家住贾汪区的李大姐,20年前发现双足踇外翻畸形,行走时疼痛,但一直未予重视,8年前畸形加重,在徐州某家医院做了踇外翻手术,治疗后效果不好,近几个月疼痛逐渐加重。


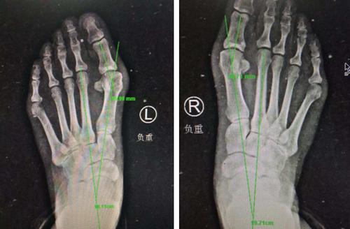
术前X线
3月11日上午,我院石荣剑院长为她做过体检和相关影像检查后,考虑患者二次手术,恐惧开大切口,决定为患者实施微创踇外翻矫正术。
石院长介绍,我院整形美容科采用韩国进口低频超声微磨锯实施颌面整形美容手术,切口很小,4毫米微磨锯锋利、精准、自带注水降温。受到启发,足踝外科创造性地将其优点运用到踇外翻微创治疗中去:不到1厘米切口无需缝合;微创截骨自带降温会更好的保护骨骼血运,从而截骨处会更快的愈合。

3月13日上午,石院长和足踝团队在足踝1:1模型上进行了缜密的术前设计。

石荣剑院长为李大姐进行了双足踇外翻矫形术。麻醉师采用超声引导下神经阻滞,手术团队采用不到一厘米切口,4毫米进口超声磨锯微创截骨,手术全程无血渗出,完美修整踇外翻。

韩国进口低频超声钻头


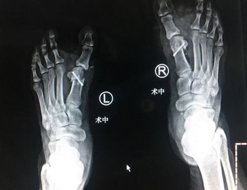
术中X线
手术很成功,术后第二天几乎就感觉不到疼痛了,术后三天换药基本看不到伤口,李大姐很开心。
微创外科(MIS)
是近年来发展最迅速的外科技术,因其损伤小、患者康复快以及良好的美容效果,成为未来骨科学发展的主要目标之一。它追求的不仅是小切口,而且强调尽量减少手术对周围组织造成的创伤和对患者生理功能的干扰,降低围手术期并发症,促使患者早日康复。