【基本资料】患者,男,42岁
【主诉】间断胸闷1年余。
【现病史】患者1年余前出现活动后胸闷,休息数分钟后可缓解,上述症状间断发作,行超声心动图示:右房占位病变、二尖瓣轻度关闭不全。
【影像图片】



【讨论问题】诊断?
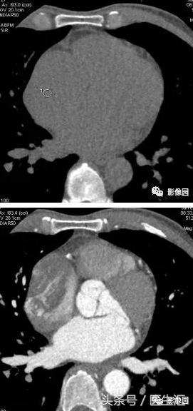
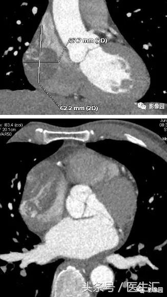
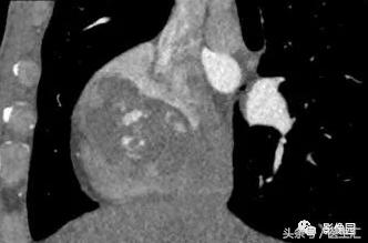
评论:右心房扩大,密度如常。增强扫描动脉期见欠规则结节状充盈缺损影,病变内见斑片状强化。
【结果】
病理所见:右房扩大,右房内肿瘤约4x125px,附着于右房游离壁约2x75px,未累及房间隔及三尖瓣。
(右房占位)血管肉瘤,浸润心肌组织。
【病例小结】
原发心脏恶性肿瘤少见,多为血管肉瘤,男性发病率约为女性的2~3倍,发病年龄最常见于20~50岁,肿瘤大部分位于右心,大多向心腔内生长,并可侵犯心肌、心外膜,心包即可受累,少数病例瘤体可突入房室瓣口。临床上,原发性血管肉瘤起病缓慢,早期症状轻微,以胸痛、胸闷、气促为主;晚期主要有不同程度的心力衰竭、心律失常、心包积液引起的心包填塞等症状,如阻塞上下腔静脉可引起肢体水肿。
超声心动图是最常用、最方便快捷、廉价的诊断心脏疾病的影像检查方法,可作为原发性血管肉瘤的首选检查方法,但是其空间分辨力、软组织分辨力低,检查视野有限且受检查者经验影响较大。心脏CT成像快速、空间分辨力高且可三维重组,MRI软组织分辨力高,二者在心脏肿瘤性病变的诊断中可提供更有价值、更详细的信息。
结合文献总结CT、MRI特征如下:
①发病部位:93%的原发性心脏血管肉瘤发生在右心房壁;
②强化特征:心脏CT及MRI增强扫描均见肿瘤实质部分明显不均匀延迟强化,心脏CT增强扫描可见粗大肿瘤血管影或血管团,提示该病为富血供肿瘤,可作为该病的另一鉴别点。MRI上很难见到粗大肿瘤血管影或血管团,可能与其空间分辨力较低有关。另有文献报道,该肿瘤组织摄取钆对比剂后呈现“日光放射状”外观。
③生长方式:原发性心脏血管肉瘤沿右心房游离壁浸润蔓延,可向心房腔内或腔外生长。
原发性心脏血管肉瘤主要与以下3种病变鉴别:
①原发性心脏淋巴瘤,指病变仅累及心脏和/(或)心包的结外淋巴瘤,约占原发心脏肿瘤的1.3%,可侵犯心脏的任何部位,以右心多见,特别是右心房,在CT平扫和T1WI上见病变呈稍低密度或稍低信号改变,与血管肉瘤类似。增强扫描呈中度不均匀强化,但未出现延迟强化,未见肿瘤血管或血管团,有时淋巴瘤浸润范围较广泛可包埋正常冠状动脉,可见动脉“漂移”征象,为淋巴瘤特征表现。
②右心房黏液瘤,须与腔内型血管肉瘤鉴别,心脏黏液瘤常见于40岁以上患者,源于左心房75%,右心房10%~20%,右心室、左心室比较少见(各占3%~4%),心脏瓣膜罕见,以心脏杂音随体位变化而改变为特征表现。MRI 是最佳诊断方法,影像鉴别主要有黏液瘤的蒂附着于房间隔,而血管肉瘤在右心房游离壁生长;带蒂的黏液瘤可随心动周期运动,瘤体大小、形态可以变化。
③右心房血栓,须与腔内型血管肉瘤鉴别,右心房血栓较少见,一般附着于心房壁,少部分可以移动,CT平扫或T1WI上呈等密度或等信号,T2WI上呈稍高信号;增强扫描无强化,因其密度或信号低于心腔内血液,而表现为充盈缺损。
注射对比剂后早、晚期CT扫描均在固定位置显示充盈缺损则可确诊血栓;若早期有而晚期无充盈缺损,则被认为是“血栓前状态”(即血流淤滞而无真正的血栓形成)。