身上无缘无故长出点痣或者斑之类的似乎很平常,偶尔还会以中年得“痣”自嘲一下。
而有一种斑却不同寻常,它不只是皮肤上的表现这么简单,有这种斑的人体内有更加恐怖的病灶,那就是——黑斑息肉综合征(Peutz-Jeghers syndrome,下面简称为PJ综合征)。

是不是没听说过这个病?
确实,这种病发病率很低,大约在1/50000到1/200000之间。百度百科上对这个病的解释是

所以,有时候嘴巴黑不一定是吃槟榔或者烟抽多了导致的哦!
今天宗老师给大家说说这个病。
因为即使是医生有不少对这个病的认识都不是很清楚,所以今天的内容有点多,先给大家拟个提纲:
1.你能确定是PJ综合征吗?这个病有什么特征性的表现?
2.其他病有类似的表现吗?
3.有什么检查可以确诊?这些检查报告意味着什么?
4.如果确诊了,怎么开始治疗?
5.治疗有什么副作用?
6.得了这个病结果会怎么样?
7.这个病有什么并发症?
8.PJ综合征是怎么遗传的?
9.怎样预防PJ综合征?
10.在病因、诊断、治疗等方面还有哪些争议?
好了,下面宗老师开始讲课了。

1
你能确定是PJ综合征吗?这个病有什么特征性的表现?
PJ综合征是一种常染色体显性遗传病(啥是染色体,啥是显性遗传,可以翻翻高中生物课本),主要表现为胃肠道息肉(错构瘤)和皮肤黏膜的色素沉着。息肉主要在小肠多见,胃和大肠中也会有。
在儿科病人中,因为小肠息肉导致的肠套叠是很常见的合并症。行急诊剖腹探查的10岁患儿中,大约30%的是因为肠套叠导致的。
PJ综合征的患者还有很高的胃肠道恶性肿瘤和非胃肠道恶性肿瘤发病率。
PJ综合征患儿中也有恶性肿瘤的报导。患者一生中患癌的风险高达93%,相对风险率(RR,有PJ的患者患癌概率和正常人患癌概率的比值)为15.2。
典型的PJ综合征儿童的表现有:
1.皮肤黏膜色素沉着
2.胃肠道中的错构瘤息肉
3.小肠息肉导致的肠套叠是PJ综合征患儿的最常见表现

来自网络的一组PJ综合征肠套叠患者图片
色素沉着

皮肤黏膜的色素沉着在婴儿阶段出现,在青春期逐渐消失。95%的PJ综合征患者可以发现色素沉着情况,主要出现在嘴唇,也可以在口腔黏膜、手和脚上。和PJ的患者不同,身体上一般的斑是不会长在口腔黏膜上的。这些色斑的组织学检查可以发现其中有色素沉着的巨噬细胞,这些色斑会逐渐消退,所以有些病人不记得是否有过色素沉着的情况,得翻看小时候的照片才能发现。
不少是因为在医院看其他病时,医生注意到特征性的色素沉着,碰巧才确诊为PJ综合征的。
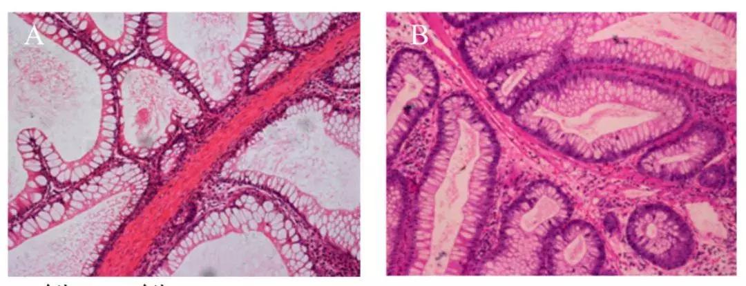
错构瘤

PJ综合征患者的息肉是一种错构瘤。组织病理学特征包括典型的分叶状结构,息肉表面被覆正常的胃肠道粘膜上皮,以及平滑肌增殖。
PJ综合征在婴幼儿阶段的症状主要是肠套叠,成年后主要症状是息肉导致的肠梗阻。其他的表现有腹痛、便血和直肠息肉脱垂。也有可能没有典型的皮肤黏膜色素沉着表现,因为大多数色素在青春期后就消失了。
诊断
详细的询问家族史很重要。对于年纪很小就出现胃肠癌和息肉家族史的病人,提示有遗传性息肉综合征可能。PJ综合征的病人除了胃肠道恶性肿瘤,可能还会有胰腺癌、乳腺癌等其他恶性肿瘤家族史。详细询问以前是否有过皮肤黏膜色斑出现也是非常重要的。
胃、肠镜检查可以发现息肉,并做息肉的切除术以及活检。息肉多发在小肠,胃和大肠也会存在。息肉大小在0.5cm到5cm之间。

肌纤维呈树样结构
PJ综合征患者小肠息肉特征性的病理特征是平滑肌的增殖,黏膜肌层肌纤维增生形成“树枝”样结构。以前,消化道钡餐检查被推荐用来评估小肠息肉。现在,更多的胃肠病专家建议使用胶囊内镜和磁共振小肠造影检查作为首选方式。胶囊内镜和磁共振检查还可以避免长期反复照射X射线增加患儿出现恶性肿瘤的风险。
2
其他病有类似的表现吗?
当息肉的组织学特征不是那么典型时诊断就会存在困难,有时很难把错构性息肉和炎症性结肠炎的丝状息肉区别开。
有时PJ的息肉和幼年性息肉病的息肉也很难鉴别,所以导致这两种病经常会搞混。在组织学上,胃或者结肠的息肉可以通过极少的平滑肌束确诊,但有时会错误的判断为反应性增生性息肉和幼年息肉。这时,就需要对息肉综合征有相当经验的权威病理学专家做出判断。
其他息肉综合征的息肉特征有可能和PJ综合征的息肉类似。Cowden综合征患者可以有各种不同的错构瘤性息肉,和幼年息肉及增生性息肉类似。大头畸形、乳头状瘤丘疹和发育迟缓是Cowden综合征典型表现,有助于和其他综合征鉴别。Cronkite-Canada综合征(多发性消化道息肉综合征)的息肉通常炎症和增生更明显。
其他和色素斑有关的综合征和PJ综合征的色素沉着很难区别。比如,Laugier-Hunziker综合症的色素斑和PJ非常类似,也是在唇、口腔等部位。但和PJ综合征不一样,Laugier-Hunziker综合症的色素斑会持续整个成人阶段。这时,需要有经验的皮肤科专家帮忙鉴别这些皮肤的表现。
3
有什么检查可以确诊?这些检查报告意味着什么?
胃镜、肠镜的检查可以发现息肉,并切除后做病理检查。以前,消化道钡餐检查被推荐用来评估小肠息肉。现在,更多的胃肠病专家建议使用胶囊内镜和磁共振检查作为首选方式。胶囊内镜和磁共振检查还可以避免长期反复照射X射线增加患儿出现恶性肿瘤的风险。

胶囊内镜

磁共振小肠造影
90%-100%的临床诊断PJ综合征的病人有STK11/LKB1基因的突变,基因突变的检测也有助于明确诊断。
4
如果确诊了,怎么开始治疗?
内镜下的息肉切除术是针对PJ综合征息肉的推荐治疗方式。小肠的息肉可以用双气囊小肠镜切除,但对于内镜下无法切除的息肉,外科手术是最佳选择。近期研究显示环加氧酶-2*制剂抑**(COX-2*制剂抑**)的使用对于抑制PJ综合征息肉的生长可能有益处。PJ综合征的药物治疗需要更加深入的研究。
胃肠病专家建议18岁以上的患者需要接受以下监测:
• 胃肠道检查:每2-3年做一次结肠镜、胃镜和消化道
钡餐(或者胶囊内镜)检查;
• 非胃肠道检查:定期进行乳腺和妇科恶性肿瘤筛查,对于这些癌症和胰腺癌更进一步的检查目前仍在临床研究当中
5
治疗有什么副作用?
儿童的内镜检查通常需要麻醉,这就面临着麻醉相关的并发症。长期不断的检查耗费时间,而且会产生焦虑和抑郁情绪。所以,对于这类病人和需要定期检查的家庭,提供合适的心理治疗是非常必要的。
6
得了这个病结果会怎么样?
因为患者出现恶性肿瘤的风险很大,所以遗传咨询是很重要的。对于想要生孩子的患者,还需要做产前的咨询。
PJ综合征患者可能的癌症风险有哪些?
PJ综合征患者的胃肠道和非胃肠道恶性肿瘤风险都很高,在做遗传咨询时需要告知可能出现的恶性肿瘤。前面已经说过,患者一生中患癌的风险高达93%,相对风险率(RR,有PJ的患者患癌概率和正常人患癌概率的比值)为15.2。

儿科恶性肿瘤风险
有关PJ综合征患者该如何筛查恶性肿瘤的研究很少,争议也很大,特别是对于儿科病人。虽然也会在20岁以内的患者中发现胃、小肠和结肠的恶性肿瘤,但主要的患癌年龄还是在成年阶段。
7
这个病有什么并发症?
在不同的研究中,PJ综合征患者出现肠套叠的发生率为40%~60%,20岁肠套叠发生率为50%。95%的肠套叠发生在小肠。
恶性肿瘤是PJ的另一个主要并发症。
8
PJ综合征是怎么遗传的?
通常,一个细胞有两套基因,一套来自父亲,一套来自母亲。PJ综合征是从有STK11基因突变的父母那里以常染色体显性遗传方式获得的。每个PJ综合征患者的一级亲属(父母、子女和/或兄弟姐妹)都有50%的机会获得同样的突变而导致这种疾病。

有些患者并没有PJ的家族史或者PJ样症状以及癌症。这些患者估计占25%,他们出现新的STK11基因突变,而不是遗传自他们的父母。家族中某人可疑有这种新的STK11突变的,还是要进一步行基因检测以确定是不是新的突变。有这种新的STK11突变的患者同样有50%几率把突变遗传给他/她的子女。
携带基因突变的父母如果想要生孩子,就可能面临孩子出现遗传性恶性肿瘤的风险。胚胎植入前遗传学诊断(PGD)是一种和体外人工授精技术结合的医学诊断技术。这个技术可以让那些携带基因突变的父母尽量减少遗传缺陷给他们的子女。一个女性的卵子获取后在实验室授精,当胚胎发育到一定大小,将一个胚胎的细胞取出进行检测,看是否存在遗传性疾病可能。这样父母就可以选择那些健康的胚胎植入子宫后继续妊娠。PGD已经应用接近20年时间,被用在多种遗传性癌症综合征中。然而,这是一个复杂的过程,开始前在经济上、身体上和心里上都要做好充分的准备。
9
怎样预防PJ综合征?
想要预防PJ综合征,只有做好遗传咨询,或者产前诊断,让下一代不得这个病。如果家族有这个遗传病,自己可以提前检查,提前治疗。
10
在病因、诊断、治疗等方面还有哪些争议?
PJ综合征最主要的争论在于是否要在小儿阶段就清除所有的小肠息肉。
对于恶性肿瘤的筛查也存在争议,定期行胶囊内镜和磁共振小肠显影检查是否合适也在研究当中。目前还没有哪一种针对PJ相关恶性肿瘤监测模式被证实是最合理、有效的。
作者:宗华
转自:宗医生
欢迎点击右上角关注:肠胃小护士
本号文章大部分转载,如果侵权请及时联系我们,我们会及时删除,文章仅代表作者观点,不代表本号观点,内容读者仅供参考,所涉及到各类药方、验方等仅供参考学习,不能作为处方,请勿盲目试用,本平台不承担由此产生的任何责任!读者有问题请咨询专家,欢迎关注、点赞、转发、收藏支持我们,也欢迎评论区吐槽鞭策我们!
也欢迎各位医师、营养师投稿、合作,推荐好文,更好的服务各位