
门诊接诊一年轻女性,坐下来立即小心翼翼地表明:“医生,我的病比较复杂,可能要耽误你一些时间!“
给予关切的语气回答:“没有关系的!我看一下,应该不是什么大问题“!仔细阅读完带来的资料,和她说:“明确诊断的Rosai-Dorfman病,我可以帮你治疗“!听到的是患者惊奇的语气:“你听过这个病“?“当然,在风湿科医生的脑袋里,大多会藏着各种疾病’小怪兽’的“!
组织细胞增生症 — 窦组织细胞增生症:又称Rosai-Dorfman-Destombes病和窦组织细胞增生症伴巨大淋巴结肿大,是一种罕见的非朗格汉斯细胞组织细胞增生症!
▶本病多见于儿童及青年;
▶临床表现:
双侧颈淋巴结无痛性肿块,伴发热、ESR增块,中性粒细胞增多及多克隆性高球蛋白血症;
可能累及其他区域的淋巴结,包括纵隔、腹膜后、腋窝和腹股沟。
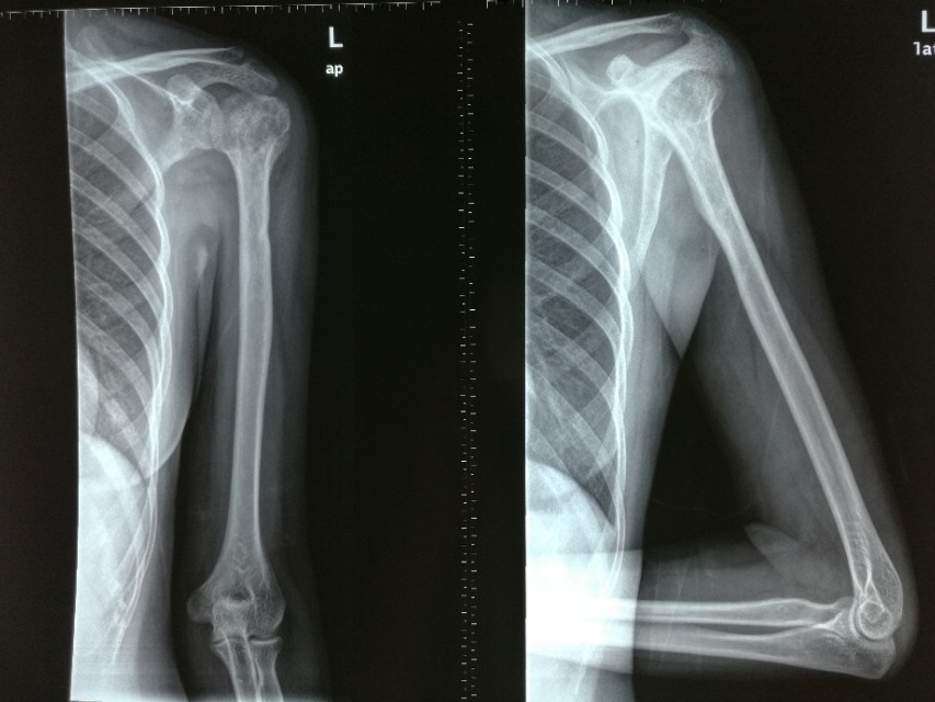
其他表现包括鼻腔、唾液腺组织和头颈部其他区域受累,溶骨性病变,肺结节,或者皮疹。X线等影像学可见占位性病变、溶骨性改变等!
▶实验室检查:白细胞增多、多克隆性高丙种球蛋白血症、低色素性或正细胞性贫血及ESR升高。
▶病理:淋巴结结构部分或不全破坏,淋巴滤泡消失。突出形态为淋巴窦明显扩张,窦内充满组织细胞及少量小淋巴细胞、嗜中性粒细胞。组织细胞有明显吞噬现象,吞噬淋巴细胞(噬淋巴细胞现象)、红细胞、核碎片、脂质(泡沫细胞),组织细胞分化成熟,偶有轻度异型,核分裂象罕见,S-100蛋白呈强阳性。细胞的明显吞噬现象,核无沟、扭曲及分叶,CD1a(O10)阴性均可使之有别与LCH。


▶治疗:取决于其他淋巴结区域的受累情况。
氯法拉滨对骨和眼眶受累的患者特别有效。
系统疾病控制:可以选用激素、环磷酰胺(或其他免疫*制剂抑**)和沙利度胺等综合治疗,有溶骨改变可以应用双膦酸盐治疗!
▶预后:大多预后良好!
