二十一岁戴牙套还管不管用?小编表示,当然没问题,但是已经不是最佳时间了!
为什么这么说?
一来是因为最佳的口腔正畸时期是恒牙萌出完全后,通常是12岁左右,那时候青少年的骨代谢比较快,处于发育高峰期,做牙齿矫正的疗程会相对较短。
二来是年龄问题,人长大了都要点脸面,再加上面临求职、岗位需要、恋爱甚至婚约等问题,戴着“钢牙”也确实不方便。

辣么,有什么方法能够折衷一下呢?
有人可能会推荐隐形牙套,毕竟全透明的外观,而且摘戴方便,清洗也便捷,目前已越来越受到求美者的青睐。
不过据广大口腔精准正畸中心的专家介绍,隐形牙套所用的塑料膜片对牙齿的控制力不如我们常见的金属托槽矫正器,所以其疗程一般要多花半年的时间。

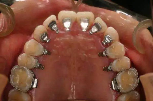
所以今天小编要隆重介绍一下舌侧矫正,也就是常说的无形矫正!
说到舌侧矫正,小编也记得有一位网友的段子:“千万不要做舌侧矫正,做了你就会后悔怎么没有早点开始!”

没错,这里指的就是舌侧矫正的效果,它不仅“隐蔽性极强”,而且安装在牙齿内侧的托槽,不会对表面牙釉质造成损害,不会造成因长期佩戴导致的牙龈炎,牙齿脱矿变色等问题。

另外,它还兼顾了对牙齿的控制力以及美观度,只是刚开始佩戴时,使用者会稍微遭点罪……
据一些使用者反映,刚戴上时讲话大舌头,睡觉流口水,舌头磨得疼,连喝粥都喝不了,最主要的就是吃东西时没法咬到底,咀嚼效率断崖式下滑,所以不少使用者也因此“减肥成功”。
但痛苦归痛苦,他们可是一点也没后悔,因为看着矫正效果突飞猛进,心里始终是甜的!

科普一下——牙槽骨在人的一生中都可以改建,但是10岁至18岁是隐形矫治的黄金年龄,因为这阶段正处发育高峰,牙槽骨的改建最活跃。
到了二十多、三十岁以后,矫正速度就会减慢,同时由于种种条件的限制,矫治难度可能有所提高,时间也可能会相对长一些,时间就是金钱,所以费用也相应地增加了。