(声明:本文仅用于科普用途,为了保护患者隐私,以下内容里的相关信息已进行处理)
【基本信息】女,1天
【疾病类型】新生儿肺炎
【治疗医院】杭州市红十字会医院(三甲)
【治疗方案】予以患儿吸氧治疗,吸痰治疗,予凯福隆针、红霉素针微泵静推抗感染治疗,予博利康尼、普米克氧气雾化治疗
【治疗周期】住院6天
【治疗效果】治愈
一、初识患儿
患儿刚刚出生1天,患儿怀孕40周,于2018年08月22日顺产娩出,出生后一天因“高危产后”入院。入院后进行查体,T:36.8℃,P:135次/分,R:43次/分,BP:81/48mmHg。神清,反应可,前囟平,张力不高,皮肤巩膜轻度黄染,躯干及臀部未见红斑,未见明显出血点,双眼未见分泌物,咽充血,双肺呼吸音粗,可闻及少许湿啰音,心律齐,心音中等,心前区未闻及病理性杂音,腹部稍膨隆、软,肝肋下1cm,脾肋下未及,脐夹未除,脐蒂未脱,脐轮不红,脐窝干燥,四肢肌张力可,原始反射存在。为求进一步诊治,拟 “新生儿肺炎”收治入院。

二、治疗过程
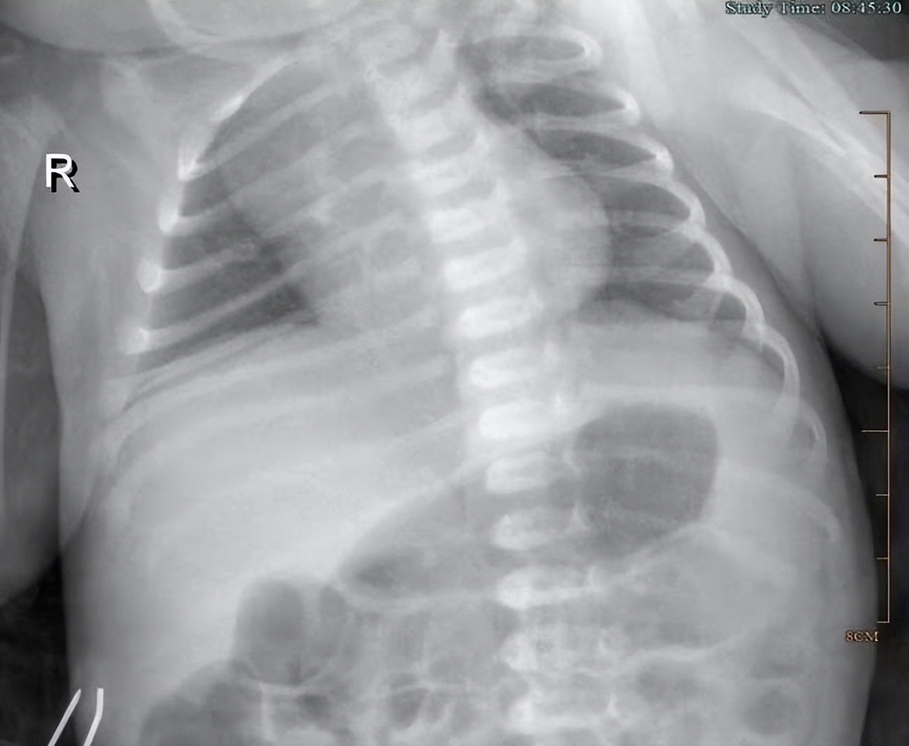
患儿入院后,基于“新生儿肺炎”的考虑,进一步完善胸片,血常规+CRP,血凝常规,血型检测,血气分析,尿常规,肝功肾功等相关检查。这些检查是为了进一步确诊患儿是否是新生儿肺炎,从而排除其他误诊。检查结果示患儿双肺有弥漫性、深浅不一的模糊影,白细胞明显增多,达21.9*10^9/L,血红蛋白增多,CRP全血快速定量增多,3.62mg/L,血型Rh阳性,血型为AB型,尿比重 1.008,红细胞9/ul,白细胞 52/ul,总胆红素100.90μmol/L,直接胆红素 10.4μmol/L,间接胆红素 90.5μmol/L,偏高。
基于上述检查结果,考虑患儿刚出生一天,并结合查体患儿双肺呼吸音粗,可闻及少许湿啰音,可以临床诊断为新生儿肺炎,遂予以患儿吸氧治疗,予凯福隆针、红霉素针微泵静推抗感染治疗,予博利康尼、普米克氧气雾化平喘治疗。对新生儿加强监护和护理,注意保暖,使患儿体温达36.5℃,环境温度在50%以上。吸净口咽、鼻部分泌物,保持呼吸道通畅,定期翻身拍背有利于痰液排出。注意患儿营养,母乳喂养注意不要使患儿呛咳。
经过住院治疗后,患儿呼吸道通畅,睡眠佳,精神状态可,复查血常规,白细胞恢复正常,胸片恢复正常。
三、患儿在治疗中注意事项
1、对患儿加强监护和护理,注意保暖,保持呼吸道通畅,经常抱起患儿,轻拍背部或翻身;发现有鼻痂时,用温开水浸软清除。
2、患者家属应时刻关注患儿的生命体征,如呼吸、心率、体温,如发现异常,及时告知医生。
3、保持室内空气新鲜,温湿度适宜,每天通风不少于两小时。

四、患儿的治疗效果
经住院治疗6天,患儿包被保暖,无发热或体温不升,大气吸入下经皮氧饱和度维持在95%以上,无气促、*吟呻**,无呼吸暂停,无少吃、少哭、少动,无激惹,无尖叫、抽搐,奶口服,奶量完成可,无呕吐,无腹胀。大小便无殊。今晨经皮胆红素测定9.4mg/dl。进一步复查患者白细胞恢复正常,胸片恢复正常。查体咽无充血,双肺呼吸音粗,未见明显干湿啰音。
五、患儿在日常生活中的注意事项
1、坚持母乳喂养,及时添加辅食,新生儿第十五天开始补充维生素D。
2、室内空气要保持新鲜,新生儿室内温度应在二十摄氏度到二十四摄氏度为宜,室内的相对湿度维持在正常水平,并保持室内的空气流通,但要避免产生对流,以防患儿受到风寒。
3、如出院后再次出现皮肤黄染,或出血情况,或患儿出现精神差,体温异常,少吃少哭少动,抽搐,咳嗽流涕、气促等异常表现及时就诊。

六、医生感悟
新生儿肺炎是新生儿常见的疾病,发病早期呼吸道症状和体征均不明显,易被忽略而延误诊断及治疗,应提高警惕。
新生儿肺炎应该注重预防,一旦患病应注意治疗和护理。新生儿肺炎一般会给予雾化治疗,雾化是一种针对小孩咳嗽、肺炎等疾病的治疗方式,通过雾化器将药物直接吸入后到达肺部,从而达到更好的药理作用。通过雾化吸入治疗可以达到好的排痰效果,减少痰液生成,婴儿通过雾化治疗的时候可以准确地将药物送达到呼吸道,雾化治疗的药量少很多,却可以起到比口服药物更加有效的作用,在少量用药又起到有效结果的同时,还可以将药物带来的毒害作用大大的降低。给婴儿做雾化的时候最好能选择他睡着的时候,因为婴儿不配合会影响雾化治疗的效果。
新生儿肺炎的护理也很重要。注意保暖,对于体温不升的患儿或早产儿应放在开放暖箱或闭式暖箱中保暖,保持室内空气新鲜。保持呼吸道通畅,应经常为患儿更换体位,使呼吸道分泌物易于排出。加强新生儿的保护,防止交叉感染,各种操作均应严格执行无菌操作,应注意新生儿室内的清洁,保持新生儿用具、衣服等清洁。工作人员患有感染性疾病时,不能接触新生儿。
姓名:黄文渊
单位:杭州市红十字会医院
科室:儿科
职称:主治医师