一、病例摘要
1.赵XX,女,85岁
2.病史
自20年前开始出现走路时双膝关节疼痛,休息后缓解,期间疼痛反复加重,曾行口服非甾体类抗炎药、外贴止痛膏药、关节腔内注射玻璃酸钠治疗,效果不佳。
近1年双膝疼痛日渐加重,伴随双膝内翻进行性改变,行走及上下楼蹲起时加重,休息后减轻,日常活动明显受限。因疼痛活动量减少,体重增加。自己生活不能自理,家人受累。
患者自发病以来无盗汗,无食欲下降,无低热、乏力、无呼吸困难,无胸闷、无头痛、无吞咽困难、无腹痛,二便正常。
3.查体
跛行步态,依靠助行器行走。
脊柱无畸形及叩痛,活动可。双上肢未见明显异常。双膝屈曲挛缩内翻畸形,关节增生肥大,无明显肿胀,关节皮温、皮色正常,浮髌试验阴性,研髌试验阳性,麦氏征阴性,前后抽屉试验阴性,侧方应力试验阴性,Lachman试验阴性,内侧压痛明显,双膝ROM110°-15°-0°,内翻约20°。屈伸活动有伴摩擦感,双下肢肌力5级。双侧足背动脉可触及。生理反射正常,病理反射未引出。

术前大体像
实验室检查
血常规、ESR(红细胞沉降率)、C反应蛋白正常
影像学检查
X线片:双侧股骨下端、胫骨内外侧髁边缘硬化增白伴骨赘形成,髌骨边缘及髁间隆突变尖。关节面不光整,关节间隙变窄。关节囊及关节周围软组织未见异常。

术前影像检查
病例分析
综合术前检查,结合症状及体征,基本排除感染、类风湿性关节等。
影像学显示:
双膝内翻畸形。
骨质增生硬化,关节间隙明显变窄。
骨磨骨,内侧胫骨平台骨性磨损。
3.诊断:双膝重度骨性关节炎
术前计划
术前查体见韧带完好,拟定使用初次人工全膝关节行双侧全膝关节表面置换术,考虑病人高龄,故双膝分次进行手术。
术前半小时静滴3g氨甲环酸,术中局部注射止痛药物,术后行单次骨神经阻滞。

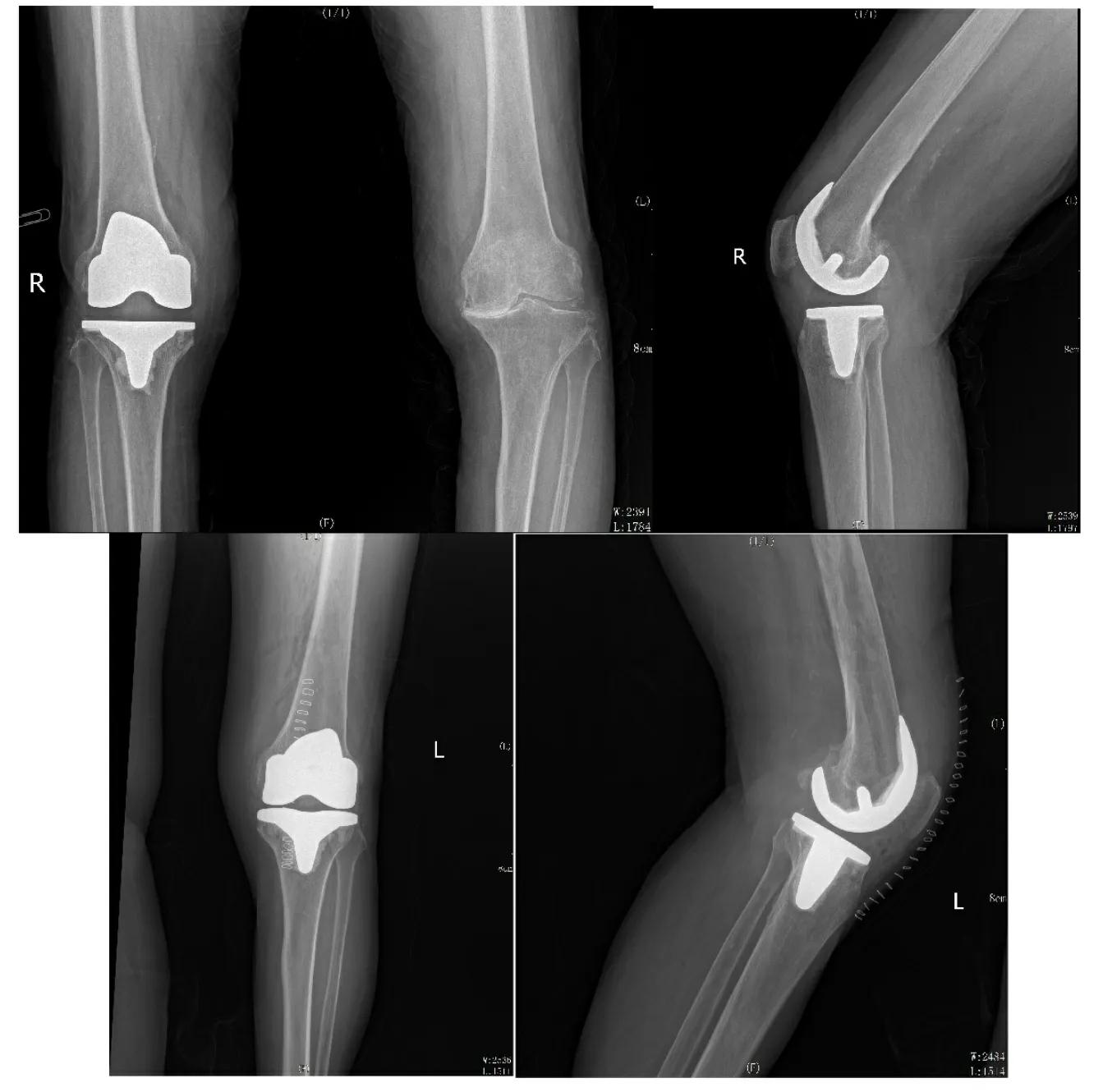
术后影像学检查
术后情况及转归
术后第1、2、3天VAS评分3分
术后第2天拄拐下地行走,自行上卫生间方便。
术后一个月在家行走自如,生活可自理。

术后活动情况
总结思考
人工关节置换是治疗髋、膝关节病变的最终极的方法,这种方法一旦实施以后,可以使绝大部分病人得到一个无痛的关节和有功能的关节,能让病人很快地恢复正常生活和工作,能够使病人的生活质量得到很大程度的提高。