髋关节骨坏死是一种痛苦的疾病,当股骨头(大腿骨)的血液供应中断时就会发生。因为骨细胞需要稳定的血液供应来保持健康,骨坏死最终会导致髋关节的破坏和严重的关节炎。
骨坏死也称为缺血性坏死 (AVN) 或无菌性坏死。虽然它可以发生在任何骨骼中,但骨坏死最常影响髋部。
在许多情况下,双髋都受到这种疾病的影响。
解剖学
你的臀部是一个球窝关节。窝由髋臼形成,髋臼是大骨盆的一部分。球是股骨头,它是股骨(大腿骨)的上端。
球窝的表面覆盖着关节软骨,这是一种光滑、光滑的物质,可以保护骨骼并使它们能够轻松地相互滑动。

髋骨坏死发生在股骨头,它是髋关节球窝关节的球体。
原因
当股骨头的血液供应中断时,会发生髋骨坏死。如果没有足够的营养,股骨头的骨头就会死亡并逐渐塌陷。结果,覆盖髋骨的关节软骨也会塌陷,导致关节炎。
骨坏死可影响任何人,但在 40 至 65 岁的人群中更为常见。男性比女性更常发生髋部骨坏死。

在骨坏死中,股骨头中的骨头会慢慢死亡。
风险因素
血液供应不足的原因并不总是知道,但医生已经确定了许多可能使某人更容易患上骨坏死的风险因素:
- 受伤。 髋关节脱位、髋部骨折和其他髋关节损伤会损伤血管并损害股骨头的循环。
- 过量饮酒。 随着时间的推移,过度饮酒会导致血管中形成脂肪沉积物,并会升高可的松水平,导致骨骼血液供应减少。
- 皮质类固醇药物。 许多疾病,包括哮喘、类风湿性关节炎和系统性红斑狼疮,都用类固醇药物治疗。尽管尚不清楚这些药物为何会导致骨坏死,但研究表明,该疾病与长期使用皮质类固醇之间存在联系。
- 疾病。 骨坏死与其他疾病有关,包括沉箱病(潜水员病)、镰状细胞病、骨髓增生性疾病、戈谢病、系统性红斑狼疮、克罗恩病、动脉栓塞、血栓形成和血管炎。
症状
骨坏死分阶段发展。髋部疼痛通常是首发症状。这可能会导致腹股沟或臀部区域隐隐作痛或跳动疼痛。随着疾病的进展,站立和将重量放在受影响的臀部上变得更加困难,并且移动髋关节很痛苦。
疾病进展可能需要几个月到一年多的时间。早期诊断骨坏死很重要,因为一些研究表明早期治疗与更好的结果相关。

骨坏死的四个阶段。该疾病可以从正常、健康的髋关节(I 期)发展为股骨头塌陷和严重的骨关节炎(IV 期)。
转载并改编自 Beaule PE, Amstutz, HC:髋关节 III 期和 IV 期骨坏死的管理。J Amer Acad Orthop Surg 2004;12:96-105。
医生检查
在讨论您的症状和病史后,您的医生会检查您的臀部,以发现哪些特定的运动会导致您的疼痛。
骨坏死患者髋关节常有剧烈疼痛,但活动范围相对较好。这是因为只有股骨头参与了疾病的早期阶段。后来,随着股骨头表面塌陷,整个关节变成关节炎。然后会出现运动和僵硬的丧失。

在检查过程中,医生会以不同的方式移动您的臀部,以更多地了解您的疼痛。
转载自 JF Sarwark, ed: Essentials of Musculoskeletal Care, ed 4. Rosemont, IL, American Academy of Orthopedic Surgeons, 2010。
成像测试
影像学研究将帮助您的医生确认诊断。
X 射线。 X 射线提供致密结构的图像,例如骨骼。X 射线用于确定股骨头中的骨头是否塌陷以及塌陷到什么程度。

(左) 健康髋关节的 X 光片。 (右) 在这张 X 光片中,骨坏死已发展为股骨头塌陷。
骨坏死通常被视为楔形区域,在股骨头的上外侧部分具有致密的白色硬化边界。在侧视图中,通常可以在股骨头表面下方看到一条称为“新月征”的透明线。

(左)这张 X 光片显示髋部骨坏死。(右)当近距离观察时,X 射线显示出通常在股骨头塌陷之前看到的“新月征”
磁共振成像 (MRI) 扫描。 可以通过 MRI 扫描检测到 X 射线上可能未显示的骨骼早期变化。这些扫描用于评估有多少骨骼受到疾病的影响。MRI 也可能显示尚未引起症状的早期骨坏死(例如 - 可能发生在对侧髋关节的骨坏死)。

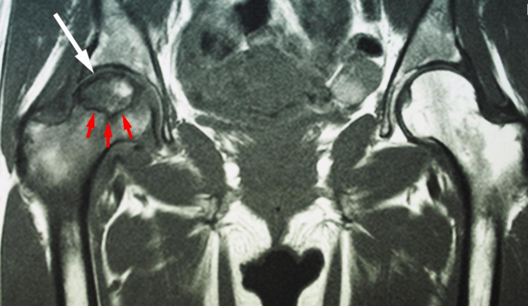
MRI 扫描显示患者右髋骨坏死(白色箭头)。黑线(红色箭头)表示死骨和活骨之间的边界。患者左侧髋关节正常
治疗
尽管非手术治疗选择——例如抗炎药物、活动改变和使用拐杖——可以帮助缓解疼痛和减缓疾病进展,但最成功的治疗选择是手术。在早期阶段(股骨头塌陷之前)发现的骨坏死患者是保留髋关节手术的潜在候选人。
有几种不同的外科手术可用于治疗髋关节骨坏死。
核心减压
该手术包括在股骨头上钻一个或几个较小的孔,以减轻骨骼压力,并为新血管创建通道以滋养髋部受影响的区域。
当髋关节骨坏死被及早诊断出来时,核心减压有时可以成功预防股骨头塌陷和关节炎的发展。

(左)核心减压示意图。(右)在此 X 射线中,钻孔线显示了手术中使用的小钻孔的路径。
骨软骨(骨和软骨)移植
核心减压通常与骨和软骨移植相结合,以帮助再生健康的骨骼并支撑髋关节的软骨。骨移植物是健康的骨组织,被移植到身体需要的部位。组织可能取自供体(同种异体移植)或您身体的另一块骨头(自体移植)。
今天也有几种合成骨移植物可用。
血管化腓骨移植物
另一种手术选择是血管化腓骨移植物。在此过程中,会从腿部(腓骨)的小骨头及其血液供应(动脉和静脉)中取出一段骨头。这种移植物被移植到股骨颈和股骨头上形成的一个洞中,并重新连接动脉和静脉以帮助治愈骨坏死区域。
全髋置换

在全髋关节置换术中,股骨头和关节窝都被人工装置替换。
如果骨坏死已经发展到股骨头已经塌陷的程度,最成功的治疗是全髋关节置换术。在此过程中,您的医生会移除受损的骨骼和软骨,然后放置新的金属或塑料关节面以恢复髋关节的功能。
结果
核心减压可防止骨坏死发展为严重的关节炎,以及在某些情况下需要进行髋关节置换。这取决于手术时骨坏死的阶段和大小。
在早期诊断出骨坏死时,在骨塌陷之前,核心减压可达到最佳效果。在其中一些情况下,骨骼在核心减压后会愈合并恢复其血液供应。骨骼需要几个月的时间才能愈合,在此期间,您需要使用助行器或拐杖以避免对受损骨骼施加压力。
核心减压手术成功的患者通常会在大约 3 个月内恢复独立行走,并完全缓解疼痛。
当骨塌陷后诊断出骨坏死时,核心减压通常不能成功防止进一步塌陷。在这种情况下,患者最好接受全髋关节置换术。
全髋关节置换术可成功缓解大多数骨坏死患者的疼痛和恢复功能。