你是不是也有这样的困扰?
当初受不了缺牙的不适,满怀期待去做了烤瓷牙,可是没几年发现烤瓷牙边缘居然变黑了。一张嘴,就会有腐烂的味道飘出来,周围三米远的人都能闻得到。

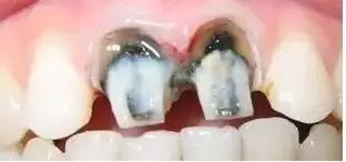
烤瓷牙
每天早上刷牙看着镜子中灰灰的牙齿,闻着自己臭气熏天的口气,是不是整个人都不好了???

当你的烤瓷牙出现以下几种问题的时候,不要犹豫,尽快去口腔医院拆除。

1、出现龈黑线

口腔环境湿润,非贵金属烤瓷牙易氧化成灰色氧化物。时间久了沉淀于牙龈,造成牙龈黑线,若不及时拆除,很可能会出现牙龈炎、牙周炎甚至牙齿脱落。
2、引起真牙蛀牙

如果牙齿模型不精致,佩戴后出现边缘不密合的情况,会给细菌提供有利条件,这些细菌进入牙冠里面但是又出不来。你只能眼睁睁的看着牙齿慢慢烂完,在这种情况下,必须拆。
3、未治疗好牙周疾病

一些牙医和患者在做烤瓷牙的时候急于求成,对牙龈牙周没有做详细的评估,比如本身有牙龈炎症,牙龈红肿、萎缩等。在没有治疗的情况下安装烤瓷牙,会导致一系列的口腔问题,应该尽快拆除。
4、烤瓷牙崩瓷

烤瓷牙崩了会怎么样呢,崩瓷边缘较尖锐,会造成舌头、唇部粘膜创伤,而且崩瓷后金属外露,在长时间的食物摩擦及唾液的作用下,发生化学反应,必须拆。
