时间逐渐进入炎炎夏日,人们户外活动逐渐增加,儿童的受伤机会也逐渐增加,那么当儿童突发外伤时,什么最常见呢?尺桡骨骨折,是临床最常见的儿童骨折。直接*力暴**、间接*力暴**和扭转*力暴**均是导致儿童尺桡骨骨折的常见原因。随着医学的进步,儿童尺桡骨骨折的治疗方式也越来越多。
尺桡骨骨折一般分为近端1/3,中段,远端1/3(孟氏骨折及盖氏骨折不在此范围),儿童常见的多是远端1/3。
儿童尺桡骨骨折非手术治疗
儿童尺桡骨骨折非手术治疗,也就是老人常说的手法复位,夹板外固定。因为儿童的骨质构造与成人不同,儿童的骨质柔韧有余而,强度不如成人,所以有时候用春天的树枝来形容儿童骨骼,这就导致一些青枝骨折及移位不大的骨折手法复位能达到满意的效果,但也是由于社会极大的进步,儿童的肥胖率也逐年增加,这就导致手法复位的成功率也有所下降。
手术治疗
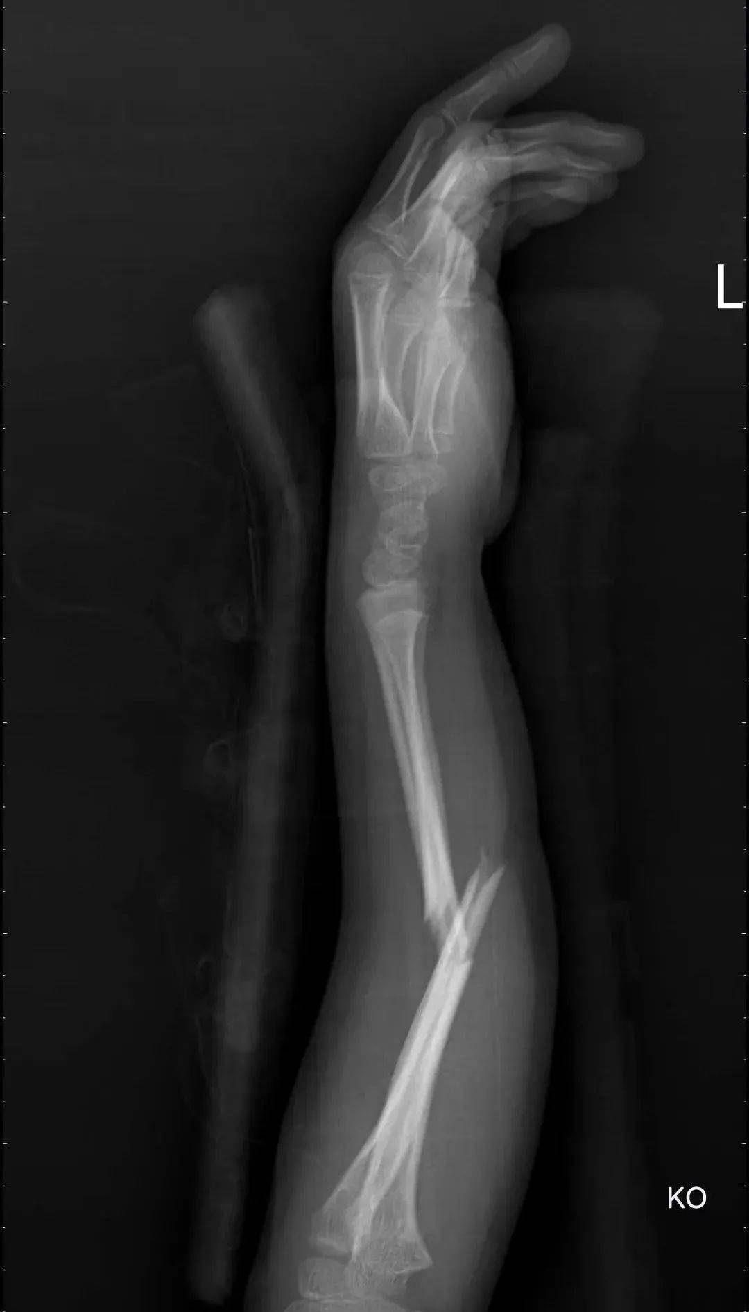
今年的6月7日我院手足外科接诊了一位7岁的小朋友,他的受伤机制是从高处坠落导致的尺桡骨中段骨折,到我这后家属也是优先考虑手法复位,保守治疗,我也尽我所能的予以复位,石膏外固定,复查DR片提示:桡骨基本达到解剖复位,尺骨达到功能复位,但因尺桡骨双折导致折端不稳,很容易再次错位,所以跟家属反复交代保守治疗的风险,家属也表示先考虑考虑,在后期的2次复查DR片中,虽然骨折未移位,但因天气炎热,石膏闷热、不透气,患儿非常不耐受石膏固定,家属慎重考虑后同意行弹性髓内针固定骨折。
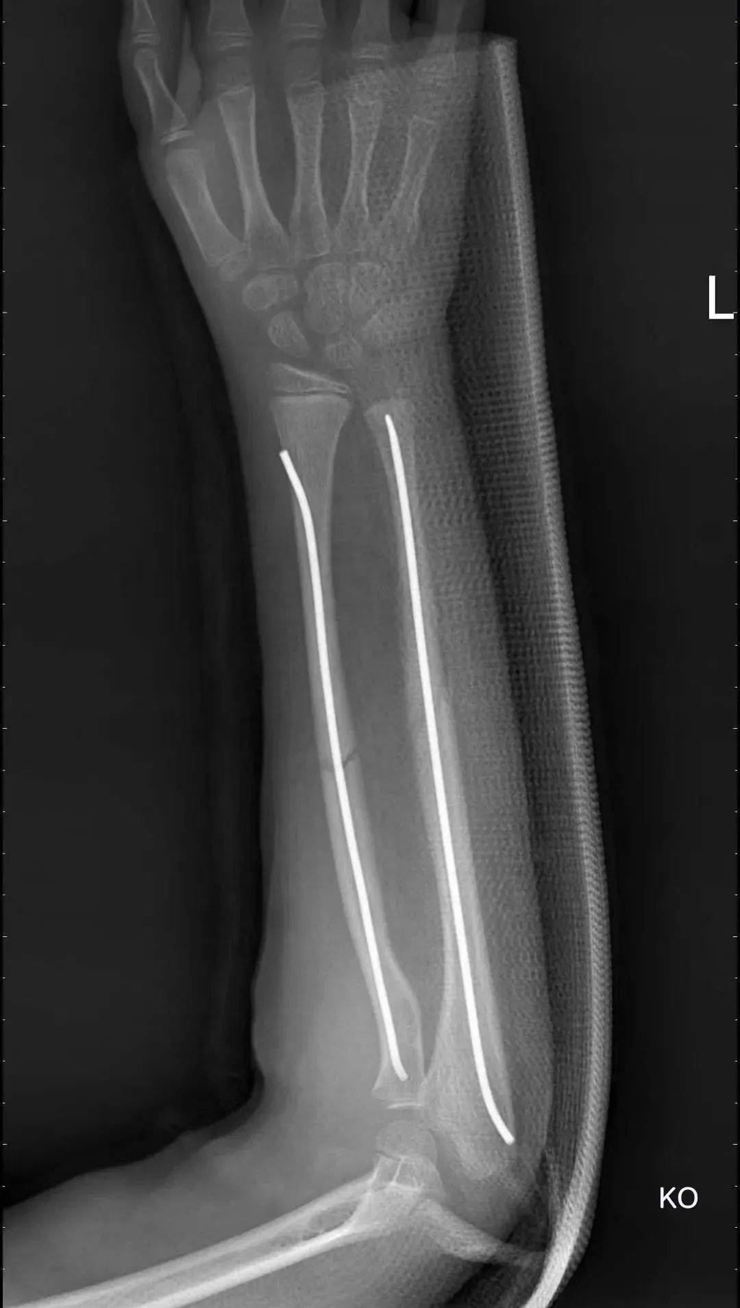
我们采取微创弹性钉内固定治疗,手术切口仅需2厘米,保证复位固定的同时满足了减少瘢痕的需要。

弹性钉固定后骨折复位满意

切口仅仅2厘米,微创,术后瘢痕少,骨折愈合快。

术后第2天患儿就蹦蹦跳跳的下床玩耍,跟之前的保守治疗状态天壤之别,患儿的奶奶也非常高兴,孩子不疼了,也有精神头玩耍了,仅仅住院4天就出院回家了。
从这个病例可以看出,如果患儿家属不选择微创手术,骨折也可恢复正常,但这期间患儿可要经受多次复查,拍片,甚至有移位的风险,但是选择微创手术后移位的风险降至最低,可以早日拆除外固定功能锻炼,尽早改善患儿患肢功能,使孩子提早进入正常的日常生活,这也从侧面反映了医学的进步,我们不应该死守老思想,及时变通,才能给孩子一个更加完美的治疗方案。