腿上长包跟脑袋有什么关系?还好这个检查查出了真相!
今天要给大家讲的一个病例,主角是一位27岁的年轻小伙子。
在10年前,也是他17岁的时候,两个脚跟腱处长了直径5.1厘米的小肿块,不痛不痒,也就没咋在意。
没想到,过了8年,也就是2年前,他不知道为啥开始变得非常冷漠,目光呆滞,嗜睡及记忆力减退。
这样浑浑噩噩又过了一年,他性格已经发生了巨大的变化,脾气十分暴躁,易怒,记忆明显下降(但短期记忆还是好的),走路时出现轻微的不平衡。
这样又过了一年,这位小伙子27岁了,才来到医院检查。
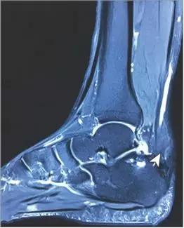
入院查体发现:走直线不稳,双侧踝阵挛阳性,双侧巴氏(Babinski)征阳性,双侧查多克(Chaddock)征阳性,闭目难立征阳性。双侧跟腱有直径约为8.2厘米的无痛肿块。
影像学检查发现,脚踝关节MRI提示右侧跟腱处出现梭形增大:

颅脑MRI提示双侧内囊膝、双侧内囊后肢、双侧大脑脚、脑桥和小脑齿状核处有对称的异常信号:

这一看,显然是脑袋出了问题呀。
患者的性格变化跟这个脱不了关系。
是额颞叶痴呆吗?但影像学上没有看到额颞叶萎缩呀;角膜未见K-F环,血清铜蓝蛋白正常,也不是肝豆状核变性;自身免疫抗体全为阴性,也不是自身免疫性脑炎。
这时,化验单上的一个异常结果引起了医生的注意:甘油三酯342.48mg/dL(正常值为30.97~150.44mg/dL)。
这是咋回事?一个27的小伙子怎么甘油三酯这么高?加上双侧跟腱瘤、神经系统体征、小脑齿状核异常信号……
难道……是传说中的罕见病?
于是又测了基因,果不其然,发现了CYP27A1基因突变。
破案了,这就是非常罕见的脑腱黄瘤病(Cerebrotendinous xanthomatosis,CTX)!
一、什么是脑腱黄瘤病?
脑腱黄瘤病(CTX)是一种罕见的常染色体隐形遗传病,通常由CYP27A1基因突变引起,世界范围内发病率为百万分之一,不同地区发病率不同,国内报道较少。
CTX患者无法将胆固醇转化为胆汁酸,胆固醇的另一个代谢产物——胆甾烷醇就会变多,蓄积在体内。另一方面,胆汁酸的不足,负反馈导致胆固醇生成过多。

至于CTX到底是如何造成神经毒性,损坏神经系统的,目前尚未得知。但有人提出假设,认为大量的胆固醇和胆甾烷醇会破坏血脑屏障,导致中枢神经系统受损。
二、脑腱黄瘤病一般有啥表现?
非常遗憾,CTX的临床表现差异非常大,累及多个系统。也因此,不少患者往往在发病17~25年后才能得到正确的诊治。
新生儿期可能的症状有胆汁淤积性黄疸和顽固性腹泻。儿童期可能出现白内障。70%的患者都会出现肌腱黄瘤。神经系统症状出现较晚,表现多样,包括痴呆、行为异常、共济失调、锥体束征、癫痫、脊髓病变和周围神经病等。
据报道,颅脑MRI中出现小脑齿状核异常信号可能是CTX的特异性表现。
另外,血胆甾烷醇水平会升高,但胆固醇不一定会升高,甚至可能是降低的。
当然,病理检查依然是金标准,脑组织活检可能发现多发脑白质脂质沉积,肌腱肿块活检往往提示大量黄瘤细胞及胆固醇结晶。
三、脑腱黄瘤病怎么治疗?
目前CTX的治疗方式包括低脂饮食治疗和药物治疗。药物治疗主要是鹅去氧胆酸(CDCA)补充治疗,这也是治疗CTX的首选。
CDCA可以让胆汁酸代谢恢复正常,甚至可能逆转某些症状。而且,在儿童期或更早开始用CDCA会比成年后再用效果更好。成年后才开始用CDCA的话,对于某些神经缺陷就无力回天了。有报道称,成人用CDCA治疗1年后,有60%的患者的神经系统症状仍然持续恶化,有20%的患者死亡。
此外,他汀类药物也可以降低胆固醇,治疗CTX,但最好是和CDCA联用。
总之,脑腱黄瘤病是一个进行性疾病,但并不致命,即使不治疗,也可能活到五六十岁。但早发现早治疗更有利于控制神经系统症状,这就需要各位医生们的火眼金睛啦。
参考文献:
[1] Qian, Qian, Du Cao, and You-Dong Wei. "A Rare Form of Lipid Metabolic Encephalopathy." JAMA neurology (2019).
[2]UpToDate-Cerebrotendinous xanthomatosis. last updated: Jul 18, 2019. https://www.uptodate.com/contents/cerebrotendinous-xanthomatosis
[3] 美国国立卫生研究院NIH https://ghr.nlm.nih.gov/condition/cerebrotendinous-xanthomatosis#statistics
[4]聂淑科, 赵琪, 张允建. 脑腱黄瘤病[J]. 中华神经科杂志, 2013, 46(11):784-786.
本文首发:医学界神经病学频道
【版权声明】本平台属公益学习平台,转载系出于传递更多学习信息之目的,且已标明作者和出处,如不希望被传播的老师可与我们联系删除