患者:李X,男,16岁。以“上腹部疼痛3天,加重6小时”为主诉入院。患者自诉入院前3天无明显诱因出现上腹部疼痛,呈持续性,无明显腹胀,伴恶心,未呕吐,无明显反酸、烧心,排气、排便减少,就诊于我院急诊科,考虑:腹痛待查:不全性肠梗阻?行血常规提示:WBC:12.3X10^9,予以抗炎、抑酸、补液治疗两天,症状缓解;6小时前,患者自觉腹痛较前加重,并出现便血,为暗红色,再次就诊于我院急诊科,行血常规提示:WBC:14.7X10^9,腹部X线片提示:腹部肠管积气,中下腹小液平,予以灌肠、输液等治疗,患者腹部胀痛缓解不明显,为求进一步检查及治疗,遂以“腹痛待查:急性肠梗阻”之诊断收住入院。

治疗前
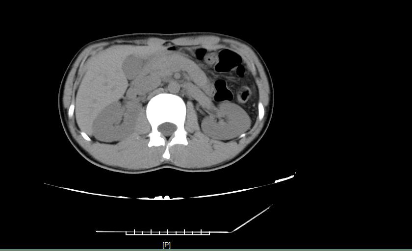
入院后查体:腹平坦,腹式呼吸减弱,无腹壁静脉曲张,未见肠型及蠕动波,腹壁柔软,中上腹及左下腹压痛阳性,无反跳痛,无肌紧张,腹部未触及包块,肝脾肋下未可触及,Murphy征阴性,移动性浊音阴性,肠鸣音较弱,未闻及血管杂音;肛门指检,未触及异常肿物,退指指套可见暗红色血迹。腹部CT提示:急性胰腺炎,消化道出血?予以胃肠减压、抑酸、抑酶、抗感染等治疗2天,腹痛缓解不明显,需间断止痛治疗,四肢远端逐渐出现红色、对称的斑丘疹,并快速向近心端蔓延。考虑诊断为:腹型过敏性紫癜,加用激素,次日腹痛明显缓解,四肢皮疹颜色逐渐变暗,治疗五天后,腹痛完全缓解,四肢皮疹基本消失,激素逐渐减量并停药。

治疗后
过敏性紫癜是一种累及全身小血管的变态反应性疾病。发病前常有上消化道感染或不洁饮食史。临床表现以对称分布、压之不褪色、下肢多见的皮肤紫癜为显著特征,易累及消化道,踝、膝等关节及肾脏,表现为腹疼、关节肿痛、泡沫尿及血尿等。其中出现腹痛症状者,又称为腹型过敏性紫癜。因其发病初期以消化道症状为主,在皮疹出现之前易被误诊,因此需要重视。