgG4的可能性最大,需进一步寻找病理的支持。
常规病理检查非常重要,但是对于有些疾病的诊断,除常规病理还需要特染、免疫组化,特别是当常规病理不能给明确诊断时。因此,我们进行了支气管镜右下叶活检病理:粘膜慢性炎,刚果红局灶染色(+),IgG4计数阳性细胞比例15%(图5)。支气管镜下病理没有给我们提供足够多的证据,但是通过以上的检查分析,我们仍考虑IgG4的可能性最大,我们建议患者院外切除外耳道肿物送检病理,并且联系眼科床旁对眼睑肿物活检,并要求做IgG4+免疫组化。
耳道肿物的常规病理示:肉芽组织及纤维组织,伴局部坏死。在我们加做IgG4的相关免疫组化后:IgG4+细胞约40%,IgG4+浆细胞100/HPF,支持IgG4诊断。同时送检的眼睑肿物病理免疫组化结果提示纤维组织内见较多淋巴浆细胞及少量嗜酸性粒细胞浸润,免疫组化有较多IgG4阳性细胞,推测病变可能与IgG4 升高有关(图6)。

图5:右下叶支气管粘膜活检病理

图6:外耳道肿物会诊病理

图8:眼睑肿物病理
综合以上检查:患者多器官受累,血清IgG4升高,IgG4+/IgG+ 40%,IgG4+浆细胞100/HPF,确诊为IgG4相关疾病,。且影像学、组织病理、ANCA等检查排除了EGPA、castleman、木村病,确诊IgG4相关疾病。给予40mg甲泼尼龙治疗2周后改为强的松40mg/d。患者呼吸困难明显减轻,咳嗽、咳痰较前好转,右侧眼睑红色新生肿物明显减小。
总结
该患者哮喘诊断成立,规范治疗难以达到控制,合并多脏器损害,出现外耳道肿物,眼睑肿物,皮肤损害,外耳道活检病理仅仅提示炎症。临床医生需要把患者的所有出现的临床问题综合考虑,只有有了临床怀疑,才可以提醒病理需要继续做哪些方面的检查。当然,有时候病理也会发现特殊问题,给临床很大的启示作用。遇到临床表现为呼吸困难及多器官受累时,需考虑到IgG4这一疾病,IgG4 呼吸系统受累不仅可以在影像学上表现为肿块、结节、磨玻璃影,也可表现为支气管哮喘。



本文完
采写编辑:冬雪凝
*今条头日**排版:大奔