体检时,被医生告知患有“甲状腺结节”,这种情况在临床上十分常见,尤其是年轻的女孩子。

虽然大部分甲状腺结节是良性的,但也有可能会发展为甲状腺癌,威胁患者的生命安全,因此有的人恐惧地以为是不治之症,也有人认为不痛不痒没什么大不了。
应如何看待甲状腺结节?如果得了,该怎么处理?
甲状腺结节究竟是怎么回事
从解剖上看,甲状腺位于喉下部气管上部的前侧,棕红色,分左右两叶,中间相连部位称峡部,呈“H”形,约20~30克重。它是人体最大的内分泌腺,主要功能是合成甲状腺素,参与机体的新陈代谢,促进生长发育。

一旦甲状腺组织过度增生,往往容易表现为甲状腺结节的情况。研究发现,甲状腺结节的发生除了受环境、遗传、性别和年龄等的影响,还与平时的饮食习惯、生活方式、肥胖、吸烟、饮酒、生气和电离辐射等因素有关。
碘盐摄入过多、常吃海产品,如海带等含碘量高的食物,易引起碘含量过高,引起结节的发生;有些药物,如胺碘酮、苯妥英钠和雌激素等,长期服用也容易引起甲状腺结节。
肥胖的人,高脂肪量和胰岛素抵抗都可导致血清瘦素水平增加,瘦素通过下丘脑的促甲状腺激素释放激素调节垂体分泌促甲状腺激素,从而引起甲状腺细胞生长和分化;缺乏运动、不良的情绪以及生活不规律会导致激素分泌失衡;吸烟者甲状腺结节患病率远高于非吸烟者,因为*草烟**中的硫氰酸盐会抑制碘的有机化和摄取能力,进而导致甲状腺结节的形成。
因此,甲状腺结节是临床常见病,发病率为5%~10%,在我国的检出率高达20%~76%,且发病率呈现逐渐增加的趋势。一方面,其临床表现隐匿,易被忽视;另一方面,由于过分担心进展为甲状腺癌,非必要的甲状腺结节手术率也显著升高。而治疗不足或治疗过度,都会对患者造成危害。
如何判断甲状腺结节是良性还是恶性
通常情况下,长了结节只是甲状腺生病的一种表现,换句话说,结节可能是多种甲状腺疾病的体征。从最常见的结节性甲状腺肿、甲状腺囊肿、甲状腺腺瘤、桥本氏甲状腺炎等,到凶险的甲状腺癌都有可能。一旦发现甲状腺结节,第一时间做进一步的检查和评估,判断其性质才是科学的做法。
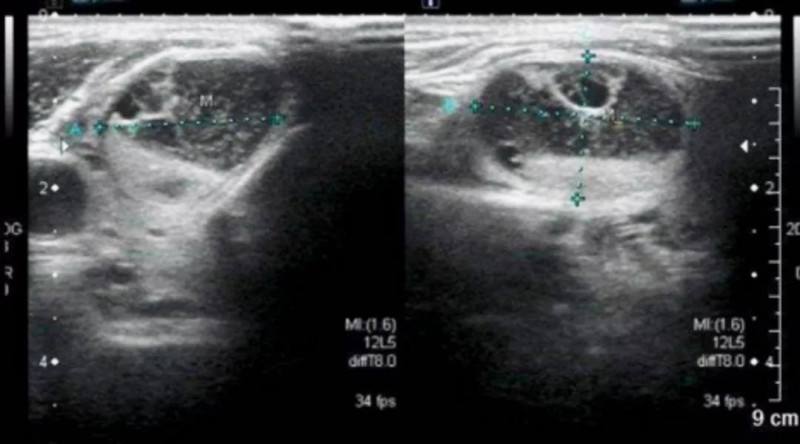
医生通常会收集患者的完整病史,并对甲状腺及附近的颈部淋巴结做详细检查。甲状腺B超是最常用的检查手段,因为甲状腺这样比较浅表的器官,可以检查出直径仅为2毫米的微小结节,并清晰地看到其大小、形态、境界和位置,还可提示结节是否有钙化、血流状况如何。
超声检测中,如提示结节边界清晰整齐,无回声,后方回声增强,内部可见少许血流,内部未见钙化灶等表现,多为良性甲状腺结节。如提示边界不清楚,边缘整齐差,实性结节,内部可见砂粒样钙化,后方回声衰减,结节纵横比失常,锁骨上下淋巴结肿大,中央髓质回声消失等表现,则多是恶性甲状腺结节。此外,甲状腺恶性病变多为单发结节,而甲状腺良性病变则多是多发结节。

不过,因为超声属于影像诊断,各种超声的影像学图像的特异性和敏感性存在较大的差异。因此在采用超声对甲状腺结节进行鉴别诊断的同时,还需要结合其他的检查诊断结果,有恶性的可能时,应做进一步的颈部CT或磁共振检查,甚至进行细针穿刺抽吸活检,明确诊断。
甲状腺癌恶性程度较低,属于“懒癌”
事实上,95%以上甲状腺结节属于良性,发生恶性病变成为甲状腺癌的比例不到5%。如果发现结节只有一根独苗,且质地较为坚硬、表面凹凸不平、做吞咽动作时活动度较小,或者体检时摸到结节周边同时存在肿大的淋巴结,就要高度怀疑是恶性病变;如*亲近**属中有甲状腺癌患者或肿块快速生长造成气管等邻近器官的压迫,出现呼吸不畅、吞咽困难、声音嘶哑等病史,都需要引起高度重视。
一旦常规的影像和实验室检查无法判定性质,或者高度怀疑甲状腺癌,就可以进行穿刺,抽取部分结节细胞进行病理检查。但是,一次阴性结果并不足以判断,有可能是正好没有抽取到癌变的细胞。因此,甲状腺结节患者应根据医嘱定期随访,密切关注病变的动向,多次做细胞学检查就可确诊。

如果各种证据都提示结节存在恶变的倾向,应与专科医生商量,决定是否需要手术及手术的方式。因为甲状腺癌在癌症家族中属于恶性程度较低的类型,也称为“懒癌”,一些患者终身都不会发病,手术后的多年生存率也非常高,患者无需过于悲观。
良性结节平时如何保养
饮食:选择富含膳食纤维及蛋白质的食物,平衡膳食,种类丰富多样。以清淡、易消化的食物为主,多食促进结节消散的食物,避免食用辛辣、油炸食物,盐每天<6g,含碘食物的摄入因人而异,碘摄入过高或过低都会导致甲状腺疾病的发生,因此,要根据甲状腺激素(TSH)水平决定。
运动:建议每天有规律进行适宜强度的有氧运动,如步行、慢跑、做操和骑自行车,每周4~5次,每次30~60分钟,每天消耗200大卡热量,运动量适度,不过度劳。
坚持健康生活方式:戒烟酒,放松情绪,平衡心态,注意情绪变化,保证充足的睡眠,避免熬夜,内分泌系统的周期性变化,避免长时间接触辐射、微波环境等。

定期检查:每年定期检查,观察结节变化。如发现以下征兆,就要进行细针穿刺抽吸活检明确诊断:(1)甲状腺结节直径增大超过50%或有临床症状;(2)甲状腺结节超声评估有恶性可能;(3)出现异常颈部淋巴结肿大。#关注甲状腺结节# #健康科普排位#