#脑卒中#
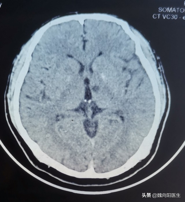
很多人在正常体检的时候查头CT或者头核磁,报告会诊断:腔隙性脑梗死。
腔隙性脑梗死到底严重不严重?很多人都会带有这种疑问。

- 有些心大的人,认为自己根本就没有症状,根本就不在乎。照常该吃吃,该喝喝。
- 有些过度担心自己身体健康的人则会忧心忡忡,认为自己得了脑梗死是个很严重的疾病,认为是不治之症,会有后遗症,自己以后可能要偏瘫。
腔隙性脑梗死属于脑小血管病
腔隙性梗塞是由于深部小穿支动脉等血管发生了病变。由于只是发生在脑白质深部小血管中,因此被称为脑小血管病。
腔隙灶直径一般在5-15mm之间,大于10mm者有时称为巨腔隙灶。
脑小血管病是一种常见的脑血管性疾病,由于它起病隐匿、发展缓慢,临床症状轻微且短暂,因此往往被忽视。
但是,如果长时间而被忽视,则可能会逐渐的发展出现更严重的后果。

什么是脑小血管病?#脑梗死#
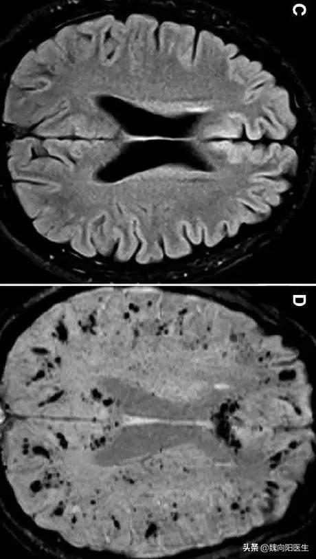
脑小血管病是指各种病因影响脑内小动脉、微动脉、毛细血管、微静脉和小静脉所导致的一系列临床、影像学和病理综合征。
- 单一小动脉(小血管)的阻塞会导致散在的腔隙性梗死,皮层下白质易受损。
- 由于小动脉狭窄和低灌注同时影响了多支血管,导致两个或多个动脉的边缘带缺血,侧脑室旁和深部白质受损害。
腔隙性梗死或深部白质病变破坏了额叶(顶叶)-皮层下通路,导致认知功能损害发生,甚至加重至痴呆。
脑小血管病是血管性认知障碍的重要危险因素。

用不用治疗?
对于存在腔隙性脑梗死的患者,虽说患者没有症状,但是此时已经提示患者的血管出现问题。此时,如果不给予对危险因素的控制,可能会逐渐的加重,导致认知障碍;甚至更大范围的脑细胞缺血坏死。
体检时发现的腔隙性脑梗死患者,也不需要过多的去担心自己会不会偏瘫,以至于产生严重的焦虑的心理。一般脑小血管病进展的都很慢,尤其是在给予及时的控制危险因素及二级预防的干预,你最大的缓解脑卒中的发生。
当然针对于没有基础疾病的患者发现腔隙性脑梗死,一般不是必须非要吃药治疗,可以通过控制自己的危险因素、改善饮食习惯和生活方式来进行预防。
小卒中,*麻大**烦
脑小血管病病灶虽小,症状也很轻微,甚至没有症状,但是可能会有*麻大**烦。
研究显示:大约1/3的脑卒中在发病之前(在发病前的数天、数周,甚至数月之前)都会有先兆,一般是表现为脑小血管病的表现及特征,只是表现为短暂性脑缺血发作(TIA)。
针对脑小血管病长期不给予干预,任由其发展很可能会出现认知障碍、情感改变甚至痴呆。严重者会出现大面积梗死或者关键部位梗死,导致肢体偏瘫无力、失语、感觉异常等。
因此,腔隙性脑梗死作为脑血管病发生的预警信号,需要引起重视。
一旦诊断腔隙性脑梗死,建议尽早干预或控制基础疾病如高血压、糖尿病、高血脂等,并预防干预不良的饮食习惯和生活方式!

脑小血管病危险因素
一、年龄增长
二、高血压
三、高同型半胱氨酸(Hcy)
四、动脉硬化
五、糖尿病、性别差异、血脂、高尿酸、吸烟。
(此处已添加医疗卡片,请到*今条头日**客户端查看)