本期专家:北京中医药大学东方医院脑病三科副主任医师 王文鑫 主任医师 王革生
脑梗死是老年人常见病、多发病,日常生活中如果出现了头痛、头晕、一侧肢体活动不利、口齿不清等,大部分人首先想到的是脑梗死,有些人没到医院就诊,就自行吃了些活血的药物,导致病情的加重。慢性硬膜下血肿就是一种症状、体征与脑梗死类似的疾病,但治疗方法截然不同。
1、什么是慢性硬膜下血肿?
是发生在硬脑膜与蛛网膜之间的慢性出血,其发生率约占颅内血肿的10%,血肿常位于于大脑半球凸面,是神经外科的常见疾病。多见于老年人,随着人口老龄化的进展,发病率逐年升高。

2、慢性硬膜下血肿的病因是什么?
(1)多数病人有头部外伤史。追问病史,多有3周以上的轻微外伤史,当时未予注意,部分病人由于记忆力减退不能回忆起是否受伤。
(2)长期应用抗凝和抗血小板药,或凝血功能障碍等。
(3)反复或突然的胸腹压力增高(如难产、便秘)。
(4)一些颅内病变(蛛网膜囊肿、肿瘤等)。
3、慢性硬膜下血肿的症状有哪些?
(1)慢性颅内压增高症状:头痛、头晕、恶心、呕吐、复视等。
(2)精神障碍:痴呆、淡漠、记忆力下降和反应迟钝等。
(3)局灶性症状:偏瘫、麻木、言语不利、癫痫等。
(4)大小便*禁失**、昏迷等。
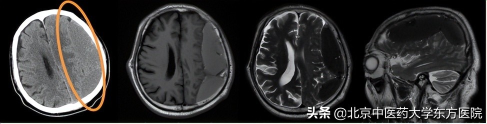
4、诊断慢性硬膜下血肿需要做哪些检查?
头颅CT或MR检查,可明确诊断。

5、慢性硬膜下血肿应该怎样治疗?
(1)药物治疗
出血量少,症状轻的病人可以给予药物治疗,包括:
① 促进血肿吸*药收**物:阿托伐他汀钙片。
② 对症治疗:非甾体类抗炎药(如双氯芬酸等)或阿片类镇痛药(如曲马多等)止痛;甘露醇或甘油果糖降颅压等。
③ 中药治疗:血府逐瘀汤、补阳还五汤等。
对于口服药物治疗2周以上、临床表现及影像学检查仍无明显改善或血肿持续增大或症状加重者建议手术治疗。
(2)手术治疗
① 钻孔/锥颅引流术(最常见)
② 内镜下/小骨窗血肿清除术
③ 脑膜中动脉栓塞术
④ 前囟硬脑膜下穿刺术(婴幼儿)

6、慢性硬膜下血肿的预后如何?
慢性硬膜下血肿的预后比较好,一般不会留下后遗症,应早诊断、早治疗。术后有一定的复发率,应定期复查。

总结一下慢性硬膜下血肿特点
1、多见于老年人。
2、多有外伤史,潜伏期长。
3、症状不典型,容易误诊。
4、一般出血量多,首选局麻下钻孔引流术。