#健康2021##腰椎间盘突出##腰痛##脊柱疾病#

什么是腰椎间盘突出症?
腰椎间盘突出症是骨科常见的疾病之一,本病主要是由于腰椎间盘各部分(髓核、纤维环及软骨),尤其是髓核,存在不同程度的退行性改变后,在年龄增长、劳损或外力的作用下,椎间盘的纤维环破裂,髓核组织从破裂之处突出(或脱出)于后方或椎管内,导致相邻的组织如脊神经根、脊髓、马尾等遭受化学刺激或物理性压迫,进而表现出腰骶部酸痛、下肢疼痛、麻木,甚至大小便*禁失**、双下肢无力等一系列神经症状。
好发于哪类人群?
一般来说男性明显多于女性,与男性从事的劳动强度大有关系。另外发病患者中以从事劳动强度较大职业的工人多见,而随着电脑的普及和工作方式的改变,"腰椎间盘突出症"的发病率在长期"久坐"、"伏案"工作的白领人群中开始激增,已引起国内外学者的高度重视。

腰椎间盘长什么样?


为什么会得椎间盘突出?
1.内因
椎间盘本身退变(髓核脱水、韧带松弛)
2.外因
I.急性损伤

II.慢性劳损

III.腰骶部持续震动

3.其他因素
遗传因素,吸烟、饮酒、妊娠等。
腰突症的表现是什么?
腰痛
大多数腰椎间盘突出的患者都有腰痛,有些病人可在有明确的扭伤或外伤后出现,但有的病人却无明显的诱发因素。主要为下腰部及腰骶部疼痛,以时重时轻的钝痛为主,急性期可有撕裂样锐痛,平卧时疼痛可以减轻,久坐或弯腰活动时疼痛加重,疼痛可使腰部活动受限。

一侧或是双侧下肢放射痛
下肢放射痛可在腰痛发生前出现也可在腰痛发生后或同时出现。疼痛主要沿臀部、大腿及小腿后侧至足跟或足背,呈放射性刺痛,严重者可呈电击样疼痛。为了减轻疼痛,患者往往采取屈腰、屈髋、屈膝、脊柱侧弯的保护性姿势。放射痛一般发生在一侧下肢,即髓核突出的一侧,少数中央型突出患者可出现双侧下肢放射痛,一般一侧轻,一侧重。下肢放射痛的直接原因是因为突出物及其代谢产物对神经根的刺激。
下肢麻木及感觉异常
下肢麻木的发作一般在疼痛减轻以后或相伴出现,其机制主要是突出物的机械性压迫神经根的本体感觉和触觉纤维,麻木或是感觉减轻退区域与受累的神经根相对应,下肢的感觉异常主要是发凉、患肢温度降低,尤以脚趾末端最为明显。这是由于椎间盘的交感神经纤维受到刺激,引起下肢血管收缩的缘故。
肌力减弱
突出的椎间盘压迫神经根很严重时可产生神经麻痹而致肌肉力量减弱,这多为腰4/5椎间盘突出,腰5神经根受压麻痹所致,表现为伸踇力或屈踇力下降,重者表现为足下垂。
间歇性跛行
患者行走时,随着行走距离的增加而加重腰腿痛的症状,在休息一段时间以后又可行走,再走相同的距离又出现相同的症状。这是由于腰椎间盘突出后继发的产生腰椎狭窄所致。

马尾神经症状
中央型的腰椎间盘突出,若突出物较大或椎管骨质狭窄,可压迫马尾神经,出现会阴部麻木、刺痛、排尿排便无力,女性可有尿*禁失**、男性可出现性功能障碍。
椎间盘突出可分为哪些类型?
膨出型
纤维环未破裂,膨出为生理退变,纤维环松弛但完整,髓核皱缩,表现为纤维环均匀超出椎体终板边缘。
突出型
纤维环破裂,后纵韧带完整。髓核经纤维环裂隙向椎管内突出,后纵韧带未破裂,影像学表现为椎间盘局限性向椎管内突出,可无症状,部分患者出现典型神经根性症状、体征。此型通过牵引、卧床等保守方法可缓解,但由于纤维环裂隙愈合能力较差,复发率较高。
脱出型
纤维环、后纵韧带均破裂;纤维环、后纵韧带完全破裂,髓核突入椎管内多有明显症状体征,脱出多难自愈,保守治疗效果相对较差,大多需要微创介入或手术治疗。
游离性
脱出的髓核在椎管内游走。脱出髓核与相应椎间盘不连接,可游离到椎管内病变的上或下节段、椎间孔等,其临床表现为持续性神经根症状或椎管狭窄症状,少数可出现马尾神经综合征,此型常需手术治疗。

需要做哪些检查?
X线片
正位片可显示腰椎侧弯;椎间隙变窄或左右不等,患侧间隙较宽。侧位片显示腰椎生理前屈减少或消失,发生椎间盘突出的椎间隙后方宽于前方;后期椎体边缘有骨赘形成,关节突关节退变,上、下关节突交错,下关节突变尖插入椎间孔,使椎间孔变小。

CT
可显示骨性椎管形态,黄韧带是否增厚,椎间盘突出的大小及方向,是否伴有钙化等。




核磁共振MRI
可全面观察各腰椎间盘是否病变,椎管内是否存在占位性病变,黄韧带是否增厚,椎管是否狭窄,较CT显示更加清晰。


什么情况下需要手术治疗?
①病史超过三个月,严格保守治疗无效或保守治疗有效,但经常复发且疼痛较重者;
②首次发作,但疼痛剧烈,尤以下肢症状明显,患者难以行动和入眠,处于强迫体位者;
③合并马尾神经受压(大小便异常、性功能障碍);
④出现单根神经根麻痹,伴有肌肉萎缩、肌力下降;
⑤合并椎管狭窄者。
有哪些手术方式?
微创:椎间孔镜下髓核摘除术
椎间孔镜脊柱微创技术是通过在椎间孔安全三角区、椎间盘纤维环之外,彻底清除突出或脱垂的髓核和增生的骨质来解除对神经根的压力,消除对神经压迫造成的疼痛。

椎间孔镜优势:
1、微创
通过侧方入路到达目标区域,避免传统后路手术对椎管和神经的干扰,不咬除椎板,不破坏椎旁肌肉和韧带,对脊柱稳定性无影响。
2、直接
直接切除突出间盘,手术减压明确。
3、适应症广
能处理大部分椎间盘突出,部分椎管狭窄、椎间孔狭窄等病变。窥镜下使用特殊的射频电极,可行纤维环成型和环状神经分支阻断,治疗椎间盘源性疼痛。
4、并发症低
创伤小,形成血栓和感染的几率低;术后不会在后方重要结构处留下瘢痕,造成椎管和神经的粘连。
5、安全性高
局部麻醉,术中能与病人互动,不伤及神经和血管;基本不出血,手术视野清晰,大大降低误操作的风险。
6、康复快
术后次日可下地活动,平均3—6周恢复正常工作和体育锻炼。
7、病人满意度高
立即缓解疼痛,大小便自理,护理简单,皮肤切口仅7mm,符合美学观点。
开放:椎间融合椎弓根钉内固定术
就是让原先的脊柱活动节段不能再活动,长成一个整体,需配合内固定。

想要保守治疗怎么办?
大多数病人可经非手术治疗缓解,只有少数病人需要手术治疗。保守治疗可使神经根的无菌性炎症及水肿消退、黏连松解、压迫部分或全部解除,从而使症状缓解或完全消失。但部分严重病例,因突出的髓核很大,神经压迫严重,需早期手术解除神经压迫。主要适用于:①年轻、初次发作或病程较短者;②症状较轻,休息后症状可自行缓解者;③影像学检查无明显椎管狭窄。
绝对卧床休息
初次发作时,应严格卧硬板床休息,大、小便都不应下床或坐起。卧床休息3周后,可以在腰围保护下起床活动,3个月内不做弯腰持物动作。方法简单有效,但较难坚持。缓解后,应加强腰背肌锻炼。

腰背肌锻炼
1、五点式 仰卧,两下肢伸直,两脚后跟、两肘几头后部着地,尽力挺胸3-5秒,重复10次。2、半桥式 仰卧,两腿弯曲90°,两上肢自然放松伸直,然后将髋、背抬起5-10秒,重复10次。3、飞燕式 俯卧,两下肢及上肢伸直并连头部同时抬起3-5秒,重复5次。4、后伸式 站立,双手叉腰,做腰背后伸,重复10次。

药物治疗
对于首次发作的患者,可给予药物治疗,常用的口服药物以消炎镇痛、消除神经根水肿、营养神经为目的,比如非甾体消炎药、马栗种子提取物、甲钴胺等,症状严重的可以给予静脉用药,比如甘露醇及糖皮质激素的应用。
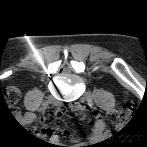
选择性神经根阻滞(特色技术)
该手术是在可视化超声或者CT引导下将穿刺针经椎间孔穿刺到病变神经根处,松解粘连的神经根和硬脊膜囊。对缓解腰椎间盘突出症的神经根性疼痛有显著疗效。通过一次选择性神经根松解阻滞术,既可缓解患者腰腿痛症状,又可定位引起患者疼痛症状的神经根节段,明确诊断,为后期行开放性手术精准定位了责任节段,可谓“一石二鸟”。

如何避免复发?
平时注意生活习惯,避免重体力劳动和不良姿势可以有效避免复发,再就是加强功能锻炼,用强有力的腰背肌、腹肌以维持腰椎的稳定性,使腰椎保持良好的平衡稳定,受到外源性损伤时可有效保护腰椎,增加腰椎对外源性损伤的抵抗能力;可有效防止复发。