一口洁白漂亮又整齐的牙齿每个人都想拥有,
但是,生活中很多的人明明有着光鲜亮丽的外貌,十分出众的气质,
却被一口大黄牙、畸形牙,生生的拉低了颜值,这让很多的求美者苦恼不已。
而全瓷贴面则是近些年,逐渐进入大家视野的一种适用范围较广的美牙方法,
那么,全瓷贴面都有哪些优势呢?下面我们就一起来了解下吧。

全瓷贴面是根据求美者牙齿的高低厚薄进行精细化量齿定制,并预先设计出贴面效果。
利用超薄瓷层修复体,在保存活髓的情况下,对牙体表面缺损、着色牙、变色牙和畸形牙等问题牙齿用高科技瓷修复材料粘结覆盖其表面,以恢复牙体的正常形态和改善其色泽,从而达到美牙效果。
全瓷贴面优势解读:

1、安全
磨除牙体组织少,甚至不需要磨除牙体组织,这样可以保存大量的牙体组织,不需要杀神经,基本上控制了术后牙髓炎症、坏死等全冠修复的后遗症,可以保持天然牙齿长期的健康。
2、美观
良好的透明性和遮光性,具有与天然牙体组织相同的光学特质,不含有任何金属成分,表现出绝佳的美学效果,不会出现烤瓷牙常见的黑线现象。

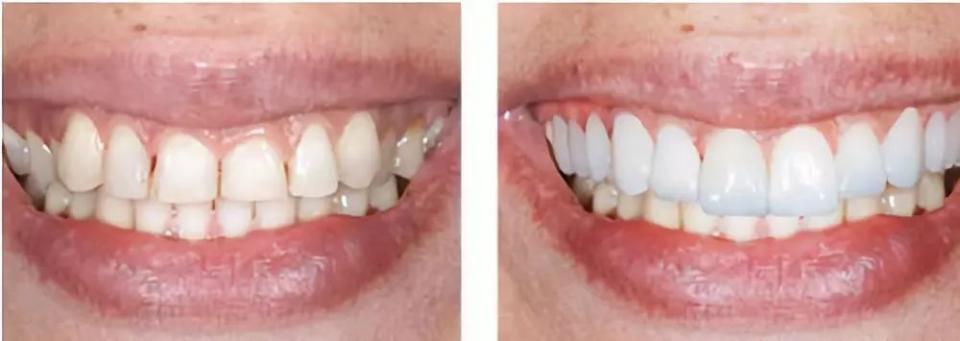
对比图
并且瓷本身的高耐磨性和不着色的特点,使瓷贴面美白牙齿达到永久的美白效果。
3、健康
瓷贴面具有极好的透光性,牙体预备时可以平牙龈即可,这样有利于印模和粘结。与牙龈相衔接的区域也仅在唇侧,对牙龈的刺激更小,更不会有金属烤瓷牙的金属离子导致的牙龈变色。
4、舒适

全冠修复需要磨除舌侧的天然牙齿,而舌侧的牙体通常都是健康的,并且与舌对合的牙齿处于最协调的状态,最好的瓷冠也不可能恢复到以前的状态。瓷贴面修复保存了大部分甚至全部舌侧的形态,有效的保护了对合牙。
如果你也对自己的茶渍牙、畸形牙等不是很满意,就可考虑瓷贴面修复,让您拥有一口自信的牙齿,带给您整天的甜美笑容!河北仁德口腔医院地址:河北省石家庄市长安区谈固大街与中山路交叉口西南角。