撰文:南方医科大学 Mie
专家审核:江苏大学附属医院 李晶 教授
汤姆(化名)出生几个小时后变得焦躁不安,他的母亲注意到他的左臂和左腿在有节奏地颤抖,这有些不对劲。随后,汤姆立即被转移到新生儿重症监护室,核磁共振扫描显示患有严重的中风,诊断为新生儿中风(疾病学名:围产期动脉缺血性卒中)。医生告诉汤姆的父母,目前还没有治疗新生儿中风的方法,孩子可能会残疾。
近期,《柳叶刀》杂志上的研究给汤姆这一类不幸患有新生儿中风的儿童带来了新希望。乌得勒支大学医学中心的研究人员一直致力于寻找新方法来治疗这种疾病,其中一种方法就是采用到了干细胞。

该团队经过多年实验室研究,采用干细胞鼻内注射的方法治疗了包括汤姆在内的10位新生儿。证实干细胞鼻内给药治疗新生儿中风的安全性以及可行性,给最脆弱的患者群体带来了希望,并可能带来终身受益。此研究成果发表在《柳叶刀》杂志上[1]。
新生儿中风:发生率约为1/5000
固有印象中,中风主要发生在中老年人中,但其实,中风也会发生在新生儿身上,通常发生在他们出生后的头几天,该疾病名为围产期动脉缺血性卒中(PAIS)。在足月活产儿中,围产期动脉缺血性卒中的发生率约为1/5000,并且是晚年神经发育障碍的重要原因。

新生儿中风发生后,通往大脑的主动脉之一被阻塞,导致向大脑特定区域供血不足,从而导致氧气不足,进一步导致神经损伤、脑组织损伤。当患上这一疾病后,大多数婴儿在以后的生活中都会出现问题,问题的严重程度取决于大脑的哪个区域受到了损伤。根据该疾病所涉及的动脉,会出现单侧痉挛性脑瘫、认知功能障碍、癫痫、视野缺损和语言障碍。
目前,没有有效的治疗方法可以减轻这些婴儿的神经系统损伤,因此迫切需要开发新的保护性或再生治疗干预措施。
过去十年在新生儿早期治疗方案方面取得了一些进展,例如用于围产期窒息的低温治疗。遗憾的是用于成人中风的溶栓疗法不适用于新生儿中风。
目前被认为有前途的治疗方案,例如促红细胞生成素,正在进行临床试验,但最终效果尚未披露。因此,仍需不断发掘新的有效治疗方案。
动物试验证实:干细胞治疗新生儿中风是安全的
间充质干细胞(MSCs)具有强大的增殖能力以及多向分化能力,在适合条件下可以转化成多种类型细胞,此外,其分泌的细胞因子和外泌体具有促进组织再生等作用,被广泛用于人类各种疾病的治疗。
设想一下,如果能将干细胞植入婴儿大脑受损的部分,干细胞及其分泌的生长因子将刺激大脑进行自我修复,达到治疗疾病的目的。
早期研究证实,运用滴入鼻腔的方法将干细胞输送到新生中风小鼠的大脑中,在保证干细胞有效、安全的到达大脑前提下,发现干细胞可以显著减少新生中风小鼠遭受的脑损伤和残疾,促进神经再生,改善长期运动和认知结果[2]。实验表明,这种疗法是安全的,对小鼠没有副作用。

图片来自文献[2]
人体临床试验:10名中风新生儿接受干细胞治疗
在《柳叶刀》的这项研究中,研究人员经过一系列排除标准,最终纳入10位新生儿中风患者,采用鼻内给药的方式给予间充质干细胞。经过3个月随访,发现鼻内给药均具有良好的耐受性,没有观察到严重的不良事件,证实了干细胞鼻内给药的安全性。
研究还观察了血液炎症标志物,比如C-反应蛋白、降钙素原和白细胞计数,结果发现这些指标在给药前与给药后没有显着差异,尽管血小板水平增加,但都在生理范围内,表明干细胞给药不会让患儿出现炎症、出血等。
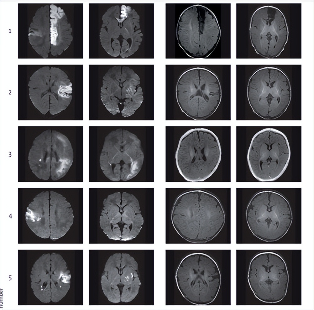
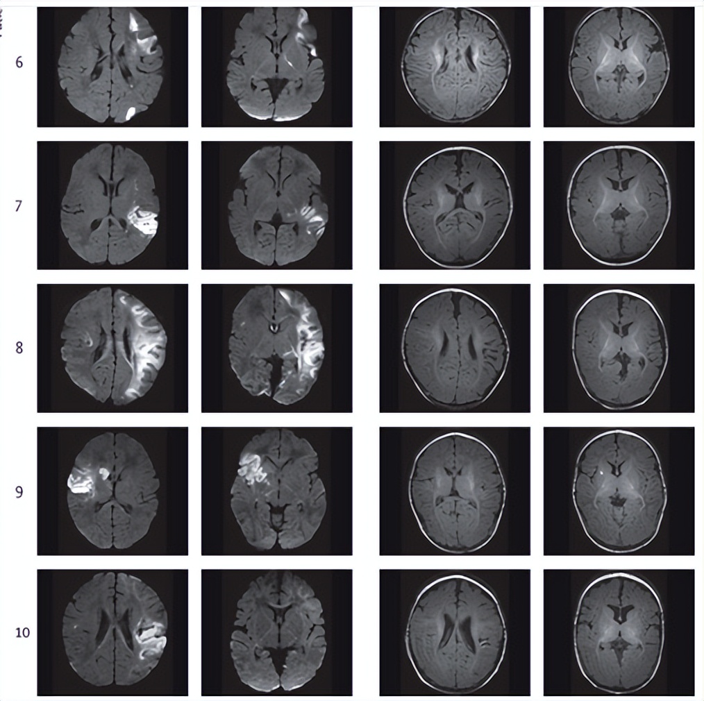
后续MRI扫描未显示出意外的脑结构异常。10位患儿的皮质脊髓束都有最初的前沃勒氏改变(神经损伤后的一个过程),但只有4位患儿在随访MRI中表现出不对称的皮质脊髓束,证实了患儿在接受干细胞治疗后,脑损伤的发展程度比预期的轻(相比未接受治疗的患儿)。此外,相比于以前没有接受干细胞治疗的新生儿中风患者,这10位患儿的运动质量时表现良好。


来自文献1:所有接受治疗的患者刚出生MRI及随访MRI
小结:
这项研究的主要目的是评估间充质干细胞治疗新生儿中风的可行性以及安全性,不过衡量治疗效果仍然需要进一步研究来证实。这项研究给间充质干细胞控制新生儿中风的临床发展提供了新佐证,未来需要进行大规模、长期随访的安慰剂对照研究来确定间充质干细胞鼻内给药对新生儿中风的治疗效果。相信随着干细胞这一新的安全治疗方法的发现,新生儿中风这一最脆弱的患儿群体,将拥有新的希望,并可能实现终身受益。
参考文献:
[1] Baak, Lisanne M et al. “Feasibility and safety of intranasally administered mesenchymal stromal cells after perinatal arterial ischaemic stroke in the Netherlands (PASSIoN): a first-in-human, open-label intervention study.” The Lancet. Neurology vol. 21,6 (2022): 528-536.
链接:https://pubmed.ncbi.nlm.nih.gov/35568047/
[2] Donega, Vanessa et al. “Intranasal mesenchymal stem cell treatment for neonatal brain damage: long-term cognitive and sensorimotor improvement.” PloS one vol. 8,1 (2013): e51253.
链接:https://pubmed.ncbi.nlm.nih.gov/23300948/