大河报·豫视频记者 林辉 通讯员 刘薇
近日,30岁的刘先生在与孩子玩耍时不慎吸入异物,频繁出现咳嗽、咳痰等不适,在当地医院检查发现异物已到达右主支气管至远端分支,考虑在当地手术风险过大,刘先生在朋友的介绍下来到河南省胸科医院就诊。
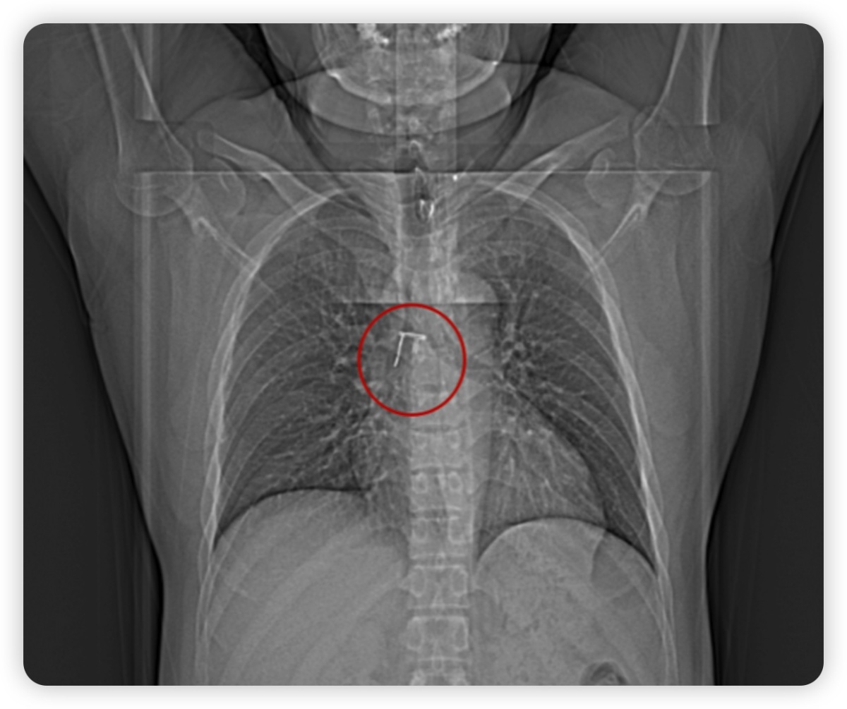
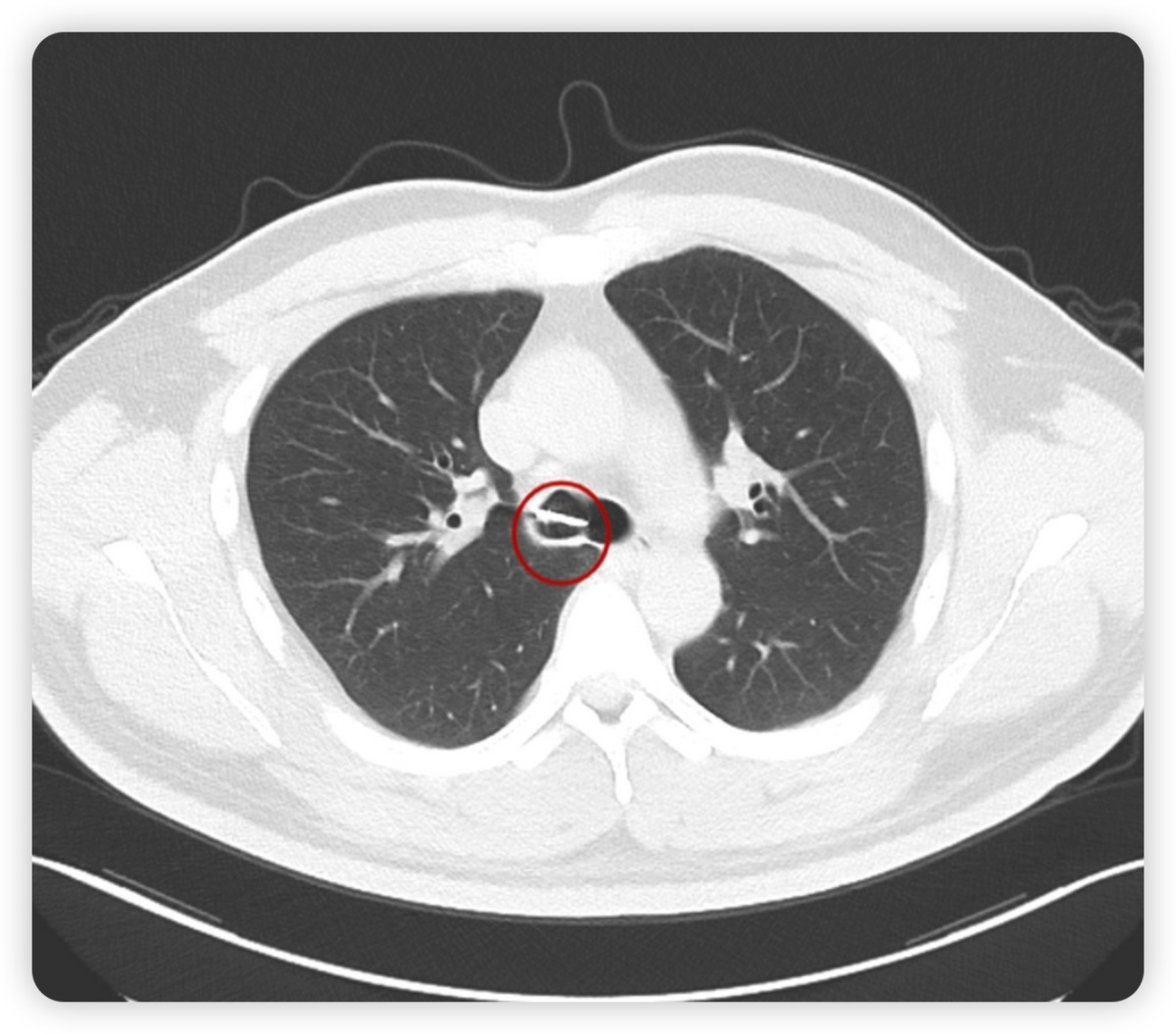
经检查,患者胸部CT提示右主支气管腔内见一“π”形高密度影,横径约18.9mm,长径约19.6mm,短径约8.0mm。


“若不及时取出异物,容易引发严重感染,甚至穿透气管壁发生纵隔脓肿、脓胸或肺动脉导致大咯血,危及生命,必须马上取出。”河南省胸科医院内镜诊疗部副主任(主持工作)王振静说道。
在充分评估患者病情后,结合胸部CT表现及病人异物误吸史,决定为患者行局麻下经口行支气管镜下异物取出术。
为避免气管镜操作时刺激患者剧烈咳嗽,内镜诊疗部刘薇医师及武秋菊主管护师在术前为患者进行局部麻醉,术中发现一“π”形异物卡顿于气管隆突及右主管口处,异物质地硬,似金属物,表面光滑,若贸然硬取可能会划伤患者支气管粘膜,在不断地调整角度后开始钳夹异物,气管镜缓慢移动并经过声门,最后将异物顺利取出。

王振静介绍说,气道异物是常见的临床急症之一,在我们内镜诊疗部的工作期间,遇到过许多气道异物的病例,比如鱼刺、辣椒、骨头等食物误吸。一般来说误吸异物后快速诊断、及早取出,对气道或肺实质的损害通常才会很小。异物滞留时间越长,越有可能出现各种并发症,轻则出现咳嗽、咳痰等肺部感染的症状,严重者甚至可能出现咯血、窒息等危及生命的情况。所以,大家在日常生活若不慎出现误吸或临床中发现气道异物,请尽快查胸部CT,评估病情后行支气管镜诊疗术,这样才可以有效地避免后续的损害。