当根据经验,
觉得孩子该换牙时,
乳牙迟迟不掉,
不少新爸爸新妈妈不免紧张。
乳牙滞留不脱落是一件麻烦事,
是我们要避免的问题。

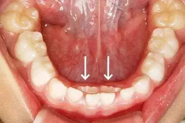
继承恒牙已萌出,乳牙未脱落(箭头指示继承恒牙)
“双排牙的问题现在在临床上很常见,我们碰到每10个小朋友至少有5个存在,有些好一点的乳牙已经松动,而有些厉害的乳牙纹丝不动,只能通过外力拔除。”
之所以会有越来越多的小朋友出现双排牙,其实关键问题就出在家长的喂养方式上,太精细。

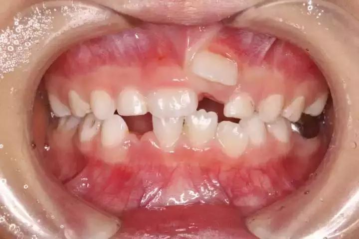
长在外侧的双排牙
有的小朋友从小就胃口不好,因此在喂养上大人向来非常上心,从6个月添加辅食开始,各种食物都是精心研磨,水果一直都是榨汁,最“偷懒”的也得去皮切块。很少会有机会得用牙齿费劲的咬。
“牙齿就跟肌肉一样用进废退,尤其是小朋友在生长发育阶段,更需要多锻炼。”钱医生说,恒前牙一般都比乳前牙大1/3左右。
如果不通过锻炼来促进颌骨的正常发育,恒牙就会因没有足够的空间长而排列不整齐,甚至是出现双排牙。这也就是为什么大家说“小时候牙齿太整齐换牙以后往往不太好看”。
那么什么情况下会造成乳牙滞留呢?
1、饮食过于精细,咀嚼得不到锻炼, 最终恒牙从滞留的乳牙旁边歪着长出来了。
2、如果恒牙胚先天缺失,可使乳牙根吸收缓慢造成滞留,那么小乳牙就不脱落了。
3、继承恒牙萌出无力,乳牙根不被吸收,也容易导致乳牙滞留。
4、如果乳牙根尖周病变破坏牙槽骨使恒牙胚坏死,那么乳牙也可滞留不脱落。
5、恒牙牙胚位置远离乳牙或者继承恒牙萌出方向异常,也可能使乳牙滞留。
6、乳牙根与牙槽骨发生粘连,使乳牙牙根未吸收或吸收不完全,那么就可能不按时脱落。

乳牙滞留会造成哪些危害呢?
1. 乳牙滞留会造成恒牙的异位萌出,影响正常的咬合关系。
2. 先天缺失恒牙胚的滞留乳牙,会造成乳牙下沉,影响咬合关系。
3. 乳牙滞留,影响口腔卫生,食物嵌塞,增加患龋风险。
4. 乳牙残根残冠的滞留,损伤口腔粘膜,增加患龋风险。
5. 根尖周破坏严重的乳牙,会影响继承恒牙胚。

双排牙到底要不要拔除?
如果乳牙滞留(该掉的年龄没掉),且乳牙下方有恒牙胚存在的话,或者恒牙已经萌出的滞留乳牙,及早拔除最好。
因先天缺失继承恒牙导致的滞留乳牙可不予处理,但是要密切观察滞留乳牙,积极预防龋齿的发生。
如果乳牙已经龋坏严重无法保留或已经脱落者,应做好间隙管理。

如何预防孩子出现双排牙?
首先,家长要循序渐进地给孩子吃一些硬度适中、可撕拽的食物。如,可以给孩子啃个苹果,啃甘蔗、玉米、花生等耐嚼的食物,这样做保持对乳牙良好的刺激作用,促使乳牙按时脱落。
家长应该监督孩子,纠正孩子的不良习惯,例如:咬唇、咬舌、吹口哨、咬铅笔等
其次,家长要让孩子培养良好的卫生习惯,定时好好刷牙。少吃甜食糕点,少喝糖分高的饮料,进食后及时漱口刷牙。

双排牙拔不拔,要具体情况具体分析,如果家长不确定,建议及时带孩子到口腔诊所、医院诊治。切勿耽搁