整齐的牙齿是一个人美丽的表现之一,而当牙齿出现缝隙大的时候,则会降低一个人的整体美观。那当牙齿缝隙大的时候应该怎么办呢?牙齿有缝可以通过牙齿矫正改善吗?牙齿有缝是可以通过牙齿矫正来改善的,除此之外还可以通过以下几种方式进行改善,具体的包括以下几种:
1、牙齿矫正

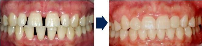
牙齿有缝可以通过牙齿矫正改善吗?
如果牙齿缝隙较大,可以采用矫正的方法关闭缝隙。牙齿矫正的方法既解决了美观的问题,又完全不伤害牙齿。至于治疗时间的问题,如果只是单纯的关闭间隙,矫正治疗也不需要很长的时间,一般几个月就可以完成全部疗程。
2、烤瓷冠

牙齿有缝烤瓷牙修复
烤瓷冠修复治疗时间比较短,经验丰富的医生处理后间隙的关闭也不存在问题,但是原本的好牙需要被磨除一层,而且假如原本的间隙很大,烤瓷冠就需要相应地做宽,美观效果不佳。
3、自锁托槽正畸

牙齿有缝自锁托槽正畸
矫正牙缝隙可少用6个月以上的时间。对于青少年以及成人来说更省以为,工作学习两不误。
4、牙贴面

牙齿有缝牙贴面修复
该方法则是从国外所引进而来的技术,并且该方法只限于牙齿缝大的人使用。
5、美牙冠

牙齿有缝可美牙冠修复
现在不少口腔医院都采用的新技术,它的外观逼真,颜色自然,相容性很好。